That dull, vise-like pressure around your temples when you open your eyes. The ache in your jaw that makes chewing breakfast a chore. If this is your regular morning routine, you might be dealing with a teeth grinding headache. It's not "just stress." It's a physical problem with a direct cause—nighttime clenching and grinding, known as bruxism—and more importantly, real solutions. The good news? Once you connect the dots, you can stop just managing the pain and start fixing the source.
In a Hurry? Jump Straight to What Matters
What is Bruxism and How Does It Cause Headaches?
Bruxism is the medical term for grinding, gnashing, or clenching your teeth. Most people do it while asleep (sleep bruxism), completely unaware. Think about the force involved. Your jaw muscles are some of the strongest in your body. When they contract relentlessly for hours, they don't just tire—they go into a state of sustained tension.
This tension is the direct pipeline to your headache. The main culprits are two muscles:
The Masseter: This is your main chewing muscle, the one you feel bulging at the back of your jaw when you clench. When it's overworked, it refers pain forward, often feeling like a deep ache in your cheek or a toothache.
The Temporalis: This fan-shaped muscle covers the side of your skull above your ear. It's the primary source of the classic "temple headache." Constant grinding keeps it in a shortened, tight state, creating that band-like pressure around your head.
The pain isn't always isolated. It can manifest in three common headache patterns linked to bruxism:
- Tension-Type Headache: The most common. A constant, dull, squeezing pain across your forehead, temples, or back of the head.
- TMJ Headache: Pain centered just in front of your ears, where your jaw joints (temporomandibular joints) are. It may be accompanied by clicking, popping, or limited jaw movement.
- Referral Pain: The muscle strain can even trigger pain that feels like a sinus headache (around the eyes and cheeks) or an earache.
What triggers the grinding in the first place? It's rarely one thing. The American Dental Association points to a mix of factors: stress and anxiety are huge contributors, but so are sleep disorders like sleep apnea, an abnormal bite, crooked teeth, and even certain medications (like some SSRIs). For many, it's a perfect storm of a stressful life and a sleep environment that doesn't promote relaxation.
How to Get Immediate Relief from a Teeth Grinding Headache
You're in pain now. Let's talk about what you can do today to dial it down. These are first-aid tactics, not cures, but they can make a miserable day bearable.
Heat is Your Best Friend. Grab a warm washcloth, a heating pad on low, or one of those microwaveable gel packs. Apply it to the sorest spots along your jawline and temples for 15-20 minutes. The heat increases blood flow, helping the knotted muscles relax. I tell patients to do this first thing in the morning while having their coffee.
Gentle Massage. Don't go digging for knots. Use your fingertips to make small, gentle circles along your jaw muscle (start near your earlobe and move toward your chin). Also, massage your temples in a circular motion. You're not trying to break up scar tissue; you're signaling the muscle to let go.
The Tongue Rest Position. This is a simple but powerful habit. Throughout the day, consciously let your teeth come slightly apart. Place the tip of your tongue on the roof of your mouth, just behind your front teeth. This is the natural, neutral resting position for your jaw. It physically prevents your teeth from touching and trains your muscles out of the "clench-ready" mode.
Dietary Tweaks for the Day. Give your jaw a break. Avoid chewy bagels, tough steak, gum, and hard candies. Opt for soups, smoothies, scrambled eggs, and soft-cooked vegetables. You're reducing the workload on already exhausted muscles.
Over-the-Counter Help. An anti-inflammatory like ibuprofen can reduce the inflammation in the overworked muscles and joint, providing relief. But use this sparingly—it's masking the symptom, not solving the problem. Relying on painkillers for morning headaches is a red flag that you need a more permanent fix.
Long-Term Solutions to Stop Grinding and Prevent Headaches
Managing the morning-after pain is one thing. Stopping the grinding at its source is the real goal. Here’s where you move from patient to active participant in your own care.
The Gold Standard: A Custom Night Guard (Occlusal Splint)
This is the most effective, direct intervention. Not the bulky, over-the-counter boil-and-bite kind you get at the pharmacy. Those can often make things worse by encouraging your jaw to clench against an ill-fitting surface. We're talking about a custom-made appliance from your dentist.
