In This Article
- What's the Difference Between a Tooth Infection and an Abscess Anyway?
- The Critical Timeline: From First Twinge to Full-Blown Problem
- What Speeds Up or Slows Down This Process?
- Symptoms: The Warning Signs at Each Stage
- What Happens If You Wait? The Risks Beyond the Toothache
- Treatment: What Actually Works at Each Stage
- Can You Prevent an Abscess from Forming?
- Common Questions (The Stuff You're Really Searching For)
- Final Thoughts: Stop Watching the Clock, Start Making the Call
Let's get straight to the point. You're probably reading this because you've got a nagging toothache, maybe a bit of swelling, and you're worried. You're typing that question into Google, wondering just how much time you have before a simple infection becomes a full-blown, painful abscess. I've been there. A friend of mine ignored a dull ache for what he thought was just a few days too many, and let me tell you, the emergency root canal wasn't fun for anyone, especially his wallet.
The short, frustrating answer is: it depends. There's no universal stopwatch. But that's not helpful, is it? In my digging and from talking to dentists, I've learned that the journey from a minor tooth infection to a painful dental abscess can be a matter of days, weeks, or even months. The range is huge, which is why some people are caught completely off guard. The real question isn't just about the clock; it's about what's happening inside your tooth and jawbone during that time.
Key Takeaway First: While the average might be anywhere from a few days to several weeks, you should never use a timeline to decide when to see a dentist. If you suspect an infection, consider it a dental emergency. Waiting to see "how long it takes" is the riskiest game you can play with your oral and overall health.
What's the Difference Between a Tooth Infection and an Abscess Anyway?
Before we talk timelines, we need to be clear on what we're dealing with. People use these terms interchangeably, but they're different stages of the same problem.
A tooth infection (often pulpitis) is like the beginning of a house fire. Bacteria have broken through your tooth's enamel and dentin, reaching the soft, living pulp inside where the nerves and blood vessels are. It's inflamed, angry, and sending you pain signals. It might be reversible if caught early.
A dental abscess is the house fully engulfed, with flames shooting out the windows. It's a localized collection of pus caused by that infection. The body's immune system has walled off the battling bacteria and dead cells, creating a painful, pressurized pocket. This can be at the tip of the root (periapical abscess) or in the gums (periodontal abscess). This stage is almost never reversible without professional intervention.
So, asking "how long does it take for a tooth infection to turn into an abscess?" is really asking: how long until the contained fire becomes an explosive, walled-off inferno?
The Critical Timeline: From First Twinge to Full-Blown Problem
Here's where we break it down. Think of this not as a schedule, but as a spectrum of possibility based on what I've read from sources like the American Dental Association and patient stories.
| Stage | Typical Timeframe | What's Happening & What You Feel |
|---|---|---|
| Initial Invasion & Early Infection | Hours to a couple of days | Bacteria breach the inner pulp. You might feel sudden sensitivity to hot/cold or a fleeting, sharp pain. Sometimes, there's no pain at all yet, which is deceptive. |
| Active Infection (Pulpitis) | Days to a few weeks | The pulp is inflamed and dying. Pain becomes more constant, throbbing, and may worsen when lying down. This is the core "tooth infection" phase before an abscess forms. |
| Abscess Formation Begins | As little as 24-48 hours after pulp death, or longer | The infection fights its way out the tip of the tooth root into the jawbone. Your body tries to contain it, forming the pus pocket. Pain can become severe and localized. |
| Established Dental Abscess | Several days to weeks from initial infection | The abscess is fully formed. Symptoms are unmistakable: severe, constant, throbbing pain, swelling in the gum (a gum boil), possible facial swelling, and sometimes a foul taste. |
See how fuzzy that is? A very aggressive infection in a person with a compromised immune system can sprint through these stages in a weekend. A slower, low-grade infection might smolder for months, causing only occasional discomfort until it suddenly decides to blow up. That's the scary part—the unpredictability.
I remember reading a forum post where someone said their tooth "felt weird" for two months before an abscess popped up overnight. That's a long time to think everything's okay.
Red Flag Timeline: If you have severe, throbbing pain that lasts more than 24-48 hours, or if you notice any swelling in your gum or face, the clock has already run out. You are likely in the abscess formation stage or beyond. This is not a "wait and see" situation.
What Speeds Up or Slows Down This Process?
