Quick Guide
Let's be honest, figuring out what's normal and what's a problem in your child's mouth can feel like decoding a secret language. You hear terms like "cavity," "decay," and then this one: "milk rot." It sounds scary, and you're left searching online, trying to picture it. What does milk rot look like on teeth, really? Is it just a brown spot, or something more?
I remember staring at my toddler's teeth during a brushing battle, wondering if that slight off-color near the gumline was just shadow or the start of something bad. That worry is real, and it's why getting a clear, visual understanding is so crucial. This isn't about fear-mongering; it's about giving you the eyes to see what's happening early.
The Classic Look: What Does Milk Rot Look Like on Teeth in Real Life?
Forget the textbook diagrams for a second. In a real child's mouth, what does milk rot look like on teeth? It follows a path, and its appearance changes as it gets worse.
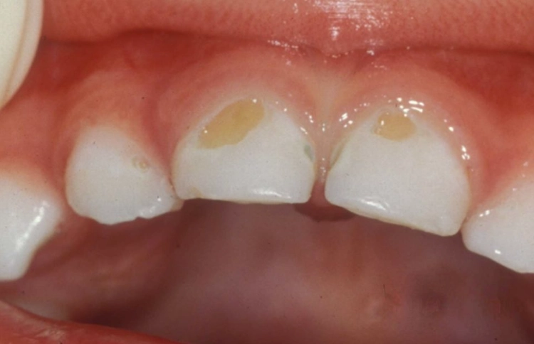
The Sneaky Beginning: The White Spot Stage
This is the most important stage to catch, and the easiest to miss. We're not talking about bright white teeth. We're talking about dull, chalky white lines or patches right at the gumline of the upper front teeth. They look almost matte, like someone dabbed a bit of white correction fluid there.
These spots are areas of demineralization. The enamel is still intact—no hole yet—but it's losing minerals and getting weaker. The tooth surface might even feel a bit rough if you (very gently) run a fingernail over it. At this point, the process can often be reversed with professional fluoride treatment and excellent home care. But left alone? It marches forward.
Really sneaky stuff.
The Progression: Yellow, Brown, and Breakdown
As the decay breaks through the enamel, the color deepens. The white spots turn a yellowish or light brown. Then, they become distinct brown spots or bands. You might see little pits or cavities forming along that gumline. This is where many parents finally go, "Oh, that's a cavity."
The decay loves the upper front teeth because liquid pools there during bottle or breastfeeding. But it doesn't stop there. It spreads to the upper molars (back teeth), and if it's really severe, it hits the lower molars. The lower front teeth are often the last to get it, sometimes spared altogether, because the tongue sits over them and saliva from glands underneath offers some protection.
The Severe Stage: What Advanced Milk Rot Looks Like
This is the heartbreaking stage you see in some public health posters, but it happens. The brown spots become large, dark brown or black areas. The teeth, especially the front ones, can look "eaten away" or crumbled down to little brown stumps. The enamel is completely destroyed. You might see swelling or a pimple-like bump on the gums above an infected tooth—that's an abscess.
At this point, a child may have pain, avoid chewing on one side, run a fever from infection, or have trouble sleeping. The damage is extensive, and treatment becomes complex, often involving crowns, extractions, or even surgery under general anesthesia. The goal of learning what does milk rot look like on teeth early is to avoid ever getting to this point.
Milk Rot vs. Other Stuff: A Quick Visual Comparison
Not every spot is decay. Here’s a breakdown to help you tell the difference.
| What You're Seeing | Likely Cause | Key Differences from Milk Rot |
|---|---|---|
| Chalky White Lines at Gumline | Early Milk Rot (Demineralization) | Dull, matte finish. Feels slightly rough. Appears first on upper front teeth. |
| Brown/Orange Stains | Food Pigments (berries, curry) or Iron Supplements | Wipes off with a cloth or brushing. The tooth underneath is smooth and intact. |
| Small White Flecks or Spots | Fluorosis (from too much fluoride during development) | Often symmetrical (on matching teeth). Has a shiny, almost pearly look. Present since the tooth erupted. |
| Dark Spot in a Groove | Pit & Fissure Cavity (more common in older kids) | Located in the chewing surfaces of molars, not the smooth front surfaces. |
| Yellowish Overall Color | Thin Enamel or Dentin Showing Through | The whole tooth is evenly off-color, not localized spots. It's a genetic trait, not decay. |
If you're unsure, the rule is simple: get a dentist to look. A quick check can give you peace of mind or a plan of action. The American Academy of Pediatric Dentistry (AAPD) recommends a child's first dental visit by their first birthday or within six months of the first tooth erupting. This visit is largely for you—to learn how to prevent problems like milk rot. You can find their official guidelines on early dental visits on their website.
Why Does This Happen? It's Not Just About Sugar
Knowing what does milk rot look like on teeth is half the battle. The other half is understanding the "why" so you can stop it. The name "baby bottle tooth decay" points to a major culprit: frequent, prolonged exposure of teeth to liquids other than water.
