Here's What You'll Find
- So, What Does Tooth Filing Do? Breaking Down Its Actual Jobs
- What Tooth Filing Does NOT Do (The Reality Check)
- The Step-by-Step: What Does the Tooth Filing Process Actually Do to Your Tooth?
- Risks and Downsides: The Other Side of the Coin
- Costs and Considerations
- How It Stacks Up: Tooth Filing vs. Other Options
- Your Top Questions Answered (The Stuff You Actually Google)
- Making the Decision: Is Tooth Filing Right for You?
So you've heard the term "tooth filing" or maybe your dentist mentioned "contouring" and you're sitting there wondering, what on earth does tooth filing actually do? Is it like filing your nails? Does it hurt? Is it just for people who want a perfect Hollywood smile?
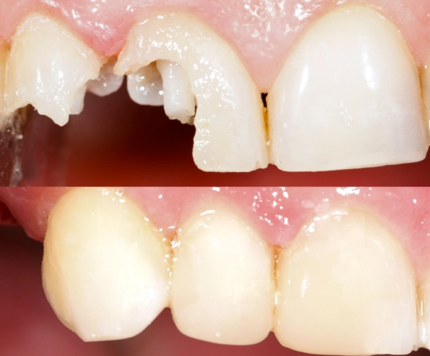
Let's cut through the jargon. I remember a friend of mine, let's call her Sarah, who chipped a tiny corner of her front tooth on a water bottle lid of all things. It was barely noticeable to anyone else, but she felt it with her tongue every single second of the day. It drove her nuts. Her dentist suggested a bit of tooth filing and bonding, and twenty minutes later, the problem was gone. That's one very real, very common thing tooth filing does—it fixes those little annoyances that feel huge to you.
But that's just the start. The official term is enameloplasty, odontoplasty, or dental contouring. At its core, what tooth filing does is remove tiny, precise amounts of tooth enamel (that's the hard, outer layer) to change the tooth's shape, length, or surface. It's a subtle art, not a wholesale remodeling job. We're talking about fractions of a millimeter here.
So, What Does Tooth Filing Do? Breaking Down Its Actual Jobs
It's not a one-trick pony. Dentists use this technique for a bunch of reasons, some cosmetic, some practical. Here’s the real-world list of what tooth filing can accomplish.
Smoothing Out the Small Stuff
This is the bread and butter of contouring. Think of it as fine-grit sandpaper for your teeth. It's perfect for:
- Minor chips and cracks: That little nick from a popcorn kernel? Filing can smooth the rough edge so it's undetectable and doesn't catch on your cheek or tongue.
- Uneven or slightly overlapping teeth: If one tooth sticks out just a bit more than its neighbor, carefully filing down the prominent area can create a smoother, more aligned look without braces.
- Pointy canine teeth: Some people feel their canines are too sharp or fang-like. Contouring can gently round them off for a softer appearance.
- Enamel ridges: Some teeth have natural bumps or ridges. If they're pronounced, filing can create a flatter, more uniform surface.
I'll be honest, the idea of someone filing my teeth used to give me the heebie-jeebies. I imagined a nail file screeching away. But seeing how quick and painless it was for Sarah's tiny chip changed my mind. It's truly a minor tweak.
Prepping for Other Dental Work
This is a huge part of what dental contouring does behind the scenes. It's often a preparatory step.
- Before veneers or crowns: To make room for these restorations so they don't look or feel bulky, a dentist must often reduce the tooth size slightly. This is a more controlled form of filing.
- Improving fit for braces: Sometimes, teeth are too wide to align properly. Removing a minuscule amount of enamel from the sides (a process called interproximal reduction or IPR) creates space so teeth can shift into place more easily. The American Association of Orthodontists discusses this as a common adjunct to treatment on their website.
- Creating a better bond: For composite bonding (where tooth-colored resin is applied), slightly roughening the enamel surface with a fine file helps the material adhere strongly.
