In This Guide: Your Quick Navigation
- What Exactly Is a Gingivitis Red Spot on Gums?
- Why Do I Have a Red Spot? The Usual Suspects (and a Few Surprises)
- Is It *Just* Gingivitis? Or Could It Be Something Else?
- What to Do Right Now: The At-Home Action Plan
- When Home Care Isn't Enough: Time to See the Dentist
- Prevention: How to Keep the Red Spots Away for Good
- Your Questions, Answered (The Stuff You're Actually Searching For)
You're brushing your teeth, minding your own business, and there it is. A little red spot on your gum. It wasn't there yesterday, was it? Maybe it's just a bit of irritation. You poke it with your tongue. It doesn't really hurt, but it's definitely there. A gingivitis red spot on gums can feel like a mystery. Is it serious? Should you panic? Probably not. But should you ignore it? Absolutely not.
Let's talk straight. I'm not a dentist, but I've been down this road myself. A few years back, I spotted one of these little red marks near a molar. I ignored it for weeks, thinking it would just go away. Big mistake. It turned into tender, swollen gums that bled every time I flossed. That was my wake-up call. This article is everything I wish I'd known back then, pieced together from talking to my own dentist, digging into legit resources from places like the American Academy of Periodontology, and just understanding how our mouths work.
Most of the time, a red spot is your body's early warning system for gingivitis, which is just a fancy word for gum inflammation. Think of it as the "check engine" light for your mouth. It's common, it's treatable, but letting it slide can lead you down a path you don't want to go. We're going to break down exactly what causes these spots, how to tell if it's just gingivitis or something else, what you can do about it tonight, and when you really need to pick up the phone and call a professional.
What Exactly Is a Gingivitis Red Spot on Gums?
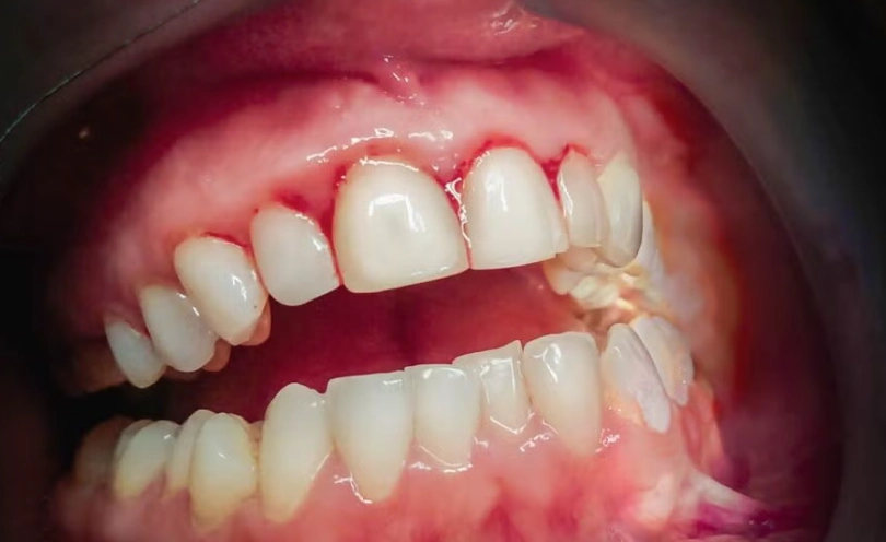
Okay, first things first. Let's demystify it. A red spot on the gum caused by gingivitis isn't a separate thing sitting on your gum. It's actually a sign of what's happening *underneath* the surface.
