You brush, you floss, maybe you even use mouthwash. But while you're peacefully asleep, a hidden battle might be raging in your mouth. Teeth wear from sleep grinding—medically known as sleep bruxism—isn't about bad hygiene. It's a mechanical destruction that happens on autopilot, and by the time you notice the flat edges or sensitivity, significant damage is often done. I've seen patients in their 30s with the tooth structure of someone decades older, all from untreated grinding. The worst part? Many have no idea they're doing it until a dentist points it out during a check-up.
What’s Inside This Guide?
What Exactly Is Sleep Bruxism Wear?
Let's get specific. This isn't normal chewing wear. When you grind your teeth asleep, the forces are immense—up to 250 pounds of pressure, according to some studies from the American Academy of Sleep Medicine. And it's unguided. There's no food to cushion the blow, just enamel slamming against enamel in a side-to-side or clenching motion. This creates a distinct pattern of wear. Instead of rounded, natural contours, teeth develop flat planes, often across multiple teeth in a row. The biting edges of your front teeth can become see-through or notched. Back teeth lose their protective cusps, the little hills and valleys that help you chew efficiently.
A Quick Reality Check
Think you'd wake up if you were grinding that hard? Most people don't. Sleep bruxism occurs in micro-arousals, brief disruptions in your sleep cycle. You're never fully conscious, so the memory never forms. Your jaw muscles, however, get a brutal workout.
How to Spot the Signs (Before It's Too Late)
Don't wait for pain. Look for these clues. Some you can see, some you can feel.
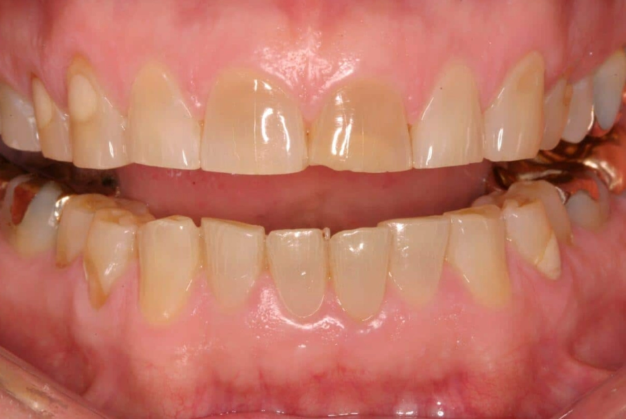
Visual Clues Your Dentist Sees (And You Can Too)
Grab a mirror. Look at the biting surfaces of your back teeth in good light. Are they flat and shiny, like a polished stone? That's called attrition, and it's textbook grinding wear. Check your front teeth. Do the edges look straight, like they've been filed down, or do you see small chips or cracks (craze lines)? Run your tongue along them. Do they feel sharp or uneven? Another giveaway is wear facets—specific shiny spots on a tooth that perfectly match a spot on the opposing tooth, like two puzzle pieces grinding together.
The Morning-After Symptoms You Shouldn't Ignore
The physical feelings are just as telling. Waking up with a dull headache, especially around your temples, is a huge red flag. That's your temporomandibular joint (TMJ) and muscles complaining. Do your jaw muscles feel tight, sore, or tired, as if you've been chewing gum all night? Is there a lingering ache in your teeth or gums? Some people even experience earache or a feeling of fullness in the ears because the jaw joint is so close to the ear canal.
The Root Causes: It's Not Just Stress
Yes, stress and anxiety are major triggers. They put your nervous system on high alert, which can manifest as jaw tension at night. But if we stop there, we miss other critical pieces. One often-overlooked factor is sleep-disordered breathing. Research, including findings published by the American Academy of Dental Sleep Medicine, shows a strong link between bruxism and conditions like sleep apnea. The theory? Grinding might be a reflexive attempt by the body to open the airway. If you snore heavily or wake up gasping, this connection is crucial to explore.
Other contributors include:
- Medications: Certain SSRIs (a common class of antidepressants) list bruxism as a potential side effect.
- Lifestyle: Heavy caffeine, alcohol, and recreational drug use can exacerbate grinding.
- Anatomy & Habit: A misaligned bite (malocclusion) can create an unstable platform for your jaw, leading to grinding as it searches for a comfortable position. For some, daytime teeth clenching becomes an unconscious habit that carries into sleep.

The Long-Term Damage You Can't Ignore
This is where it gets serious. Ignoring sleep grinding isn't an option if you want to keep your natural teeth. The damage cascades.
First, you lose enamel. Enamel doesn't grow back. As it wears, the softer, yellow dentin underneath becomes exposed. This leads to sensitivity to hot, cold, and sweets. Your teeth also look darker and yellower.
Then, the teeth get shorter. This changes your facial profile, making your lower face appear collapsed. It can even cause the corners of your mouth to turn down.
Next, cracks and fractures. Weakened teeth are prone to cracks. I've seen molars split right down the middle from years of grinding, often requiring crowns or even extractions.
Finally, joint and muscle disaster. Chronic TMJ disorders (TMD), with symptoms like clicking, popping, locking of the jaw, and chronic facial pain, are a common endpoint. The cost of fixing this—not just in money but in time and discomfort—dwarfs the cost of early prevention.
