Quick Guide to Cavity Signs
- The Sneaky Early Signs of a Cavity (Before You See a Hole)
- What Does a Cavity Look Like? The Visual Clues
- The "Feel" in Your Mouth (Beyond Pain)
- How a Dentist Knows For Sure: The Professional Diagnosis
- Answers to the Questions You're Probably Asking
- What to Do Next: Your Action Plan
- Final Thought: Knowledge is Power (and Savings)
I remember ignoring a slight sensitivity for months, telling myself it was just because I was brushing too hard. Spoiler alert: it wasn't. It was a cavity brewing between two teeth, and by the time I finally went in, it needed more work than I'd hoped. That experience taught me to pay closer attention. So, let's walk through exactly what to look for, feel for, and when to stop guessing and start calling the dentist.
The Sneaky Early Signs of a Cavity (Before You See a Hole)
You won't always see the damage first. Cavities start by demineralizing your enamel (the hard, outer layer of your tooth). This stage is often invisible to the naked eye but your tooth might start sending you signals. Think of these as your tooth's early warning system.
That Random Zing: Temperature Sensitivity
This is the classic one. You take a sip of iced water or a hot coffee and—zing!—a sharp, quick pain shoots through one specific tooth. It usually disappears as soon as the temperature stimulus is gone. What's happening? The enamel has worn down or a cavity has started, getting closer to the dentin layer underneath. Dentin has tiny tubes that lead directly to the nerve (the pulp). Cold or heat travels down these tubes faster and irritates the nerve.
The Sweet Tooth Ache: Sensitivity to Sugar
Less talked about but just as telling. You bite into a piece of chocolate or have a sugary drink and feel a distinct, sometimes dull ache in a particular tooth. Sugar itself isn't causing the pain directly, but it can create osmotic changes that draw fluid into those tiny dentin tubes, putting pressure on the nerve. It's a very specific sign of dentin exposure, often from decay.
I find this one particularly annoying because, well, who wants their dessert ruined?
The Ghost Pain: A Dull Ache or Pressure
Sometimes there's no obvious trigger. You're just sitting there, and you become aware of a faint, dull ache or a feeling of pressure in a tooth or the general area. It might come and go. This can be tricky because it can also signal other issues like gum problems or even sinus pressure. But a persistent, localized dull ache is a common way your body is telling you something is wrong inside the tooth, possibly an inflamed nerve due to advancing decay.
What Does a Cavity Look Like? The Visual Clues
If you're brave enough to grab a mirror and a good light, you might spot the evidence. Learning how to tell if a cavity is present visually involves knowing what to look for beyond the obvious black hole.
The White Spot Stage (The Reversible One)
Before there's a hole, there's often a chalky white spot on the enamel. This is the demineralization zone—acid from plaque bacteria has leached minerals like calcium and phosphate from the enamel. The good news? At this stage, the cavity hasn't formed a physical defect. With excellent hygiene, fluoride treatments, and possibly dental sealants, this area can remineralize and heal. The American Dental Association notes that fluoride helps rebuild weakened enamel. You can read more about this remineralization process on the ADA's topical fluoride resource page.
Discoloration: Brown, Black, or Stained Pits
As the decay progresses, those white spots often turn brown or black. You might see this as a dark shadow under the enamel, or as obvious staining in the grooves (pits and fissures) of your chewing surfaces. Sometimes it looks like trapped food that won't brush away. A small, dark pit in a molar is a prime suspect.
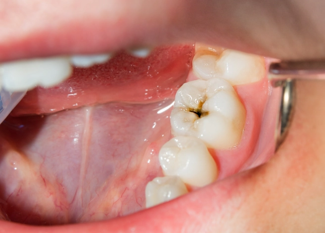
The Hole or Pit (The Unmistakable Sign)
This is what most people picture. A visible hole, crater, or pit in the tooth. You might even feel it with your tongue—a rough, broken area where the smooth enamel used to be. If you can see a hole, the cavity is past the early stages and needs professional attention. No amount of brushing will fix a structural defect.
The "Feel" in Your Mouth (Beyond Pain)
Your tongue is an excellent detective. It's sensitive to texture changes you'd never see.
A Rough or Sharp Edge
Running your tongue over your teeth, you feel a spot that's rough, catches your tongue, or even feels slightly sharp. This is often where enamel has crumbled away at the edge of a developing cavity.
Food Getting Stuck... Every. Single. Time.
If you notice that popcorn, meat fibers, or other food consistently gets lodged in one specific spot between two teeth or in a groove, it's a red flag. A healthy, tight contact between teeth shouldn't trap food regularly. A cavity can create a gap or hole that becomes a permanent food trap.