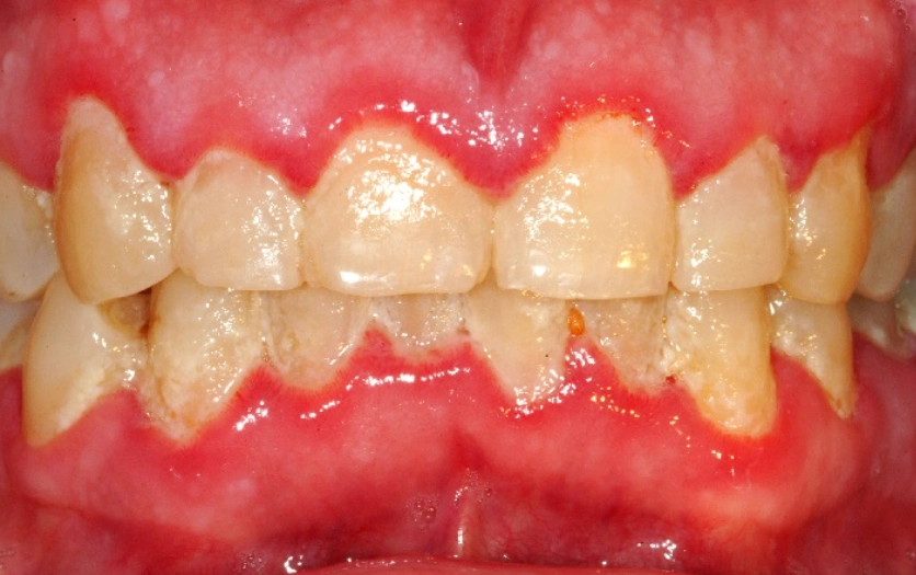
Your gums are supposed to be a nice, pale pink color (though the shade can vary from person to person) and fit snugly around your teeth like a tight collar. When plaque—that sticky, invisible film of bacteria—builds up along the gumline, it starts to irritate the tissues. Your body's immune system kicks in, sending extra blood and inflammatory cells to the area to fight off the bacterial invasion.
This whole process causes two visible changes:
- Redness: The increased blood flow is what creates that red or dark pink color. It might be a diffuse redness along a section of gum, or it can concentrate in one spot, creating a distinct gingivitis red spot.
- Swelling: The gums become puffy and lose their firm, stippled texture (that texture looks like an orange peel). They might even feel a bit tender or bleed easily when you brush or floss.
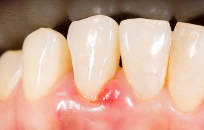
Quick Anatomy: The spot is usually right at the "gingival margin," which is the edge of the gum where it meets the tooth. This is ground zero for plaque buildup. Sometimes, if the inflammation is more localized around a specific area of heavy plaque or a tricky spot you miss when cleaning, you get that single, noticeable red spot on gum tissue.
The frustrating part? In its early stages, gingivitis often doesn't hurt. That red spot can just sit there, not causing any pain, which is why so many people think it's no big deal. But trust me, it's the most important signal you'll get before things get more complicated.
Why Do I Have a Red Spot? The Usual Suspects (and a Few Surprises)
So, what's inviting this uninvited guest to your gum party? The number one culprit, hands down, is plaque. But the story of how plaque wins the battle is where things get interesting.
The Main Event: Plaque and Poor Oral Hygiene
This is the classic cause. If you're not brushing effectively twice a day or flossing daily, plaque builds up. It hardens into tartar (calculus) within 24-72 hours, and tartar is like a fortress for bacteria. It irritates the gums constantly. Miss a spot behind your last molar or along the inside of your lower front teeth? That's often where a solitary gingivitis red spot on gums will pop up, waving a flag that says, "You missed me!"
My spot was exactly behind a back tooth. I was a diligent brusher, or so I thought, but I realized I was rushing that area. The toothbrush head didn't fit back there comfortably, so I'd give it a few lazy swipes. The plaque threw a party, and the red spot was the neon sign outside.
The Supporting Cast: Other Common Causes
It's not always about brushing technique. Here are other reasons you might see that red mark:
- Hormonal Changes: Puberty, pregnancy, menstruation, even birth control pills can make your gums more sensitive to plaque. The hormones increase blood flow to the gum tissues, making them more reactive. You might see redness or spots even with your normal hygiene routine.
- Medications: Hundreds of common drugs, from blood pressure medications to antidepressants, can have the side effect of causing gum overgrowth or dryness. Dry mouth (xerostomia) is a huge one—saliva helps wash away plaque, so less saliva means more plaque and a higher risk of that red spot on gum.