So why does it take a few days for one person and weeks for another? It's not random. Several factors act like the gas pedal or brakes on the infection.
Factors That Accelerate Abscess Formation (The Gas Pedal)
- Your Immune System's Status: This is the biggest one. If you're run down, stressed, sick with something else, or have a condition that affects immunity, your body's defenses are slower to respond. The infection can spread faster. Resources from the Centers for Disease Control and Prevention (CDC) often highlight how systemic health and oral health are linked.
- Virulence of the Bacteria: Some bacterial strains are just nastier and more aggressive than others.
- Location and Size of the Cavity/Trauma: A large, deep cavity provides a direct highway to the pulp. A crack from trauma can do the same instantly.
- Previous Dental Work: Sometimes, an old filling or crown can fail subtly, letting infection in. Or, a root canal can get reinfected.
Factors That Might Slow It Down (The Brakes)
- Strong Immune System: A healthy body can sometimes wall off an infection for a surprisingly long time, creating a chronic, low-grade abscess that you might not even feel.
- Antibiotics (A Temporary Fix): If you were on antibiotics for another issue, they might incidentally suppress the dental infection, masking symptoms and delaying the abscess. This is misleading and dangerous, as the antibiotic likely won't reach the dead tissue inside the tooth to cure it.
- Anatomy of the Tooth: Sometimes the pathway out of the root is narrow, slowing the pus buildup.
It's a constant tug-of-war inside your jaw.
Symptoms: The Warning Signs at Each Stage
You can't feel time passing, but you can feel symptoms. This checklist is more useful than a calendar. Track what you feel, not how many days have passed.
Early Signs of a Tooth Infection (Before Abscess)
- Tooth sensitivity that lingers after hot or cold drinks.
- A dull ache or throbbing that comes and goes, often triggered by chewing.
- Mild pain that seems to radiate, making it hard to pinpoint the exact tooth.
- A slight metallic or off taste in your mouth.
Signs an Abscess is Forming or is Present (Act Now)
- Severe, persistent, throbbing pain that can radiate to your jaw, neck, or ear.
- Pain that sharply increases when you lie down or put pressure on the tooth.
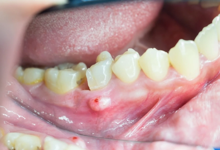
- A red, swollen bump on your gums near the tooth (a gum boil or parulis). It may be tender or drain pus, causing a bad taste.
- Swelling in your face, cheek, or under the jaw. This is a major warning sign.
- Tooth feels raised or different when you bite down.
- Fever, general malaise, and swollen lymph nodes under your jaw or neck. This means the infection is spreading systemically.
- Difficulty breathing or swallowing. This is a life-threatening emergency—go to the ER immediately.
Look, the moment your symptoms move from the first list to the second list, you've likely answered the "how long does it take" question for your specific case. The transition has happened. The abscess is forming or here.
What Happens If You Wait? The Risks Beyond the Toothache
This is the part most articles gloss over. They talk about treatment, but not the real-world consequences of delaying. An abscess isn't just a painful tooth problem. It's a serious health threat.
- Spread of Infection (Cellulitis): The infection can burst out of the abscess pocket into the soft tissues of your face, neck, and jaw. This causes massive, hard swelling, fever, and requires hospitalization and IV antibiotics.
- Bone Loss: The abscess eats away at the jawbone surrounding the tooth. This can weaken the bone so much that even if the tooth is saved, it loses support.
- Sinus Involvement: Infections from upper back teeth can erode into the sinus cavity, causing a nasty sinus infection that's hard to clear.
- Life-Threatening Conditions: In rare but severe cases, the infection can travel into the bloodstream (sepsis) or into spaces in the neck and head that compromise breathing (Ludwig's Angina or a cavernous sinus thrombosis). These are medical emergencies with high mortality rates.
My friend who waited? His abscess led to cellulitis. His cheek swelled up like a softball, and he spent a night in the hospital on IV antibiotics before they could even do the root canal. The total cost was astronomical compared to a simple filling or early root canal. He says the fear and the hospital bill were worse than the pain.
So when you're wondering how long does it take for a tooth infection to turn into an abscess, also ask: how long do I have before this becomes a hospital bill or a systemic crisis? The answer to that is always: less time than you think.