Bad Breath or a Bad Taste
This one is less direct but worth noting. If a cavity hole is trapping food and bacteria, that debris sits and rots. This can lead to persistent bad breath (halitosis) or a foul taste emanating from that specific area, even after brushing. It's a sign of a niche where hygiene is failing.
So, when wondering how to tell if you have a cavity, don't just rely on sight. Let your tongue and your nose give you clues too.
How a Dentist Knows For Sure: The Professional Diagnosis
Okay, so you've noticed some signs. Now what? This is where the DIY checks end and professional expertise is non-negotiable. Dentists have tools and training to find cavities you can't.
The Visual Exam with Magnification
It starts with what we do, but better. They use bright lights and magnifying loupes to inspect every surface of every tooth. They're looking for those visual clues we discussed, but with a trained eye.
The Dental Explorer (That Pointy Hook)
That metal instrument isn't for torture. It's called an explorer. The dentist gently runs the fine tip over your tooth surfaces. Healthy enamel is hard; the tip glides over it. If the tip catches or sticks in a pit or groove, it indicates softened, decayed enamel. The explorer can find stickiness that's invisible.
Dental X-Rays (The Cavity Crystal Ball)
This is the ultimate tool for finding hidden decay. Bitewing X-rays show the crowns of your upper and lower teeth and, crucially, the areas between your teeth where cavities love to hide. On an X-ray, healthy enamel shows up as very white (radiopaque). Decay shows up as a dark spot or shadow (radiolucent) within the white enamel or dentin. A cavity between teeth is almost impossible to diagnose without an X-ray until it's huge.
The Centers for Disease Control and Prevention (CDC) provides overviews on oral health diagnostics, highlighting the importance of these professional assessments. You can explore their data on dental visit statistics and importance here.
Other Fancy Tools
Some dentists use laser fluorescence devices or special lights that can detect early demineralization by measuring changes in the tooth structure. These are great for catching the very earliest stages.
| Sign or Symptom | What It Might Mean | DIY or Dentist? | Urgency Level |
|---|---|---|---|
| Quick zing from cold/hot | Early enamel loss, cavity reaching dentin | Can notice yourself | Moderate - Schedule a check-up |
| Visible hole or dark pit | Established cavity needing restoration | Can often see yourself | High - Schedule appointment soon |
| Persistent dull ache | Possible deep decay affecting nerve | Can notice yourself | High - Schedule appointment soon |
| Food always stuck in one spot | Gap from decay between teeth | Can notice yourself | Moderate - Needs professional cleaning & exam |
| Dark shadow on X-ray between teeth | Hidden interproximal cavity | Dentist only (X-ray) | Depends on size - Usually needs filling |
| Chalky white spot on enamel | Early demineralization (reversible stage) | Might see yourself | Low-Moderate - Improve hygiene, ask dentist about fluoride |
Answers to the Questions You're Probably Asking
What to Do Next: Your Action Plan
You've read the signs. You're suspicious about a tooth. Here's a step-by-step, practical plan.
- Don't Panic. Cavities are incredibly common. The CDC reports that over 90% of adults aged 20-64 have had at least one cavity. You're not alone.
- Step Up Your Oral Hygiene Game *Right Now*. Whether it's a cavity or not, better cleaning won't hurt. Be meticulous about brushing that specific area with fluoride toothpaste. Floss carefully around the suspect tooth. Use an antiseptic mouthwash if you have it. This can help slow any decay and improve gum health before your visit.
- Make a Dental Appointment. This is the most important step. Tell the scheduler you'd like an exam because you're concerned about a possible cavity. Be honest about any symptoms.
- At the Appointment, Communicate. Point out the tooth to your dentist and hygienist. Describe exactly what you feel: "This tooth on the upper left zings with cold and sometimes has a dull ache." Your description is valuable diagnostic information.
- Follow the Recommended Treatment. If it's a small cavity, a filling is straightforward. If it's deeper, you might need more. Listen to the options. Getting it treated now is always simpler and cheaper than waiting.
Final Thought: Knowledge is Power (and Savings)
Learning how to tell if a cavity is starting empowers you to take control of your oral health. It moves you from a passive "wait until it hurts" stance to an active "let's catch this early" approach. The goal isn't to become your own dentist—it's to become a better partner in your own care. Pay attention to those little signals your mouth sends. They're trying to tell you something.
And honestly, the peace of mind from getting a clean bill of health, or dealing with a tiny problem before it becomes a big one, is worth its weight in gold. Or, in this case, worth its weight in healthy, saved enamel.
If you're experiencing any of the signs we talked about, especially persistent pain, don't just search online for answers. Use that information to make the call. Your future self, with a healthy, pain-free smile, will thank you.