- Trauma or Irritation: Did you scrape your gum with a chip? Are you brushing way too hard with a hard-bristled brush? A physical injury can cause a localized red or even dark spot as it heals. Ill-fitting dentures, braces, or a broken filling with a sharp edge can also rub and irritate the same spot repeatedly.
- Smoking and Vaping: Tobacco use is a massive risk factor for gum disease. It restricts blood flow, which can mask the typical redness (gums may look pale instead), but it also damages the gum tissue's ability to heal and fight infection. Vaping isn't a safe alternative here; the chemicals can still irritate gums.
- Underlying Health Conditions: Uncontrolled diabetes is famously linked to increased gum inflammation and infection risk. Other conditions that affect the immune system can also play a role.
- Nutritional Deficiencies: A serious lack of Vitamin C (scurvy, though rare) can cause gum bleeding and redness. More commonly, a generally poor diet weakens the body's overall immune response.
Is It *Just* Gingivitis? Or Could It Be Something Else?
This is the question that keeps people up at night. While a gingivitis red spot on gums is the most likely explanation, it's smart to know what else it *could* be. Don't use this to panic; use it to be informed.
Here’s a quick comparison to help you understand the differences. Remember, this table is a guide, not a diagnosis.
| Condition | What the Spot/Lesion Looks Like | Common Symptoms | Key Differentiator |
|---|---|---|---|
| Gingivitis | Red, inflamed spot or general redness along gumline. Puffy, swollen tissue. | Bleeding when brushing/flossing, bad breath, usually not painful. | Reversible with improved cleaning. Tied directly to plaque. |
| Canker Sore (Aphthous Ulcer) | Round or oval with a white/yellow center and a red border. On the *moveable* gum or inner cheek/lip. | Sharp, painful sting, especially with acidic/spicy foods. | Painful from the start. The white center is a dead giveaway. |
| Abscess (Gum Boil) | Red, shiny, pronounced bump that may have a white head (pus). | Throbbing pain, pressure, bad taste, possible fever. | PAINFUL. Sign of an active infection, often from an infected tooth. |
| Hematoma (Blood Blister) | Dark red, purple, or blueish raised spot. | Usually painless, feels like a small bump under the surface. | Caused by trauma (biting, injury). Will fade on its own like a bruise. |
| Oral Cancer (Early Sign) | Red or white patch that is flat or slightly raised. Does not heal. | Persistent for weeks, may be painless initially, can feel rough. | Does NOT go away. Any spot that persists for over 2 weeks needs a professional look. |
The Golden Rule: If a red spot on your gum (or anywhere in your mouth) doesn't improve or go away within two weeks of you stepping up your oral hygiene, you must see a dentist or doctor. It's the single most important piece of advice for anything unusual in the mouth. The American Cancer Society stresses this for good reason—early detection is critical.
Look, I get it. Seeing a table like that can be scary. The odds are overwhelmingly in favor of it being simple gingivitis. But that "two-week rule" is your safety net. It takes the anxiety out of it. You try fixing it at home for two weeks. If it's still there, you make the call. No more guessing.
What to Do Right Now: The At-Home Action Plan
You've seen the spot. Don't just stare at it in the mirror. Here's a step-by-step plan you can start tonight. This is how you tackle a suspected gingivitis red spot on gums head-on.
Step 1: Audit Your Cleaning Routine (Be Honest!)
Grab your toothbrush. Are the bristles frayed? It's time for a new one (every 3-4 months). Is it a hard brush? Switch to soft-bristled. Hard brushes can damage gums and cause recession, making problems worse.
Now, brush. But slowly. The American Dental Association recommends two minutes, twice a day. Use a timer. Angle the brush at 45 degrees toward the gumline and use gentle, short, circular or back-and-forth motions. Don't scrub like you're cleaning a tile grout. Think of it as massaging the plaque away.
