Let's talk about that gritty, rough stuff that sometimes shows up near your gums. You know, tartar. Plaque is the soft, sticky film you can brush away. Tartar is what happens when you don't. It's plaque that's hardened with minerals from your saliva, and once it's there, your toothbrush is useless against it. I've seen patients who brush religiously but miss one specific spot for a few weeks, and bam, a chunk of tartar sets up camp. The real goal of tartar control isn't just about removal; it's about building a daily defense system so it never gets a chance to form in the first place.
What You'll Find Inside
What Exactly Is Tartar (Calculus) and Why Is It a Problem?
Dentists call it calculus. It sounds academic, but it's a real problem. Think of plaque as wet cement. If you leave it alone for 24-72 hours, it hardens into tartar, the concrete of the oral world. This transformation creates a porous, rough surface that's a magnet for more plaque and bacteria.
The American Dental Association clearly states that tartar buildup makes it harder to remove new plaque, creating a vicious cycle. But the issue goes deeper than just being unsightly.
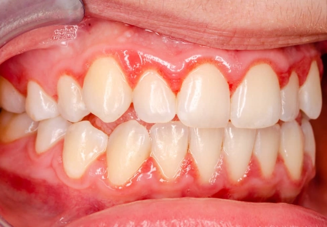
The Domino Effect: Tartar doesn't just sit there. The bacteria trapped in and on it produce toxins that irritate and inflame your gum tissue. This is the direct path to gingivitis—red, swollen gums that bleed easily. Leave that gingivitis unchecked, and you're looking at periodontitis, where the infection attacks the bone holding your teeth in place. I've had patients confused about why their gums bleed despite brushing; nine times out of ten, sub-gingival tartar (the kind below the gumline you can't see) is the silent culprit.
Here’s a subtle mistake I see all the time: people focus on the visible tartar on the backs of their front teeth but neglect the areas that really cause long-term damage. The tartar that forms just below the gumline, or in the deep grooves between teeth, is the real enemy. You won't see it in the mirror, but your dentist will find it with their probe.
Your Daily Tartar Prevention Toolkit: Beyond Just Brushing
Prevention is everything. Once tartar forms, the game changes. Your goal is to disrupt plaque before it mineralizes. This means consistency and technique, not just fancy tools.
The Non-Negotiable Foundation: Brushing and Flossing
Brushing twice a day is the baseline, not the gold standard. If you're rushing through it in 30 seconds, you're just wetting your teeth. The angle matters—aim the bristles at a 45-degree angle toward your gumline to sweep away plaque at the crevice where tartar loves to start. An electric toothbrush with a pressure sensor can be a game-changer for many, as it enforces better technique and timing.
But here's the unpopular truth I tell my patients: flossing is more important than brushing for tartar control in the most critical areas. The sides of your teeth, where they touch, are impossible for a brush to clean. Plaque builds up there undisturbed, hardens, and you end up with interproximal tartar that can only be removed professionally. Flossing isn't about removing food; it's about scraping the plaque biofilm off those tooth surfaces.
Diet, Tools, and Supporting Acts
What you eat plays a role. Sugary and starchy foods feed plaque bacteria. But also, a dry mouth is a tartar factory. Saliva helps rinse away food particles and neutralize acids. If you're on medications that cause dry mouth, or you breathe through your mouth at night, you're at higher risk. Chewing sugar-free gum (especially with xylitol) can stimulate saliva flow.
Antiseptic mouthwashes (like those with cetylpyridinium chloride) can help reduce bacterial load, but they are a supplement, not a replacement for mechanical cleaning. They can't dissolve existing tartar. Some toothpaste labeled "tartar control" contain pyrophosphates, which aim to prevent plaque minerals from crystallizing. They can help as part of your regimen, but don't expect miracles if your brushing and flossing are lacking.
| Prevention Method | How It Fights Tartar | Common Pitfall to Avoid |
|---|---|---|
| Proper Brushing (2 mins, 2x/day) | Mechanically removes plaque before it hardens, focuses on gumline. | Brushing too hard, which can damage gums and enamel, not brushing long enough. |
| Daily Flossing | Removes plaque from between teeth and under gumline—areas a brush can't reach. | Snapping floss down, which harms gums. Use a gentle sawing motion and curve around each tooth. |
| Antiseptic Mouthwash | Reduces overall bacterial count, can help slow plaque formation. | Using it right *after* brushing, which washes away concentrated fluoride from toothpaste. Use it at a separate time. |
| Tartar Control Toothpaste | Contains chemicals (pyrophosphates) to inhibit plaque calcification. | Assuming it can remove existing tartar. It can't. It's only for prevention. |
| Dietary Awareness | Limiting frequent sugar intake starves plaque bacteria. Crunchy veggies can provide mild cleaning. | Drinking acidic beverages (soda, lemon water) frequently, which erodes enamel and makes teeth more susceptible. |
Professional Tartar Removal: What to Expect at the Dentist
No matter how diligent you are, some tartar usually forms, especially below the gums. That's why professional cleanings every six months (or more frequently if your dentist recommends) are non-negotiable for true tartar control.
The process is called scaling. A dental hygienist uses specialized hand instruments (scalers and curettes) and/or an ultrasonic device to vibrate and break the tartar off the teeth, both above and below the gumline. The ultrasonic scaler uses water to cool the tip and flush away debris.
Does it hurt? If your gums are inflamed due to the tartar, there can be some sensitivity and minor bleeding. But with healthy gums, it should be mostly pressure, not pain. If you have significant buildup, your dentist might recommend a deeper cleaning called scaling and root planing, which targets tartar deep under the gums and smoothes the root surfaces.
I'm skeptical of any over-the-counter or DIY "tartar removal" kits sold online. Using sharp metal picks on your own teeth is a great way to gouge your enamel, damage your gums, and push bacteria deeper. I've had to fix the damage from these kits. Tartar removal requires training, the right tools, and the ability to see what you're doing.