You wake up. Your jaw feels tight, maybe even sore. A dull headache is already brewing behind your eyes. You shrug it off as stress, a bad pillow, or just one of those days. But here's what most people miss: you've likely been in a silent, nightly battle, clenching your teeth with a force that can crack walnuts. Sleep bruxism – the medical term for teeth grinding and clenching during sleep – isn't just an annoying habit. It's a destructive process that happens entirely outside your conscious control, and its effects sneak up on you.
I've seen it countless times in my practice. Patients come in confused about why a perfectly good filling fell out, or why their teeth look shorter. They had no idea they were doing it. The American Academy of Sleep Medicine notes that sleep bruxism is a common sleep-related movement disorder, but its impact is wildly underestimated until the dental bill arrives.
This guide isn't just a list of symptoms. We're going to connect the dots between that morning headache and the long-term survival of your teeth, explain why your brain tells your jaw to clench all night, and lay out a real, actionable plan to stop the damage.
What's Inside This Guide
Signs You're Clenching Your Teeth at Night (Beyond the Obvious)
Everyone knows about jaw pain. Let's talk about the clues you're probably ignoring.
The classic sign is waking up with a tender jaw, sore facial muscles, or a headache that feels like a tight band around your temples. But the body gives other signals. Do you ever find yourself, during the day, holding your teeth together without realizing it? That's a daytime carryover of the nighttime habit.
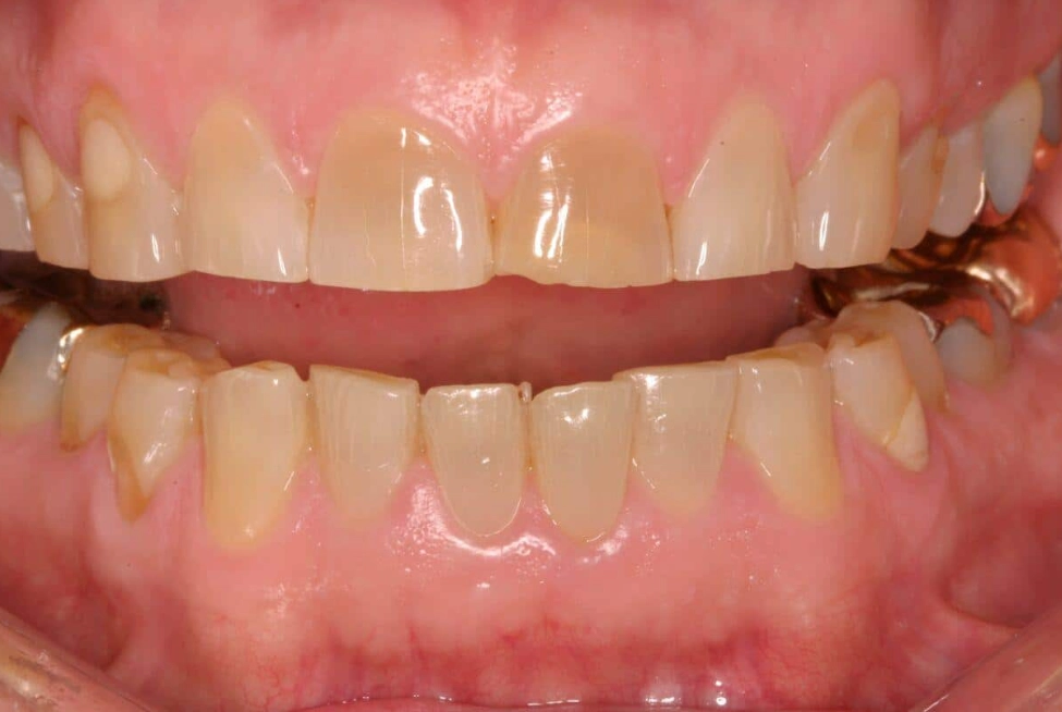
Then there are the oral signs your dentist spots immediately:
- Hyper-worn teeth: The biting surfaces of your molars look flat, not rounded. Canines, which are meant to be pointy, appear dulled.
- Craze lines: Tiny, hairline cracks in the enamel. Shine a light on your front teeth and look closely.
- Mysterious tooth sensitivity: Especially to cold, for no apparent reason. The constant pressure can inflame the tooth's nerve.
- Cheek ridging or tongue scalloping: Look inside your mouth. Do you see a raised, white line along the inside of your cheeks where your teeth press? Or indentations on the sides of your tongue? Your jaw is pushing your soft tissues against your teeth with significant force.
One patient, let's call him Mark, came to me with a complaint about a "clicking" jaw when he ate. He thought it was arthritis. Upon examination, his back teeth were so worn they'd lost their proper height, forcing his jaw joint (the TMJ) into an unstable position. The click was the joint slipping. The root cause? Decades of undiagnosed sleep clenching.
Why Do We Clench Our Teeth in Sleep? It's Not Just Stress
"It's stress" is the go-to answer, and it's a major player. But it's only part of a more complex story. If it were just stress, everyone with a demanding job would have shattered teeth. The reality is more nuanced.
Research, including studies referenced by the American Academy of Sleep Medicine, points to sleep bruxism being centrally regulated – meaning it originates from cycles of brain activity during sleep, often during micro-arousals (brief awakenings you don't remember). It's your nervous system's dysfunctional way of responding to these sleep disruptions.
Think of it like a faulty alarm system that, instead of just blinking a light, sets off a siren and calls the fire department. Your brain's arousal center gets triggered and, as part of that cascade, signals your jaw muscles to contract intensely.