Fixing Functional Bite Issues
This is where it goes beyond looks. An uneven bite can cause jaw pain, headaches, and uneven tooth wear.
Key Point: If one tooth hits sooner or harder than the others when you bite down (this is called a "premature contact" or "high spot"), it can throw your whole jaw off. Carefully filing down that specific spot can balance your bite, relieving pressure and preventing future damage. It's like adjusting a wobbly table leg.
What Tooth Filing Does NOT Do (The Reality Check)
It's crucial to understand the limits. Tooth filing is not a magic wand.
It cannot fix major cosmetic issues. If you have large gaps, severely crooked teeth, or significant discoloration, you'll need orthodontics, veneers, or whitening. Filing won't make yellow teeth whiter—it only deals with shape.
It cannot replace missing tooth structure. For big chips or decay, you need bonding, a filling, or a crown to add material back.
It should not remove large amounts of enamel. Enamel doesn't grow back. Removing too much compromises the tooth's strength and can lead to sensitivity or make it more prone to decay. A good, ethical dentist will know the strict limits—usually less than 0.5 millimeters.
Watch Out: Be wary of any non-dental "esthetician" offering tooth filing. This is a dental procedure that requires understanding of tooth anatomy, enamel thickness, and bite mechanics. Only a licensed dentist or hygienist under supervision should do it. The U.S. Food and Drug Administration (FDA) regulates dental instruments for a reason.
The Step-by-Step: What Does the Tooth Filing Process Actually Do to Your Tooth?
Knowing what to expect takes the fear out of it. Here’s how a typical session goes.
- The Consultation & Mark-Up: This is the most important step. Your dentist will examine your teeth, often with X-rays, to ensure your enamel is thick and healthy enough. They'll then use a special pen to mark the exact spots on your tooth that will be filed. You'll get to see this in a mirror and agree on the plan. No surprises.
- The Filing: They use a fine-grit diamond bur or a dental sanding strip. It makes a buzzing or sanding sound, which is the weirdest part. But here's the thing—enamel has no nerves. You shouldn't feel any pain, just vibration and pressure. For smoothing between teeth, they might use those sandpaper-like strips, which feel a bit like flossing with grit.
- Smoothing & Polishing: After contouring, the dentist polishes the filed area to a smooth, shiny finish that matches the luster of your natural enamel. This also helps prevent plaque from sticking to any microscopically rough edges.
- The Final Check: They check your bite with special paper that marks the contact points, ensuring everything is even. You run your tongue over it. It feels...normal. Like the tooth was always meant to be that shape.
The whole thing for a simple contour can take 15 to 30 minutes per tooth. No anesthesia is needed unless they're working very close to the gum line or you're exceptionally anxious.
Risks and Downsides: The Other Side of the Coin
No procedure is perfect. So, what are the potential downsides of what tooth filing does?
- Tooth Sensitivity: This is the most common one. Removing even a tiny bit of enamel can sometimes lead to temporary sensitivity to hot or cold. It usually fades in a few days as the tooth remineralizes slightly.
- Over-Filing: The big risk in unskilled hands. Too much enamel removal weakens the tooth permanently. This is why seeing a qualified professional is non-negotiable.
- Future Vulnerability: A tooth with slightly less enamel might be slightly more susceptible to decay over decades, which is why excellent oral hygiene is key afterwards.
- It's Permanent: You can't glue the enamel back on. The change is forever.
Personally, I think the risk of sensitivity is overblown for minor contouring, but it's a real possibility you should be prepared for. For the interproximal reduction done with braces, studies show it's safe when done correctly. A resource like the American Dental Association (ADA) is a good place to look for general guidelines on minimally invasive procedures.
