You might think grinding your teeth is just a bad habit, something that annoys your partner at night. Maybe your dentist mentioned seeing some wear during your last check-up, and you nodded, thinking it wasn't a big deal. Here's the hard truth I've learned from over a decade in dental sleep medicine: untreated bruxism is a slow-motion wrecking ball for your oral and overall health. The consequences stack up quietly, often painlessly at first, until one day you're facing a cracked tooth, chronic headaches, or a jaw that won't open properly.
This isn't about scare tactics. It's about connecting the dots between that vague morning jaw soreness and the real, expensive, and sometimes irreversible damage happening while you sleep.
What's At Stake: A Quick Guide
- What Exactly Happens When You Grind Your Teeth?
- The Domino Effect: From Jaw Pain to Chronic Headaches
- How Bruxism Steals Your Sleep (And Energy)
- Consequences Beyond Your Mouth: The Systemic Toll
- The Real Cost of Doing Nothing: Financial and Health Risks
- How to Stop the Damage: Effective Steps You Can Take
What Exactly Happens When You Grind Your Teeth?
Let's get specific. Bruxism isn't gentle rubbing. It's powerful, involuntary clenching and grinding, often with force up to six times greater than normal chewing. Imagine using a power tool on your own teeth, night after night.
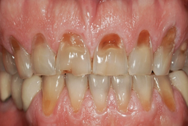
Your Teeth Bear the Brunt First
The enamel—the hardest substance in your body—slowly erodes. You don't just get flat teeth. The patterns are telling:
Shortened, flat front teeth: A classic sign. Your incisors look like they've been filed down.
Notches at the gumline (abfractions): These little crescent-shaped dents aren't caused by brushing too hard, contrary to popular belief. They're stress fractures from flexing under clenching pressure.
Fractured cusps and cracked teeth: The molars take immense force. A weak spot gives way, leading to a sharp pain when biting or a crack that requires a crown. I've seen patients need a root canal because a crack allowed bacteria to infect the nerve.
Failed dental work: Crowns, fillings, and veneers pop off or fracture under pressure they weren't designed to handle. It's a frustrating cycle of repair.
Expert Insight: Many patients are shocked when a tooth with a large, old filling suddenly cracks. They say, "But I wasn't eating anything hard!" The reality is the grinding weeks before created micro-fractures. The final bite was just the last straw.
Your Jaw Joints and Muscles Are Under Siege
The temporomandibular joints (TMJs) are intricate hinges. Constant grinding overloads them, inflaming the joint and the powerful muscles that control your jaw—the masseters and temporalis.
This isn't just soreness. It's myofascial pain, where muscles become tight, knotted bands. You might feel it as:
- A dull ache in front of your ears
- Pain that radiates to your temples or neck
- A clicking, popping, or grating sound when you open
- Limited jaw movement, like you can't open wide anymore
Left untreated, this can evolve into a chronic TMJ disorder (TMD), a complex pain condition that's much harder to manage.
The Domino Effect: From Jaw Pain to Chronic Headaches
Here's a connection most people miss. Your jaw muscles are huge and attach near your temples and skull. When they're in spasm all night, where do you think the pain refers to?
Morning headaches, particularly in the temples or wrapping around the head like a tight band (tension-type headaches), are a hallmark of sleep bruxism. For some, this muscle tension is a direct trigger for migraines. Patients often spend years seeing neurologists for headaches without anyone asking about their teeth or jaw.
Then there's the ear pain. The TMJ is right next to the ear canal. Inflammation from grinding can cause symptoms mistaken for an ear infection: fullness, ringing (tinnitus), and even dizziness in some cases.
How Bruxism Steals Your Sleep (And Energy)
This is a critical, under-discussed consequence. Bruxism is a sleep-related movement disorder. The grinding episodes often occur during micro-arousals—brief disruptions in your sleep architecture.
You might not fully wake up, but your brain is pulled out of deep, restorative sleep stages (like slow-wave sleep and REM). The result?
You sleep for 8 hours but wake up feeling unrefreshed. Daytime fatigue, brain fog, and irritability become your norm. Your bed partner's sleep is often ruined too, creating a ripple effect of poor sleep in the household.
Research from sources like the American Academy of Sleep Medicine consistently links sleep bruxism with fragmented, poorer quality sleep.
Consequences Beyond Your Mouth: The Systemic Toll
The damage doesn't stay localized. Chronic pain from your jaw and head alters your nervous system, making you more sensitive to pain elsewhere. The stress of constant discomfort and poor sleep raises cortisol levels, which can suppress immune function and contribute to systemic inflammation.
Think about it: you start with a grinding habit. It leads to tooth wear and jaw pain. The pain causes headaches and ruins sleep. The poor sleep impacts your mood, focus at work, and immune health. It's a cascade.
The Real Cost of Doing Nothing: Financial and Health Risks
Let's talk numbers, because this is where inaction hits home. Ignoring bruxism is astronomically more expensive than treating it preventatively.
A custom-made night guard from your dentist might cost a few hundred dollars. Now, compare that to the bill for fixing the damage:
- Single crown to repair a cracked tooth: $1,000 - $2,500+
- Multiple crowns or veneers to rebuild worn-down front teeth: $5,000 - $20,000+
- Root canal therapy on a fractured tooth: $1,000 - $2,000+
- TMJ disorder therapy (splints, physical therapy): $1,500 - $5,000+
And that's just money. The health cost is the chronic pain, the anxiety about your teeth breaking, the exhaustion from poor sleep, and the hit to your quality of life.
How to Stop the Damage: Effective Steps You Can Take
It's not hopeless. The first and most critical step is getting a proper diagnosis. Talk to your dentist. They can assess the wear, check your jaw joints and muscles, and often recommend a dental sleep study or refer you to a sleep specialist to understand the severity.
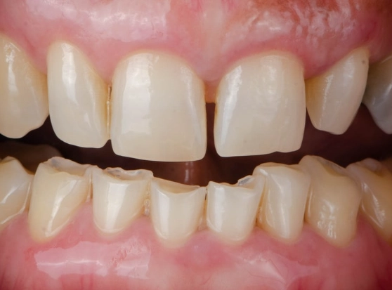
The Gold Standard: A Professional Night Guard
Forget the cheap boil-and-bite guards from the pharmacy. They're soft, can encourage more grinding, and may misalign your bite. A hard, custom-fitted occlusal splint made by your dentist is a medical device. It creates a protective barrier, distributes forces evenly, and can help reposition the jaw to reduce muscle strain. It's your first line of defense.
Addressing the Root Causes
The guard protects your teeth, but managing bruxism often requires a multi-pronged approach:
Stress Management: Since stress is a major trigger, techniques like cognitive behavioral therapy (CBT), mindfulness, or regular exercise can reduce grinding frequency.
Sleep Hygiene: Improving overall sleep quality can reduce sleep arousal-related grinding. A consistent schedule, a dark/cool room, and avoiding screens before bed help.
Physical Therapy & Biofeedback: For severe TMJ pain, physical therapy can work wonders. Biofeedback devices can train you to be aware of and reduce daytime clenching.
In some cases, if bruxism is linked to sleep apnea, treating the apnea with a CPAP device can dramatically reduce or eliminate the grinding.
The path forward is clear. Listen to the signs—the wear on your teeth, the morning aches, the fatigue. Untreated bruxism has real, progressive consequences. But with awareness and professional guidance, you can stop the damage, protect your smile, and reclaim peaceful sleep and a pain-free day.