Quick Navigation
- What Exactly Is a Periapical Abscess? (The "What" Before the "How Serious")
- Breaking Down the Seriousness: From Local Trouble to Systemic Threat
- Symptoms: Your Body's Red Alert Sirens
- Treatment: How Do You Stop This Serious Problem?
- Common Questions (The Stuff You're Actually Searching For)
- Prevention: It's Cheaper and Less Painful
Let's cut to the chase. You're probably here because you typed "how serious is a periapical abscess?" into Google, feeling a mix of pain in your jaw and worry in your gut. Maybe you've got a throbbing tooth, or a weird bump on your gum that's tender to the touch. You're looking for a straight answer, not a bunch of medical jargon that leaves you more confused.
Well, here it is: a periapical abscess is a serious dental emergency. I don't say that to scare you, but because minimizing it is what leads people down a really bad path. It's not just a "toothache" you can ignore with over-the-counter painkillers. It's an active, spreading infection at the very tip of your tooth's root, and it has absolutely nowhere to go but into the surrounding bone and tissue. Think of it like a small but very angry fire that's started in the foundation of your house. Ignoring it doesn't put it out; it just lets it burn through the walls.
What Exactly Is a Periapical Abscess? (The "What" Before the "How Serious")
To understand the seriousness, you need to know what you're dealing with. A periapical abscess is a pocket of pus caused by a bacterial infection. The word "periapical" literally means "around the apex"—the apex being the very tip of your tooth's root, deep in your jawbone.
How does it get there? It almost always starts with tooth decay. A cavity isn't just a hole; it's a highway for bacteria. They chew through the hard enamel, then the softer dentin beneath, and finally break into the pulp chamber. The pulp is the tooth's living core—full of nerves, blood vessels, and connective tissue. When bacteria invade this space, it's called pulpitis (inflammation of the pulp).
At this stage, you might feel a sharp pain with hot or cold. But if left alone, the infection wins. The pulp tissue dies (becomes necrotic). The bacteria don't stop there. They travel down the tiny canals inside the tooth's roots and exit through the tip, setting up shop in the jawbone. Your body sends immune cells to fight, resulting in a battle that creates pus—a thick fluid of dead tissue, bacteria, and white blood cells. That collection of pus is the abscess.
Other less common ways it can start include a traumatic injury to a tooth that damages the pulp, or sometimes as a complication of a large filling or other dental work.
Breaking Down the Seriousness: From Local Trouble to Systemic Threat
So, how serious is a periapical abscess? Let's break it down into stages, from the localized problem to the scary systemic possibilities. This progression shows why time is not on your side.
Stage 1: The Local Damage (Your Tooth and Jawbone)
Even if the infection stays put (which it rarely does forever), it's causing havoc right where it is.
- Bone Destruction: The infection and inflammatory process literally eat away at the alveolar bone—the bone that holds your tooth in place. This is called periapical osteitis or rarefying osteitis. You can't feel this happening, but on an X-ray, it shows up as a dark shadow around the root tip. Too much bone loss, and you lose the tooth entirely, even if the infection is later cleared.
- Tooth Loss: This is the direct consequence of significant bone loss. The tooth becomes loose and eventually non-restorable.
- Sinus Involvement: For upper back teeth, the roots are very close to the maxillary sinus. The infection can easily erode through the thin bone and cause a sinus infection (sinusitis of dental origin). This leads to persistent sinus pressure, congestion, and pain that antibiotics alone won't fix because the source is the tooth.
Stage 2: The Infection Spreads (Into Soft Tissues)
This is when things become visibly alarming and painful. The pus needs an escape route, so it burrows through the bone, seeking the path of least resistance.
- Cellulitis: This is a diffuse, painful swelling of the soft tissues in your face and neck. Your cheek, jaw, under your chin, or even your eye area can become hard, red, hot, and incredibly swollen. It can make it difficult to open your mouth or swallow.
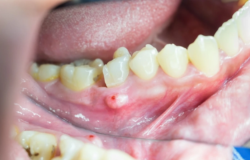
- The "Gum Boil" (Parulis): Often, the pus drains through the bone and creates a fistula—a small tunnel—that opens on the gum near the root of the tooth. You'll see a pimple-like bump that may drain a bad-tasting fluid, providing temporary pain relief. Don't be fooled! The source infection is still active inside. This is just a pressure valve.
- Space Infections: This is a major escalation. The fascial spaces are potential gaps between the layers of tissue in the head and neck. An abscess can spread into these spaces, creating large, dangerous collections of pus. Names like "submandibular space infection" or "Ludwig's angina" (a bilateral infection of the floor of the mouth) are dental emergencies that can rapidly compromise your airway, requiring immediate hospitalization and surgical drainage.
Stage 3: The Systemic Threat (When It Becomes Life-Threatening)
This is the worst-case scenario that answers the question "how serious is a periapical abscess" in the most stark terms. Bacteria from the abscess enter the bloodstream.
- Sepsis (Blood Poisoning): This is a body-wide, dysregulated, and often deadly response to an infection. It's a medical emergency characterized by high fever, rapid heart rate, rapid breathing, confusion, and low blood pressure. A dental abscess is a recognized, though not the most common, source of sepsis.