Treatment: What Actually Works at Each Stage
Okay, enough doom and gloom. What do you do about it? The treatment path depends entirely on what stage you catch it in.
If caught early (infection only, reversible pulpitis): A dentist might be able to perform a standard filling or a pulpotomy (removing part of the pulp) to save the living tooth. This is the best-case scenario.
If an abscess has formed (irreversible pulpitis or necrotic pulp): The standard of care is root canal therapy. The dentist removes the dead or dying pulp, cleans out the infection from the root canals, and seals the tooth. Often, this is paired with incision and drainage (I&D) of the abscess to relieve pressure and pain immediately. Following guidelines from authoritative sources like the American Association of Endodontists ensures the best outcomes.
If the tooth is too damaged or the infection too severe: Tooth extraction may be the only option. It's not ideal, but it removes the source of infection immediately.
Antibiotics are a supporting player, not the star. Dentists prescribe them (like amoxicillin) to control the spread of infection to surrounding tissues, especially if there's fever or facial swelling. But antibiotics alone cannot cure a tooth abscess because they can't penetrate the dead tissue inside the tooth or the walled-off pus pocket effectively. Relying on antibiotics without definitive dental treatment is a guaranteed path to recurrence.
Can You Prevent an Abscess from Forming?
Absolutely. Prevention is about stopping the infection before it starts or catching it in its earliest "how long does it take" phase.
- Routine Dental Check-ups: This is number one. X-rays can spot decay or problems you can't see or feel yet.
- Prompt Cavity Treatment: Don't wait for a small cavity to become a big one. Get it filled.
- Excellent Oral Hygiene: Brushing twice daily with fluoride toothpaste and flossing once a day disrupts the plaque that leads to decay.
- Address Dental Trauma Immediately: If you chip or crack a tooth, see a dentist. Cracks can be microscopic pathways for bacteria.
- Listen to Your Teeth: That weird sensitivity or twinge of pain? Don't ignore it. Schedule a check-up. It's cheaper than an emergency procedure.
Common Questions (The Stuff You're Really Searching For)
Can a tooth abscess go away on its own?
No. Never. The pain might temporarily fade if the abscess ruptures and drains, giving you a false sense of security. But the source of the infection—the dead tissue inside your tooth—is still there. It will refill and return, often worse. The infection is still active in your bone.
How can I tell if my tooth infection is spreading?
Watch for systemic signs: fever, chills, nausea, rapid heart rate, confusion, increased swelling that makes it hard to open your mouth or swallow, or difficulty breathing. These are signs of a spreading infection and require immediate emergency medical care.
What can I do for pain relief while waiting for the dentist?
Over-the-counter pain relievers like ibuprofen (Advil) or acetaminophen (Tylenol) can help manage pain. A cold compress on the outside of your cheek can reduce swelling. Avoid hot foods, chew on the other side, and keep your head elevated when sleeping. These are temporary measures only.
Is a gum boil the same as an abscess?
A gum boil (parulis) is usually the drainage point for an abscess at the root tip. It's a visible sign that an abscess exists. Sometimes it's called a fistula.
How long after starting antibiotics will an abscess feel better?
If prescribed, antibiotics for the surrounding tissue infection may reduce swelling and systemic symptoms (like fever) within 24-48 hours. However, the tooth pain from the pressurized abscess often persists until a dentist physically drains it or performs a root canal. Don't assume the problem is solved because the swelling goes down a bit.
Final Thoughts: Stop Watching the Clock, Start Making the Call
We've circled back to the beginning. How long does it take for a tooth infection to turn into an abscess? Anywhere from a couple of days to many weeks. But I hope you see now that focusing on the exact number of days is missing the forest for the trees.
The real metric isn't time; it's symptoms. Your body gives you signals—first whispers, then shouts, then screams. The goal is to respond to the whisper.
Waiting to see how long it takes is a gamble with very bad odds.
The most important step you can take after reading this isn't to monitor your pain for another day. It's to pick up the phone and call a dentist if you have any concerning symptoms. Describe what you feel. Let a professional use tools and X-rays to answer the "what stage is this in?" question definitively.
An untreated dental abscess is a serious medical condition, not just a bad toothache. The timeline is unpredictable, but the need for action is not. Your long-term health, your comfort, and your wallet will thank you for not waiting to find out just how long your particular infection needed to become a full-blown problem.