Quick Guide
- What Could This Hard Lump Possibly Be?
- The Red Flags: When a Jaw Lump Inside the Mouth is Serious
- What Will the Doctor or Dentist Do? The Diagnosis Process
- Comparing the Common Causes at a Glance
- Your Action Plan: What to Do Right Now
- Answers to the Questions You're Probably Searching
- Final Thoughts: Knowledge Over Fear
Let's be real for a second. Finding a hard lump inside your mouth, especially along the lower jaw, is unsettling. Your mind might jump to the worst-case scenario. I get it. You start poking at it with your tongue, trying to figure out how long it's been there, if it's growing, what on earth it could be.
First thing first: take a breath. Most of the time, a hard lump inside the mouth lower jaw area is not a sign of something terrible. But—and this is a big but—you should never ignore it. Some causes are as simple as a blocked salivary gland, while others need a dentist's or doctor's prompt attention.
This guide is here to walk you through everything, step by step. We'll break down the possible causes (from the common to the rare), give you a clear list of warning signs that mean "see a doctor now," and explain what the diagnostic process looks like. My aim is to replace that anxiety with useful information, so you can make a smart decision about what to do next.
Bottom Line Up Front: If the lump is painful, growing quickly, bleeding, or you have numbness, don't wait. Book an appointment with your dentist or doctor. For slow-growing, painless lumps, still get it checked, but you likely have more time to schedule a visit.
What Could This Hard Lump Possibly Be?
When you feel a hard lump on the lower jaw inside the mouth, you're usually feeling one of a few structures that have decided to act up. The location is a big clue. Is it right under the tongue, near the teeth, or further back along the jawbone? Let's run through the usual suspects.
The Top 5 Most Common Culprits
In my experience talking to people and reading countless dental forums, these are the causes that come up again and again.
1. A Blocked or Inflamed Salivary Gland (Sialolithiasis)
This is a classic. You have major salivary glands under your tongue (submandibular) and in your cheeks (parotid). The ones under the tongue are the most common to form stones. Imagine a tiny pebble of calcium blocking the duct. The gland behind it swells up, often when you're eating, because saliva production kicks in but can't get out. You'll feel a firm, often tender swelling under the tongue or along the inner curve of the lower jaw. Sometimes you can even feel the tiny stone with your tongue. It's annoying, but usually not dangerous. Drinking lots of water and sucking on lemon drops can sometimes help a small stone pass.
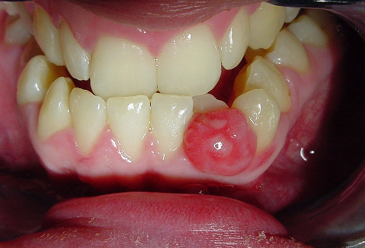
2. A Dental Abscess or Infection
This is a big one. If you have a deep cavity, a cracked tooth, or severe gum disease (periodontitis) in a lower tooth, the infection can spread to the root tip and into the jawbone. Your body walls it off, creating a pocket of pus. From the outside, this can feel like a firm, sometimes fluctuant (slightly squishy) lump on the gum near the tooth root or even along the jaw. It's often accompanied by throbbing tooth pain, sensitivity to hot/cold, or a bad taste in your mouth. This needs a dentist, pronto. An untreated abscess won't go away on its own and can lead to serious complications.
3. A Bone Growth (Torus Mandibularis)
Now this one is fascinating and completely benign. A torus mandibularis is a slow-growing, bony growth on the inner surface of the lower jaw, usually near the premolars. It's hard as a rock (because it is bone), has a smooth surface, and is almost always symmetrical (you'll have one on both sides). It's not a tumor; it's just an exostosis, an overgrowth of bone. Many people have them and never notice until a dentist points it out or they feel it with their tongue. No treatment is needed unless it interferes with dentures or you keep biting it. If your hard lump inside mouth lower jaw feels like it's part of the bone itself and has been there for years, this could be it.
4. A Cyst or Benign Tumor
There are various fluid-filled sacs (cysts) or slow-growing, non-cancerous tumors that can develop in the jawbone or soft tissues. An odontogenic cyst, related to tooth development, is common. These typically feel very firm (if bone-covered) and grow slowly over months or years. They're usually painless until they get large enough to pressure nerves or weaken the jawbone. They're not an emergency, but they do need evaluation, often with an X-ray, to confirm what they are and to see if they need to be removed to prevent future problems.