Costs and Considerations
So, what does tooth filing do to your wallet? It's surprisingly affordable compared to other cosmetic work.
| Type of Contouring | Estimated Cost Range (Per Tooth) | Notes |
|---|---|---|
| Simple Cosmetic Contouring | $50 - $300 | Often the lower end if it's a quick smoothing of a chip or ridge. |
| Contouring as Part of Bonding | Included in Bonding Fee ($300 - $600 per tooth) | The filing is a preparatory step, so it's bundled. |
| Interproximal Reduction (IPR) for Braces | Usually included in overall orthodontic treatment cost | Considered a standard orthodontic procedure. |
Insurance is tricky. If it's purely cosmetic, they likely won't cover it. But if tooth filing is doing a functional job—like correcting a bite interference that's causing pain or trauma—you might get partial coverage. Always check with your provider first.
How It Stacks Up: Tooth Filing vs. Other Options
Wondering why you'd choose filing over something else? This comparison clarifies what tooth filing does best relative to its alternatives.
The Quick Fix vs. The Major Overhaul: Filing is for subtle changes. Veneers are for complete transformations. Bonding adds material; filing removes it. Understanding this distinction is everything.
- Vs. Veneers: Veneers are like custom-made shells that cover the front of teeth. They require more enamel removal (irreversible) and are far more expensive ($1,000+ per tooth). Filing is minimal, cheaper, and preserves more natural tooth structure. Filing adjusts what you have; veneers cover it up with something new.
- Vs. Bonding: Bonding uses composite resin to *build up* a tooth. Filing *reduces* it. They are often used together—file a little here, add bonding there to create the perfect shape. For a small chip, sometimes filing alone is enough; for a larger one, you need bonding.
- Vs. Orthodontics (Braces/Invisalign): Braces move teeth into new positions. Filing doesn't move teeth; it reshapes individual ones. They can be a powerful combo—braces align the teeth, and final minor filing perfects the shapes and profiles for a flawless finish.
Your Top Questions Answered (The Stuff You Actually Google)
Does tooth filing hurt?
Not during the procedure itself, because enamel has no feeling. You'll feel vibration and pressure. Afterward, some temporary sensitivity is possible, but it's rarely described as "pain."
How long do the results last?
Forever, because the enamel is gone. However, your teeth will continue to age, wear, and possibly chip naturally from use. It's a permanent change, not a permanent guarantee against future wear and tear.
Can it be done on front teeth?
Absolutely. That's where it's most common for cosmetic reasons. Dentists are extra conservative on front teeth because they are thinner.
Is tooth filing safe for sensitive teeth?
This needs a careful evaluation. If your sensitivity is due to thin enamel or gum recession, filing might make it worse. Your dentist needs to diagnose the cause of your sensitivity first. It might be a case of "fix the sensitivity problem first, then consider contouring."
What's the difference between filing and polishing?
Polishing is like using a soft cloth to shine your car. Filing is like using very fine sandpaper to change its shape. Polishing removes surface stains and plaque; filing removes healthy enamel structure. A dental cleaning includes polishing; filing is a separate procedure.
Making the Decision: Is Tooth Filing Right for You?
Ask yourself these questions:
- Is my concern minor? (A small chip, a slight overlap, a sharp edge)
- Am I looking for a subtle improvement, not a total smile makeover?
- Is my enamel healthy and strong (confirmed by a dentist)?
- Is my bite comfortable, or is one tooth hitting first?
If you answered yes to the first three, contouring might be a perfect, simple solution. If bite issues are your main concern, then what tooth filing does could be more functional than cosmetic.
The final, non-negotiable step is a consultation with a dentist you trust. Get their opinion. A good dentist will tell you if it's suitable or if another option would give you a better, safer result. Don't be afraid to ask them to show you on a model or explain exactly how much enamel they propose to remove.
At the end of the day, what does tooth filing do? It's a precise, conservative dental tool. It fixes niggling little problems, preps teeth for other work, and smooths out bite issues. It's not for everyone or every problem, but when it's the right fit, it's a quick, affordable, and effective way to feel better about your smile—or just to stop that annoying chip from catching on your lip.
It turned my friend Sarah's tiny dental drama into a non-issue in less time than it takes to watch a sitcom. Sometimes, the simplest solutions are the best ones.