That zing. That sharp, lightning-fast jolt when your ice cream touches a specific tooth, or when you take that first sip of morning coffee. You're not imagining it, and you're definitely not alone. Tooth sensitivity affects millions, but here's the thing most people miss: it's rarely the starting point. It's almost always a symptom, a distress signal from a deeper problem. In the vast majority of cases, that problem is enamel erosion.
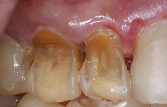
Think of your tooth enamel as the bodyguard of your tooth. It's the hardest substance in your body, a brilliant shield against everything you eat and drink. But it has one critical weakness: acid. When enamel erodes, it doesn't grow back. It thins, it wears away, and underneath lies the dentin—a porous layer full of microscopic tubes that lead directly to the tooth's nerve center. No more shield. Every hot, cold, sweet, or acidic trigger now has a direct highway to pain.
I've seen patients for years who were convinced they just had "weak teeth." They'd switch to a "sensitive" toothpaste and hope for the best, never addressing the silent erosion happening daily. Let's change that. This guide isn't just about describing the problem; it's a map to identifying your personal erosion sources and building a defense plan that actually works.
What You'll Learn in This Guide
The Everyday Acid Attack You Didn't See Coming
We blame sugar for cavities, but acid is the villain for enamel wear. Every time your mouth's pH drops below 5.5, your enamel starts to demineralize—it softens and dissolves at a microscopic level. Saliva usually neutralizes this and helps remineralize the tooth. But if acid attacks are too frequent, saliva can't keep up. The damage becomes permanent.
The biggest mistake? Assuming only "bad" foods like soda are the issue. The list is broader and more insidious.
| Common Culprit | Approx. pH Level | Why It's Sneaky |
|---|---|---|
| Sparkling Water / Seltzer | 4.0 - 5.0 | Feels "healthy," but carbonation creates carbonic acid. Drinking it all day is a constant acid bath. |
| Fresh Lemon or Lime Juice | 2.0 - 3.0 | Extremely acidic. Adding it to water and sipping for hours is one of the most damaging habits I see. |
| Sports & Energy Drinks | 3.0 - 4.0 | Often more acidic than soda. The citric acid and phosphoric acid are brutal on enamel. |
| Wine (Both Red & White) | 3.0 - 4.0 | White wine is typically more acidic. The slow sipping pattern prolongs exposure. |
| Fruit Teas & Herbal Teas | 3.0 - 4.0 | Surprisingly acidic due to fruit components like hibiscus or rosehip. Not the harmless drink many think. |
| Vinegar-based Foods | 2.0 - 3.5 | Salad dressings, pickles, hot sauce. A daily salad with vinaigrette is a consistent acid source. |
It's not about never having these things. It's about how you have them. Sipping a acidic drink over 90 minutes is far worse than drinking it in 10 minutes with a meal. The mouth never gets a break to return to a safe pH.
Beyond Diet: The Sneaky Causes of Enamel Loss
If you're thinking "but I don't drink soda," don't relax yet. Erosion has other pathways.
1. The Brushing Blunder
This is a huge one. Brushing immediately after eating or drinking something acidic is like scrubbing softened stone. The enamel is in a demineralized, soft state. Wait at least 30-60 minutes. Let your saliva do its neutralization and remineralization work first. Also, check your toothpaste. Some whitening or "tartar control" formulas can be more abrasive. A soft-bristled brush is non-negotiable.
2. Acid Reflux (GERD) and Silent Reflux
This is a major, often overlooked cause. Stomach acid is extremely strong (pH ~1.5-2.0). If it washes into your mouth regularly—whether you feel heartburn or not (that's "silent reflux")—it erodes enamel from the inside, often on the back surfaces of upper teeth. Waking up with a sour taste is a big red flag.
3. Dry Mouth (Xerostomia)
Saliva is your mouth's natural repair kit. It neutralizes acid and delivers minerals back to enamel. Medications (for allergies, blood pressure, anxiety), certain health conditions, or simply mouth-breathing can reduce saliva flow. Less saliva means less protection and a slower repair process.
4. Grinding and Clenching (Bruxism)
This doesn't chemically erode enamel, but it physically wears it down at an alarming rate. People who grind often have flat, shiny facets on their teeth. This mechanical wear thins the enamel dramatically, exposing dentin and causing massive sensitivity. It often happens at night, so you might be unaware.
How to Stop Enamel Erosion (Actionable Steps)
Knowledge is useless without action. Here’s your defense protocol.
Rethink Your Drinking Habits:
- Use a straw for acidic drinks. It directs the liquid past your teeth.
- Don't swish or hold acidic drinks in your mouth. Swallow promptly.
- Pair acidic foods or drinks with a meal. Other foods help neutralize and increase saliva.
- Follow an acidic drink with a chaser of plain water or milk to help rinse and neutralize.
Optimize Your Oral Care Timing: This is critical. Your brushing schedule matters more than you think.
- Brush before breakfast, not after your orange juice or coffee.
- If you must brush after eating/drinking acid, wait a full hour.
- Chew sugar-free gum with xylitol after meals. It stimulates protective saliva flow.
Choose and Use the Right Products:
- Switch to a fluoride toothpaste designed for sensitivity (like Sensodyne Pronamel or Colgate Sensitive). These have higher fluoride levels and potassium nitrate to help block pain signals.
- Ask your dentist about a prescription-strength fluoride gel or toothpaste (like Prevident 5000). This is a game-changer for rebuilding mineral content.
- Use an alcohol-free mouthwash. Alcohol can be drying. Look for one with fluoride.
- Consider a toothpaste with nano-hydroxyapatite. It's a biomimetic mineral that can effectively remineralize enamel. Studies, including one published in the Journal of Dental Research, show its efficacy. It's a fantastic alternative if you prefer fluoride-free options.
Address the Medical Causes:
- If you suspect reflux, see a doctor. Managing it protects your esophagus and your teeth.
- Discuss dry mouth with your dentist or doctor. They might recommend saliva substitutes or medication adjustments.
- If you grind, get a custom night guard from your dentist. The over-the-counter boil-and-bite ones often make clenching worse by encouraging your jaw to bite down on them.
Fixing the Sensitivity: From Quick Relief to Long-Term Repair
Stopping further damage is step one. Dealing with the existing sensitivity is step two.
The Quick Fixes (Manage the Symptom): Sensitivity toothpastes with potassium nitrate or stannous fluoride can take 2-4 weeks of twice-daily use to build up full effect. They work by either blocking the tubules in the dentin or calming the nerve. Be patient and consistent.
The Professional Repairs (Fix the Cause): When erosion has created significant loss, toothpaste isn't enough. Your dentist has tools:
- Fluoride Varnish: A high-concentration coating applied in-office that adheres to teeth for hours, supercharging remineralization.
- Dental Bonding: A tooth-colored resin can be applied to cover exposed dentin on worn areas, like the "notches" that often form near the gumline. It's a direct physical barrier.
- Veneers or Crowns: For severe erosion that has compromised the tooth's structure or appearance, these restorations can completely cover and protect the tooth.
The goal is to move from simply managing pain to actively rebuilding and protecting the tooth structure. That's the path to making sensitivity a thing of the past.