5. Lymph Node Swelling (Lymphadenopathy)
This is a tricky one because the lump isn't *in* the jaw tissue, but a swollen lymph node can feel like it is. You have chains of lymph nodes along your lower jaw, under your chin, and in your neck. They swell up to fight infection. A nasty tooth infection, a severe cold, strep throat, or even a minor cut inside your mouth can cause the node in that area to become enlarged, firm, and sometimes tender. The key is that it's usually *under* the skin and jawline, not protruding from the gum or inner cheek. If the infection clears, the node should go down in a couple of weeks.
I remember a friend who panicked over a pea-sized lump near his jaw. He was convinced it was the worst. Turned out to be a lymph node reacting to a wisdom tooth he didn't even know was causing trouble. The relief was palpable. It just shows why a professional needs to look.
The Red Flags: When a Jaw Lump Inside the Mouth is Serious
Okay, this is the part you probably skimmed to first. I don't blame you. Let's cut to the chase. While most causes are benign, you need to be aware of the signs that point to a more serious condition, such as oral cancer.
Here’s the checklist. If your hard lump inside mouth lower jaw has any of these features, consider it a non-negotiable signal to seek medical evaluation immediately.
- It's Painless: Counterintuitively, a painless, hard lump can be more concerning than a painful one in the long run. Cancerous growths often start without pain.
- It's Growing: Any lump that increases in size over weeks or months needs investigation.
- It's Fixed and Immovable: You can't wiggle it with your finger. It feels anchored deep in the tissue or bone.
- It's Accompanied by White or Red Patches: Look for leukoplakia (thick white patches) or erythroplakia (red velvety patches) on the surrounding gums, tongue, or cheek.
- It Causes Numbness: Numbness in the tongue, lip, or chin is a major red flag, suggesting nerve involvement.
- It Causes Persistent Hoarseness or Trouble Swallowing: If the lump is large or located in a way that affects function.
- It Doesn't Heal: Associated ulcers or sores that don't heal within two weeks.
- You Have Risk Factors: Heavy tobacco use (smoking or chewing), heavy alcohol use, and HPV infection are significant risk factors for oral cancers.
Don't Play the Waiting Game Here. If you tick even one of these boxes, especially numbness or rapid growth, schedule an appointment with your dentist or a doctor (an ENT or oral surgeon) this week. Early detection of serious conditions is everything. The American Cancer Society has excellent resources on the signs and symptoms of oral cavity cancer that are worth reviewing.
See? Not every sign means doom. But knowing them empowers you to act decisively.
What Will the Doctor or Dentist Do? The Diagnosis Process
So you've decided to get that lump on lower jaw inside mouth checked out. Good call. Here’s what you can typically expect. The process is methodical and designed to rule out possibilities.
Step 1: The Clinical Examination
The dentist or doctor will start by asking you questions: How long has it been there? Has it changed? Is it painful? Do you smoke? Then they'll feel the lump with gloved fingers, assessing its size, texture (hard, rubbery, soft), mobility, and tenderness. They'll examine your entire mouth, throat, and neck for other lesions or swollen lymph nodes.
Step 2: Imaging
This is crucial for seeing what's below the surface. A dental X-ray (periapical or panoramic) is often the first step to check the tooth roots and jawbone. It can reveal abscesses, cysts, or bone changes. For a deeper look, a Cone Beam CT (CBCT) or an MRI might be ordered. These provide 3D views and are excellent for soft tissue details and mapping the lump's exact boundaries. The American Dental Association outlines the use of various radiographic techniques in diagnosis.
Step 3: The Biopsy
If the lump looks suspicious or its nature is unclear from the exam and imaging, a biopsy is the gold standard. A small sample of tissue is removed (often with local anesthesia) and sent to a pathology lab. This is the only way to definitively rule out cancer. There are different types (incisional, excisional, fine-needle aspiration), and your doctor will choose the best one. Waiting for biopsy results is stressful, I won't lie, but it provides absolute clarity.