How it works: The guard creates a smooth, physical barrier between your upper and lower teeth. It doesn't stop the clenching impulse from your brain, but it prevents the teeth from wearing down and, crucially, redistributes and absorbs the massive forces generated by your jaw muscles. This takes the strain off your muscles and joints, preventing them from becoming overloaded and triggering headaches.
Getting one involves a dental visit for impressions or a digital scan of your teeth. The lab then crafts a hard (usually acrylic) or dual-laminate guard that fits your bite perfectly. It's an investment, typically ranging from $300 to $800, but most dental insurance plans with medical coverage will contribute if it's diagnosed for bruxism/TMJ.
| Type of Guard | Best For | Pros | Cons / Considerations |
|---|---|---|---|
| Hard Acrylic (Full Coverage) | Heavy grinders/clenchers | Most durable; best force distribution; protects all teeth. | Bulkier feel; may take a few nights to get used to. |
| Dual-Laminate (Soft inside/Hard outside) | Those who find hard guards uncomfortable | More comfortable initially; still provides good protection. | Softer interior can be chewed through by severe grinders over time. |
| "NTI-tss" Device | Primarily for clenching & tension headaches | Very small, fits only on front teeth; reduces muscle activity significantly. | Must be fitted precisely by a trained dentist; not for everyone. |
| Boil-and-Bite (Drugstore) | Very short-term, emergency use only | Inexpensive and immediately available. | Poor fit can worsen clenching and jaw alignment; not a long-term solution. |
Addressing the Root Causes: Stress and Sleep
The guard protects your body from the symptom. To truly get ahead, you need to lower the volume on the signals telling your jaw to clench.
Stress Management Isn't Fluff. For bruxism, it's essential. Your nervous system is stuck in "fight or flight," even at night. Practices like mindfulness meditation, deep breathing exercises (try 4-7-8 breathing before bed), or gentle yoga aren't just relaxing—they actively downregulate your nervous system. The National Institute of Mental Health resources on stress can offer a starting framework. Find what works for you and make it a non-negotiable part of your evening routine.
Sleep Hygiene Audit. Poor sleep quality exacerbates bruxism. Look at your pre-bed habits. Ditch screens an hour before sleep (the blue light disrupts melatonin). Keep your bedroom cool, dark, and quiet. Avoid caffeine and heavy meals too close to bedtime. If you snore heavily or gasp for air at night, talk to a doctor about a sleep study for sleep apnea—it's a major bruxism trigger.
Physical Therapy & Biofeedback. For stubborn cases, seeing a physical therapist who specializes in TMJ disorders can be transformative. They can teach you targeted exercises to strengthen and relax specific jaw and neck muscles. Biofeedback therapy uses sensors to make you aware of subconscious clenching so you can learn to consciously release the tension.
What Happens If You Ignore a Teeth Grinding Headache?
Treating the headache with Advil and hoping it goes away is a losing strategy. Bruxism is a progressive condition. The force doesn't diminish over time; the damage accumulates.
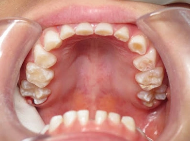
First, your teeth take the hit. You'll see flattening, chipping, or cracking of the enamel. I've seen patients grind halfway through their own crowns. This leads to sensitive teeth, an increased risk of cavities (cracks trap bacteria), and ultimately, the need for expensive restorative work like crowns, veneers, or root canals.
Second, the strain on your jaw joint (TMJ) can lead to a full-blown temporomandibular joint disorder. This means chronic pain, locking of the jaw, painful clicking, and headaches that become more frequent and severe. Treating TMD is more complex than preventing it.
Finally, the muscle tension doesn't stay isolated. It can ripple into chronic neck and shoulder pain, and even contribute to postural issues. The quality of your sleep suffers, which impacts your energy, mood, and immune function. That morning headache is just the first, most obvious warning light on your dashboard.
The path out of the teeth grinding headache cycle is clear. It starts with recognizing the link between that ache in your head and what's happening in your mouth at night. From there, you have a toolbox of options: immediate relaxation techniques, the protective power of a custom night guard, and the foundational work of managing stress and sleep. It requires action, not just endurance. That morning headache is your body asking for help. The good news is, you can actually give it.