Key Takeaway: Nighttime clenching is less about conscious emotion and more about your sleep architecture and nervous system reactivity. Treating it often means looking at your sleep quality as a whole.
So what triggers these micro-arousals and the clenching response?
- Sleep Disordered Breathing: This is the big one many dentists are now focusing on. Obstructive Sleep Apnea (OSA) or even Upper Airway Resistance Syndrome (UARS) cause repeated breathing disruptions. Your brain, fighting for air, triggers a clench. It's a primitive reflex – clenching the jaw can help stiffen and open the airway slightly. In this case, bruxism is a symptom, not the primary disease. Treat the apnea, and the clenching often improves dramatically.
- Genetics and Neurochemistry: It tends to run in families. Imbalances in neurotransmitters like dopamine may play a role.
- Medications & Substances: Certain SSRIs (a class of antidepressants), stimulants, and even heavy caffeine or alcohol use can exacerbate it.
- And yes, Stress & Anxiety: Daytime psychological stress increases overall nervous system arousal, which can spill over into your sleep and amplify the clenching reflex.
Ignoring the "why" and just slapping on a night guard is like putting a bandage on a wound that keeps getting reopened. You have to find the source of the pressure.
The Slow-Motion Wreckage: Long-Term Effects on Teeth & Jaw
Let's talk about force. The average chewing force is about 20-40 pounds per square inch (PSI). During sleep clenching, that force can skyrocket to over 250 PSI. Now imagine applying that pressure, night after night, for years, to structures not designed for it.
The damage is cumulative and expensive.
| What Gets Damaged | What It Looks/Feels Like | The Long-Term Cost (Literally) |
|---|---|---|
| Your Teeth | Shortened teeth, severe flattening, chips, fractures (from craze lines to cracks that split the tooth in half), loss of dental work (fillings, crowns). | Major restorative work: multiple crowns, veneers, or even root canals and extractions for cracked teeth. This can run into tens of thousands of dollars. |
| Your Jaw Joints (TMJs) | Pain, clicking, popping, locking, limited mouth opening. Aching in front of the ears. | Chronic pain management, physical therapy, complex orthopedic appliances, potentially surgery for advanced disorders. |
| Your Muscles | Hypertrophy (enlargement) of the masseter muscles, leading to a squared, "jowly" jawline. Constant muscle tension leading to myofascial pain. | Botox injections to relax muscles, ongoing physical therapy, chronic pain medications. |
| Your Sleep & Life | Fragmented, unrefreshing sleep from constant micro-arousals. Morning headaches that ruin productivity. | Reduced quality of life, reliance on painkillers, decreased work performance. |
The most frustrating cases I see are the "dental mysteries." A patient has a perfectly done crown that fails after two years. Another has unexplained pain in a tooth that tests healthy on X-rays. Nine times out of ten, when we dig deeper, sleep bruxism is the hidden culprit, undoing good dental work from the inside out.
How to Stop Clenching: From Dentist Interventions to Bedroom Habits
There's no magic pill, but there is a strategic approach. Think of it as a multi-layered defense.
Layer 1: The Dental Foundation – Occlusal Guards
This is the first line of physical defense. But not all mouthguards are created equal.
Avoid the Drugstore Trap: Over-the-counter "boil-and-bite" athletic guards are dangerous for bruxism. They're soft, thick, and can actually encourage your jaw to clench and grind more vigorously, like chewing gum all night. They also don't provide a precise, stable bite, which can strain your jaw joints.
You need a custom, hard acrylic occlusal guard made by your dentist. A good one is designed to do two things: provide a smooth, hard barrier that distributes the destructive forces evenly across all teeth, and position your jaw in a slightly forward and relaxed posture to reduce muscle activity. It's a medical device, not a sports accessory. Expect to pay a few hundred dollars, but it will save you thousands in dental repairs.
Layer 2: Investigate Your Sleep
If you snore, gasp for air, or your partner notices you stop breathing, talk to your doctor about a sleep study. Treating underlying sleep apnea with a CPAP machine or oral appliance can be the single most effective thing you do to stop clenching. It addresses the root neurological trigger.
Layer 3: Daytime & Bedtime Habits
This is about reducing the overall tension load on your system.
- Jaw Position Awareness: Practice the "lips together, teeth apart" posture throughout the day. Your teeth should only touch briefly when swallowing.
- Pre-Sleep Ritual: No screens 60 minutes before bed. Try gentle jaw stretches: open slowly, hold for 5 seconds, close slowly. Repeat 5 times.
- Massage: Use your fingers to massage the tight muscles in your temples and along your jawline.
- Hydration & Nutrition: Dehydration increases muscle cramping. Magnesium deficiency is linked to muscle spasms; consider foods like spinach, almonds, or a supplement after consulting your doctor.
- Stress Management (The Real Kind): Not just "try to relax." Schedule 20 minutes of a non-negotiable de-stressor: a walk, deep breathing (4-7-8 technique works well), or listening to calming music.
For some with severe muscle hyperactivity, treatments like Botox injections into the masseter muscles can be a game-changer. It temporarily reduces the muscle's ability to contract with full force, breaking the cycle of pain and clenching. It's not a cure, but a powerful tool when used as part of a comprehensive plan.
Your Top Questions on Nighttime Clenching Answered

The journey to quieter nights and a healthier smile starts with recognizing the signs. Don't dismiss that morning ache. Talk to your dentist. Be your own advocate and ask about the state of your enamel and the possibility of a sleep connection. The goal isn't just to stop the clenching; it's to protect the foundation of your oral health for decades to come. Your future self, free of headaches and expensive dental repairs, will thank you.