Comparing the Common Causes at a Glance
To help you organize the information, here’s a quick-reference table. Remember, this is for general education, not self-diagnosis.
| Possible Cause | Typical Feel & Location | Common Symptoms | Usual Urgency |
|---|---|---|---|
| Salivary Stone | Firm, tender swelling under tongue/floor of mouth. May come and go with meals. | Meal-time swelling, possible pain, dry mouth feeling. | See a doctor/dentist soon. |
| Dental Abscess | Firm or fluctuant lump on gum near tooth root. Can be on jawbone. | Severe toothache, sensitivity, bad taste, fever. | See a dentist urgently (within days). |
| Torus Mandibularis | Very hard, bony, smooth, symmetrical on inner lower jaw. | None. Often an incidental finding. | Routine dental visit. |
| Benign Cyst/Tumor | Slow-growing, firm, often painless lump in jawbone or soft tissue. | Usually none until large. May cause jaw expansion. | Schedule evaluation. |
| Swollen Lymph Node | Rubbery, movable lump under the jawline/chin, not on gum. | Often tender. May have sore throat, toothache, or infection elsewhere. | Depends on cause. If persistent >2 weeks, see a doctor. |
Your Action Plan: What to Do Right Now
Feeling overwhelmed? Let's simplify it into a step-by-step plan.
- Stop Poking It. Seriously. Constant irritation with your tongue or finger can inflame it further.
- Do a Self-Check. In good light, look at the lump and surrounding area. Note its color, any sores, or patches. Gently feel its edges. Write down your observations: size (pea? marble?), pain level, how long you think it's been there.
- Check Your Teeth. Any tooth in that area hurting? Sensitive? Broken? Old filling? Make a note.
- Review the Red Flag List. Honestly assess if you have any of those symptoms.
- Make the Call. If you have red flags, call your dentist or primary care doctor now. If no red flags, you still need to call, but you can likely schedule a non-urgent appointment. If you don't have a dentist, search for an oral surgeon or an ENT (Otolaryngologist) in your network. The Mayo Clinic's oral health portal is a trusted source for understanding what different specialists do.
Pro Tip: Take a clear photo of the lump with your phone's flash on. It can be helpful to show the doctor how it looked on the day you noticed it, especially if it changes before your appointment.
Answers to the Questions You're Probably Searching
I've spent a lot of time in medical and dental Q&A corners. These are the questions people are secretly typing into Google after they find their hard lump inside mouth lower jaw.
Yes, it can be. Oral cancer can present as a persistent, hard lump or thickening. However, it's crucial to remember that many, many more lumps are due to the benign causes listed above. The key is persistence and the presence of red flags. Don't spiral into panic, but do let this possibility motivate you to get a professional opinion. The only way to know for sure is through an exam and possibly a biopsy.
If it's a torus mandibularis, yes, it's a normal anatomical variation for a significant portion of the population (estimates range from 5-40%). It's like having a prominent chin or high cheekbones—just a variation in bone structure. It's not a sign of disease.
Small ones sometimes can. Increasing fluid intake, applying warm compresses to the outside of your jaw, and sucking on sour candies (to stimulate saliva flow) might help a tiny stone pass. But if it's causing significant swelling, pain, or infection, you'll need medical help. An ENT or oral surgeon can sometimes massage it out or remove it with a minor procedure.
Look for the dental clues. Is there a tooth in that area that's sensitive to tapping? Does it hurt to bite down? Is the tooth discolored? Do you have a history of cavities or a large filling in that tooth? The lump from an abscess is often (but not always) accompanied by these classic toothache symptoms. A dental X-ray will confirm it.
I hear you, dental anxiety is real. But let's be blunt about the risks of ignoring a persistent hard lump on the lower jaw inside the mouth. An untreated abscess can lead to a spreading infection (cellulitis) that can block airways or spread to the brain. A benign cyst can grow and weaken your jawbone, leading to a pathological fracture. And, in the worst-case, ignoring a cancerous growth allows it to advance, making treatment more difficult and reducing survival rates. The short-term discomfort of a dental visit is far, far better than these outcomes. Tell your dentist you're anxious—they have ways to help.
Final Thoughts: Knowledge Over Fear
Discovering a hard lump in your mouth is a jarring experience. It's personal, it's in your face (literally), and it's easy for worry to take over. But hope isn't a strategy, and Googling yourself into a frenzy isn't either.
The most powerful thing you can do is arm yourself with good information and then take action. Understand the landscape of possible causes, memorize the red flags, and respect your body's signal that something needs checking out. Whether it's a simple salivary stone or something that needs more attention, getting an answer is the first step to solving the problem and getting your peace of mind back.
That hard lump inside your mouth along the lower jaw is a mystery right now. But it's a solvable one. Start by making that appointment.