You've just had a root canal. The throbbing pain is gone, and you're relieved. But then your dentist starts talking about a crown, and the price tag makes you pause. A question pops into your head: "What's the big deal? Can't I just leave it as is? What does a root canal tooth even look like without a crown?"
Let me be direct: leaving a root canal tooth without a crown is like driving a car without insurance. It might seem fine for a while, but the risk of a catastrophic failure is high. I've seen too many patients in my chair who thought they could skip this step, only to face a much bigger, more expensive problem later. The visual appearance is just the tip of the iceberg.
In This Article, You'll Discover:
The Visual Reality: A Picture of Vulnerability
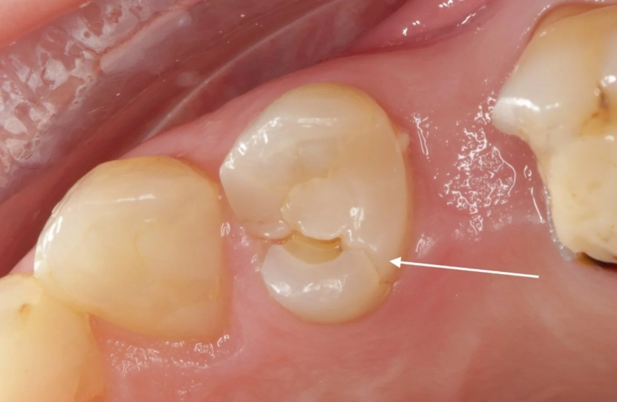
So, what does it actually look like? After a root canal, the tooth itself is technically "dead." It's no longer vital. The dentist removes the infected pulp from inside, cleans the canals, and fills them with a rubber-like material called gutta-percha. The outside of the tooth is then sealed with a temporary filling or a permanent filling in the access hole they drilled.
From the outside, to the untrained eye, it might just look like a tooth with a large silver (amalgam) or tooth-colored (composite) filling. If it's a back molar, you might not even see it clearly. But here’s what you're not seeing:
- A Compromised Structure: The access cavity weakens the tooth. Think of it like a wooden door with a big hole drilled in it and then patched. It's not as strong as it was.
- Discoloration: Over time, often within months to a couple of years, the tooth can start to darken. It might turn grey, yellow, or brown. This happens because the dentin inside the tooth loses its blood supply and can absorb stains or simply change color. It's a slow process, but it's common.
- The Filling Itself: That filling, even a permanent one, is not a monolithic shield. It's bonded to the remaining tooth walls. Under the intense pressure of chewing, those walls can flex. A filling doesn't hold the tooth together; it just fills a hole.
Why a Crown Isn't Optional: The Science Behind the Protection
This is the part most patients underestimate. The need for a crown isn't about aesthetics first; it's about biomechanics. According to the American Association of Endodontists, a crown is recommended for most back teeth (molars and premolars) after a root canal to restore function and prevent fracture. Front teeth sometimes can get by with just a filling if the cavity was small, but even then, it's a risk assessment.
Here’s the breakdown of what a crown does that a filling simply cannot:
| Function | With a Filling Only | With a Crown |
|---|---|---|
| Structural Support | Minimal. Filling material sits in the tooth. | Maximum. The crown encases the entire tooth like a helmet, holding all remaining parts together. |
| Chewing Force Distribution | Force concentrates on the thin remaining walls, leading to stress points. | Force is evenly distributed across the entire surface of the crown and down the tooth. |
| Seal Against Bacteria | Marginal seal can degrade over years, allowing micro-leakage. | Provides a robust, long-term seal at the gum line, protecting the root canal work from new infection. |
| Prevention of Fracture | High risk. The tooth is brittle and dry. | Dramatically reduced risk. The crown absorbs the impact. |
I had a patient, Mark, who was adamant about not getting a crown on his root-canaled first molar. He said it felt fine. Two years later, he bit down on a piece of granola and felt a crack. The tooth split vertically, right down the middle. The fracture went below the gum line. We couldn't save it. The result was an extraction and a dental implant, which cost him over three times what the crown would have. That's the real-world consequence.
The Hidden Change: Your Tooth is Now Brittle
A vital tooth has about 10% moisture content. After a root canal, that moisture is gone. The tooth structure becomes drier and more brittle, similar to dead wood versus living wood. It loses its natural flexibility. This is a critical, invisible change that makes it supremely susceptible to cracks from normal chewing forces.
What Happens If You Delay or Skip the Crown?
Let's walk through the timeline of a root-canaled tooth left unprotected. This isn't to scare you, but to inform you. Knowledge is power.
Short Term (0-6 months): Everything seems fine. The tooth might feel a bit different, maybe "not quite mine," but there's no pain. The temporary filling might wear down or fall out, which is a big red flag for immediate bacterial invasion.
Medium Term (6 months - 2 years): This is the danger zone where complacency sets in. The tooth may start to discolor. You might notice a small chip on the filling or the tooth edge. The most common event, however, is the cusp fracture. A part of the tooth's chewing surface breaks off. Sometimes it's painless; sometimes it causes sensitivity. This is your last, best warning sign before a catastrophic failure.
Long Term (2+ years): The risk compounds. The filling's seal deteriorates. Bacteria seep in, potentially causing a new infection at the tip of the root. Or, the tooth sustains a vertical root fracture. This is the worst-case scenario. The crack runs down the length of the root, usually making the tooth unsalvageable. The treatment options then shrink to extraction followed by a bridge, implant, or partial denture.
Are There Any Alternatives to a Traditional Crown?
Sometimes. The decision depends on the amount of remaining tooth structure, the tooth's location, and your bite. A full-coverage crown is the gold standard, but here are other restorative options your dentist might consider:
- Onlay or 3/4 Crown: This is a more conservative option than a full crown. It covers the chewing surface and one or more cusps of the tooth but doesn't wrap around the entire tooth. It's a good middle ground when the tooth walls are reasonably strong.
- Permanent Composite Filling: As mentioned, this is sometimes an option for front teeth (incisors and canines) that don't endure heavy chewing forces. The key is that the original decay or access cavity was minimal. Even then, I often advise patients that it's a "wait and see" approach with a higher long-term risk of fracture or discoloration compared to a crown.
- Fiber Post & Core Buildup + Crown: This isn't an alternative to a crown; it's often a necessary precursor. If a lot of the tooth is missing, the dentist will place a post inside the root canal to anchor a core material (like composite), which rebuilds the tooth's shape. Then a crown is placed over that. The post doesn't strengthen the tooth; it just retains the core. The crown still does the protective work.
The bottom line? Have a detailed conversation with your dentist or endodontist. Ask, "Based on the size of the cavity and the forces on this tooth, what is the minimum restoration you would feel comfortable with for a 10-year prognosis?" Their answer will be telling.
Your Questions Answered: The Unprotected Root Canal Tooth
Looking at a root-canaled tooth without a crown, you might see just a tooth. But understanding what you're looking at—a brittle, compromised structure at high risk—changes everything. The crown isn't an upsell; it's the final, essential step in a successful root canal treatment. It's the insurance policy that protects your time, your comfort, and your wallet. Don't let the short-term cost talk you out of a long-term solution. Talk to your dentist, understand the specific risks for your tooth, and make the choice that gives your smile the best chance to last.