How to Stop Grinding and Protect Your Teeth
This is a two-pronged attack: protect the teeth from further damage and address the underlying causes.
The Non-Negotiable First Step: A Professional Night Guard
I need to be blunt here. A boil-and-bite guard from the pharmacy is better than nothing, but just barely. They're bulky, can worsen clenching, and are often chewed through. A custom-made occlusal guard from your dentist is a medical device. It's thin, hard, and designed to do two things: provide a smooth, slippery surface that disengages your muscles (stopping the grinding reflex) and evenly distribute the crushing forces to protect every tooth. It's the single most effective tool for preventing physical wear.
Addressing the Source: Beyond the Mouth Guard
The guard is a shield, not a cure. To reduce the grinding itself, consider these approaches:
- Stress Management: This isn't fluffy advice. Daily practices like mindfulness meditation, deep breathing exercises before bed, or gentle yoga can lower your overall nervous system arousal.
- Sleep Hygiene Audit: Create a wind-down routine. No screens an hour before bed. Keep your room cool, dark, and quiet. Consistency is key.
- Check for Sleep Apnea: If you have risk factors (snoring, daytime fatigue, obesity), talk to your doctor about a sleep study. Treating apnea can significantly reduce or eliminate grinding.
- Physical Therapy & Biofeedback: A physical therapist specializing in TMJ can teach you jaw exercises and relaxation techniques. Some newer biofeedback devices can alert you when you clench during the day.

The Big Night Guard Mistake Most People Make
Here's the expert insight you won't hear everywhere: The goal of a night guard is not to give your teeth something to grind on. A poorly designed or over-thick guard can actually fuel the habit, giving your jaw muscles a satisfying target to crush against all night. This can increase muscle fatigue and pain.
The real magic of a well-made, professional guard is in its precise fit and minimal thickness. It should fit snugly without rocking, and its outer surface should be so smooth that when your teeth slide, there's no traction to sustain the grinding motion. This encourages the muscles to relax. Many patients report their grinding intensity drops within weeks of using a proper guard because it breaks the neurological feedback loop.
Choosing the right type matters. Here’s a breakdown:
| Type of Guard | Best For | Key Consideration |
|---|---|---|
| Custom Hard Acrylic (Full Coverage) | Heavy grinders, significant wear already present. Offers maximum protection. | Gold standard for durability and force distribution. Made by your dentist from a mold of your teeth. |
| Custom Dual-Laminate (Soft inside/Hard outside) | Those who find hard guards uncomfortable or who clench more than grind. | Provides comfort while still protecting against wear. The hard outer layer prevents penetration. |
| Over-the-Counter Boil & Bite | Temporary use, very mild symptoms, or while waiting for a custom guard. | Can be bulky, may increase clenching, less durable. Not a long-term solution for diagnosed bruxism. |
Your Sleep Grinding Questions, Answered
My partner says I grind, but I don't have jaw pain. Do I still need a guard?
Absolutely. The absence of pain is misleading. Dental damage is cumulative and irreversible. Pain from muscle or joint strain often comes later, after years of abuse. The wear on your teeth is the primary concern, and it's happening every night. A guard is insurance for your smile's future.
Can worn-down teeth from grinding be fixed?
They can be restored, but it's a process, not a quick fix. First, you must get a guard to stop the destruction. Then, options like dental bonding, veneers, or crowns can rebuild the shape and length of the teeth. It's cosmetic dentistry driven by a functional need. The key is to stabilize the grinding first—otherwise, you'll just destroy the expensive new restorations.
I wear a night guard but still wake up with a headache. What's wrong?
This points to a few possibilities. The guard might be too thick, encouraging even harder clenching. It might not fit properly, creating an unstable bite that your muscles are fighting against all night. Or, the grinding force is simply translating into intense muscle contraction that the guard can't fully mitigate. Go back to your dentist. The guard may need adjustment, or you may need to incorporate more muscle relaxation techniques or physical therapy alongside it.
Are there any natural remedies that actually work for sleep grinding?
Some complementary approaches show promise for reducing frequency, though they don't replace physical protection. Magnesium supplementation (consult your doctor first) can help with muscle relaxation. Applying a warm compress to your jaw muscles for 10-15 minutes before bed can reduce tension. The most impactful "natural" remedy is consistent, dedicated stress reduction and impeccable sleep hygiene. They address the root neurological triggers.
How do I get diagnosed with sleep bruxism officially?
Your dentist is the first port of call. Diagnosis is primarily clinical, based on the visible wear patterns on your teeth, your reported symptoms, and an examination of your jaw muscles and joints. They may ask you to describe your sleep and stress levels. In complex cases, or to rule out sleep apnea, they may refer you for a polysomnogram (sleep study), which can measure jaw muscle activity throughout the night.
The journey with teeth wear from sleep grinding starts with awareness. You're not just protecting enamel; you're preserving your ability to chew comfortably, your smile's appearance, and your overall quality of life. The combination of a professionally made night guard and a honest look at your sleep and stress habits isn't a quick fix—it's a long-term investment in your health. Don't let your smile wear away one night at a time.