Step 2: Floss Like You Mean It
If you're not flossing, this is non-negotiable. Brushing only cleans about 60% of tooth surfaces. Floss gets between teeth and just under the gumline—precisely where that red spot on gum is likely festering. Don't snap the floss down; gently guide it between teeth, curve it into a C-shape against one tooth, and slide it up and down, going slightly below the gumline. If it bleeds, that's the inflamed gums talking. It will bleed less and stop within a week if you keep at it daily.
Pro Tip: If traditional floss is awkward, try floss picks, a water flosser, or interdental brushes. The best tool is the one you'll actually use every single day. My dentist told me, "A water flosser is better than no flosser," and that stuck with me.
Step 3: Consider a Therapeutic Mouthwash
An over-the-counter antimicrobial mouthwash containing cetylpyridinium chloride or essential oils (like Listerine) can help reduce plaque bacteria. Chlorhexidine is a prescription-strength rinse that's very effective but can stain teeth with long-term use. Mouthwash is an *adjunct*—it helps, but it doesn't replace brushing and flossing. Don't use it right after brushing; you'll wash away the concentrated fluoride from your toothpaste. Use it at a different time, like after lunch.
Step 4: Check Your Diet and Habits
Cut back on sugary snacks and drinks. Sugar is plaque bacteria's favorite food. Drink more water to help rinse away food particles and bacteria. And if you smoke, well, you know what needs to happen. It's the single best thing you can do for your oral (and overall) health.
Follow this plan diligently for one to two weeks. For many people, a simple gingivitis red spot will start to fade, the swelling will go down, and the bleeding will stop. That's your sign that you've successfully reversed the gingivitis. Congrats!
When Home Care Isn't Enough: Time to See the Dentist
What if you do all that and the spot is still there, or it's getting bigger, or it starts to hurt? Or what if you see pus, your gums are pulling away from your teeth, or you have a loose tooth? That's your cue. The party's over, and you need professional backup.
Here’s what will likely happen at the dentist's office:
- Examination: They'll look at the spot and your entire mouth. They'll use a small probe to measure the pockets between your gums and teeth. Deeper pockets (over 3mm) can indicate that inflammation has progressed.
- Diagnosis: They'll tell you if it's straightforward gingivitis or if it has progressed to periodontitis, a more serious form of gum disease where the bone supporting the teeth starts to break down.
- Professional Cleaning (Prophylaxis or Scaling): This is the cornerstone of treatment. A dental hygienist will use special tools to meticulously remove all the plaque and tartar (calculus) from above and below your gumline. This is something you simply cannot do at home. That gritty, hardened tartar is the source of the constant irritation causing your gingivitis red spot on gums.
- Treatment Plan: For more advanced cases, they may recommend a deeper cleaning called scaling and root planing. This is done under local anesthesia to clean the roots of the teeth. In rare cases of an abscess, a minor surgical procedure might be needed to drain it.
I was embarrassed to go to the dentist after ignoring my spot for so long. But you know what? They see this every single day. They didn't judge me; they just helped me fix it. The cleaning was uncomfortable but not painful, and within days of that professional cleaning combined with my improved home care, the redness and swelling were completely gone.
Prevention: How to Keep the Red Spots Away for Good
Beating one red spot on gum is a victory. But the real win is making sure it never comes back. Prevention is boring but brilliant.
It boils down to consistently disrupting the plaque biofilm before it organizes and causes trouble. The American Dental Association has clear, simple guidelines that work:
- Brush twice daily for two minutes with fluoride toothpaste.
- Floss once daily. Every day. No excuses.
- See your dentist regularly for check-ups and cleanings. For most people, that's every six months. If you're prone to gum issues, they may recommend every 3-4 months.
- Eat a balanced diet and limit sugary drinks.
- Don't smoke or use tobacco products.
Your Questions, Answered (The Stuff You're Actually Searching For)
Finding a gingivitis red spot on gums can be a worrying moment, but it's also a valuable one. It's a clear, visible signal from your body asking for a little more attention. In most cases, it's a manageable issue that responds beautifully to some dedicated care and a visit to your dental team. Start with the home plan, respect the two-week rule, and don't be afraid to seek professional help. Your smile will thank you for it.