- Endocarditis: Bacteria in the bloodstream can travel to the heart and infect the inner lining (endocardium) or heart valves. This is particularly risky for people with pre-existing heart conditions, artificial valves, or other cardiac hardware.
- Brain Abscess or Cavernous Sinus Thrombosis: In very rare cases, the infection can spread upwards through venous pathways and lead to a blood clot in the cavernous sinus (a vein at the base of the brain) or cause an abscess within the brain itself. The mortality rate for these conditions, while lowered with modern medicine, remains significant.
The progression from a toothache to a life-threatening condition isn't common for most people who seek timely care, but it is a documented, real pathway. The Mayo Clinic clearly lists these severe complications, emphasizing that an abscess "won't go away without treatment."
Symptoms: Your Body's Red Alert Sirens
Knowing the symptoms is key to understanding the seriousness in a personal way. They often come in a cluster:
| Symptom | What It Feels Like | Why It Happens |
|---|---|---|
| Throbbing, Constant Toothache | A deep, pounding pain that may radiate to your jaw, neck, or ear. Often worse when lying down. | Pressure from pus building up inside the rigid bone, with no room to expand. |
| Pain with Chewing or Pressure | A sharp, intense pain when you bite down on the tooth. | The infection has spread to the ligament surrounding the tooth, making it hypersensitive to pressure. |
| Swelling in Face, Cheek, or Jaw | Visible swelling that may be warm and red to the touch. | The infection has breached the bone and is now inflaming the soft tissues (cellulitis). |
| Sensitivity to Hot and Cold | A sharp, lingering pain after exposure, especially to cold. | Inflammation or death of the pulp tissue (may be an early sign). |
| Fever | An elevated body temperature. | Your body's systemic response to fight a significant infection. |
| Tender, Swollen Lymph Nodes | Lumps under your jaw or in your neck that are sore. | Your lymphatic system is filtering and fighting the infection. |
| Foul Taste/Smell & Draining Sore | A sudden rush of salty, foul fluid in your mouth, sometimes with pain relief. | A fistula has opened and the abscess is draining pus. |
If you have swelling in your face and a fever, consider that a one-two punch signaling a spreading infection that needs immediate dental or emergency room attention.
Treatment: How Do You Stop This Serious Problem?
Treatment isn't optional; it's mandatory. The goal is to eliminate the infection, preserve the tooth if possible, and prevent complications. The path depends on the tooth's condition and the extent of the infection.
- Drainage: The first step is often to release the pus to relieve pressure and pain. This can be done through the tooth itself (during a root canal) or by making a small incision in the gum.
- Root Canal Treatment: This is the standard, tooth-preserving treatment for a periapical abscess. The dentist or endodontist removes the infected or dead pulp tissue, cleans and disinfects the entire root canal system, and then fills and seals it. This removes the source of the infection. A crown is usually needed afterward to protect the now-weakened tooth. The American Association of Endodontists has excellent patient resources explaining this process.
- Tooth Extraction: If the tooth is too damaged to save (severe fracture, massive decay destroying the structure, extreme bone loss), removal is the only option. The abscess will drain through the socket, and the infection will resolve once the source is gone.
- Antibiotics: This is a big one where there's confusion. Antibiotics alone cannot cure a periapical abscess. Why? Because the source of the infection—the dead tissue and bacteria inside the tooth—has no blood supply. Antibiotics circulating in your blood can't reach it effectively. They are used adjunctively to help control a spreading infection (like cellulitis) or in patients with compromised immune systems, but they are not the primary treatment. The definitive treatment is physical removal of the source via root canal or extraction.
- Apicoectomy: If a root canal fails and the infection persists or returns at the root tip, this minor surgical procedure may be needed. The endodontist makes a small incision in the gum, removes the infected tip of the root, and seals the end of the root canal.
Common Questions (The Stuff You're Actually Searching For)

Prevention: It's Cheaper and Less Painful
Since we've established exactly how serious a periapical abscess is, prevention is worth its weight in gold.
- Relentless Oral Hygiene: Brushing twice daily with fluoride toothpaste and flossing once a day is non-negotiable. It prevents the cavities that start this whole chain reaction.
- Regular Dental Check-ups: See your dentist every six months, or as they recommend. They catch tiny cavities long before they become abscesses. X-rays can spot early bone changes from an infection you can't even feel yet.
- Don't Ignore Tooth Pain or Sensitivity: That twinge with ice cream or ache after coffee is a signal. Get it checked. A small filling is infinitely better than a root canal.
- Wear a Mouthguard: If you play sports or grind your teeth at night (bruxism), protect your teeth from trauma that can damage the pulp.
- Address Dental Work Issues: If a filling cracks or a crown feels loose, don't wait. It's a new entry point for bacteria.
Look, dental anxiety is real. The cost is intimidating. I get it. But weighing the temporary stress of a dental visit against the very real, documented, and potentially severe consequences of an untreated periapical abscess should make the choice clear.
The final verdict on "how serious is a periapical abscess?" is this: It's a contained infection that is actively trying to become uncontained. Your job is to not let it. The seriousness is dictated entirely by the time between diagnosis and treatment. That time should be as short as humanly possible.
If you're reading this with symptoms, please stop reading and start calling dentists. Seriously.