This includes milk (breastmilk or formula), juice, and soda. It's not that these liquids are evil; it's the timing and frequency. When a child naps or sleeps with a bottle, or sips on one constantly, the liquid pools around the teeth. Bacteria in the mouth (which we all have) feast on the sugars in the liquid, producing acid. This acid attacks the enamel over and over, without a long enough saliva break to repair it.
Breastfeeding at will throughout the night can pose a similar risk once teeth are present. It's the same mechanism—constant sugar exposure without clearance.
Saliva is the mouth's natural repair kit. It needs time to work.
Other big factors? Sharing spoons can transfer cavity-causing bacteria from a parent's mouth to the child's. Sticky, carbohydrate-rich snacks (like crackers, cereal, dried fruit) that cling to teeth also fuel the bacteria for a long time. And of course, a lack of proper cleaning from the very first tooth.
What To Do: From Spotting to Stopping
So you think you see something, or you just want to make sure you never do. Here's the action plan.
If You See the Signs
- Don't Panic, But Act. Early-stage white spots are reversible. Call a pediatric dentist.
- Step Up Cleaning. Gently brush twice a day with a rice-grain-sized smear of fluoride toothpaste for kids under 3 (pea-sized for 3-6). Get in there along the gumline.
- Cut the Constant Sipping. Offer milk or juice only at mealtimes. Only water in bottles or cups between meals and absolutely at bedtime/nap time.
- Ask About Fluoride. Your dentist might apply a professional fluoride varnish to help re-harden those white spots.
Prevention is the Absolute Best Medicine
Preventing milk rot is far easier than treating it. It boils down to a few consistent habits.
- Wipe, then Brush: Before teeth come in, wipe gums with a clean, damp cloth. The moment the first tooth appears, start brushing with a soft infant brush and fluoride toothpaste.
- Bottle Bedtime is a No-Go: Never put a child to bed with a bottle of anything but water. Not milk, not diluted juice. Water only.
- Wean to a Cup: Encourage drinking from a regular cup around 6-12 months. It's better for teeth and oral motor development. Ditch the sippy cup for regular use as soon as they can manage.
- Smart Snacking: Choose cheese, yogurt, veggies, or fruit for snacks. Limit sticky, starchy, or sugary snacks to mealtimes. Water after a snack helps rinse.
- Get that First Dental Visit. It's a check-up and a coaching session for you.
The Centers for Disease Control and Prevention (CDC) has great, straightforward resources on community water fluoridation and its role in preventing decay for people of all ages, which supports healthy enamel from the inside out. You can read about the public health benefits on the CDC's site.
Answering Your Big Questions
Let's tackle some of the specific worries that pop up when you're searching for answers.
Can milk rot go away on its own?
The very early white spot stage can be reversed with the right intervention—fluoride from the dentist, improved cleaning, and diet changes. But once it becomes a true cavity (a hole in the enamel), it cannot heal itself. It will only get bigger. The body cannot regrow tooth enamel.
Does it hurt my child?
In the early stages, no, it's not painful. That's why it's so sneaky. By the time it reaches the inner layer of the tooth (the dentin) and especially the nerve (the pulp), it can cause significant toothache, sensitivity to hot/cold, and pain when chewing. An abscess is very painful. Don't wait for pain as a sign.
If it's just baby teeth, why is treating it so important?
This is a huge misconception with bad consequences. Baby teeth hold space for adult teeth. Losing them too early can cause crowding and alignment issues later. Severe decay can lead to painful infections that affect a child's overall health, nutrition (if it hurts to eat), sleep, growth, and even their ability to focus in school. The pain and experience can also create a lifelong fear of the dentist.
What will the dentist do to treat it?
It depends entirely on how far along it is.
For a white spot: Likely fluoride varnish and monitoring.
For a small cavity: A small filling.
For larger decay on a front tooth: A pediatric crown (often a cute little white or stainless steel cap) or, if it's too damaged, a safe extraction with a space maintainer to hold the spot for the adult tooth.
For extensive decay on multiple teeth: Treatment under general anesthesia or deep sedation in a hospital or surgical center is often the safest and most humane option to fix everything at once. It sounds scary, but it prevents a child from associating the dental chair with fear and trauma.
Look, it's easy to feel guilty if you're reading this and realizing your child might have the start of this. I've been there. The "what did I do wrong" spiral is useless. Parenting is hard, and sleep is precious. Sometimes habits form without us realizing the dental impact.
The point isn't blame. The point is information. Now you know what to look for. You know what does milk rot look like on teeth—from those sneaky white lines to the obvious brown breakdown. You know it has a pattern. You know it's largely preventable. And you know the first call to make is to a pediatric dentist, who has seen it all and is there to help, not judge.
Armed with that, you can move from worry to action, and give your child the best shot at a healthy, pain-free smile.