That deep, throbbing pain in your tooth isn't just a nuisance. It's a warning sign. If you're lying awake at night feeling a heartbeat in your jaw, or you notice a strange pimple on your gum, you might be dealing with a root canal abscess. It's a serious dental infection that won't go away on its own. I've seen too many patients try to tough it out, only to end up in the emergency room. Let's cut through the confusion and fear. This guide walks you through exactly what a root canal abscess is, how it's treated, and what you can realistically expect in terms of pain, cost, and recovery.
What's Inside This Guide
What Exactly is a Root Canal Abscess?
Think of your tooth as a small, sealed house. The living room (the pulp chamber) houses nerves and blood vessels. Long hallways (the root canals) lead down into the foundation (your jawbone). A root canal abscess happens when bacteria invade this house, usually through a deep cavity or a crack. The pulp inside dies, becomes infected, and the body's immune response creates pus. This pus has nowhere to go, so it builds up at the tip of the root, forming a painful abscess.
It's not a surface problem. You can't rinse it away. The infection is locked inside the tooth's structure and the surrounding bone.
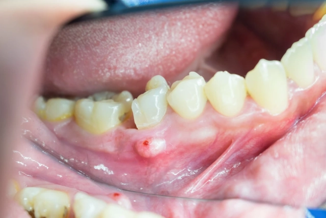
Symptoms and Signs You Can't Ignore
The symptoms often start subtle and escalate. Here’s what patients typically report, in order of increasing urgency:
- A persistent, throbbing toothache that doesn't quit, often worse when you lie down or chew.
- Temperature sensitivity that lingers long after the hot coffee or ice cream is gone.
- Swelling in your gums near the tooth, which may feel tender or look like a small, red bump.
- A foul or salty taste in your mouth, which is pus draining from the abscess.
- Swelling in your face or jaw. This is a major red flag.
- A visibly broken or darkened tooth.
I had a patient, let's call him Mark, who felt a "small bump" on his gum for weeks. He ignored it because it didn't hurt much. When he finally came in, the infection had eroded a significant portion of his jawbone. Don't be like Mark. Swelling means the infection is spreading beyond the tooth.
Your Treatment Options: Root Canal vs. Extraction
You have two main paths, and the choice isn't always straightforward.
| Option | What It Is | Best For | Long-Term Consideration |
|---|---|---|---|
| Root Canal Therapy | Removing infected pulp, cleaning the canals, sealing the tooth, and usually capping it with a crown. | Saving your natural tooth. Teeth with enough healthy structure left. | Preserves your bite and jawbone. Requires a crown (extra cost) for protection. |
| Tooth Extraction | Removing the entire tooth from the socket. | Teeth too damaged or broken to save. Significantly lower upfront cost. | Creates a gap. Neighbor teeth can shift, bite can change. Requires an implant, bridge, or partial denture to fill space. |
The American Association of Endodontists strongly advocates for saving your natural tooth whenever possible. An implant is a great replacement, but it's a replacement. Nothing functions quite like your original tooth.
Here's a non-consensus point: The decision often hinges on the skill of your dentist. A general dentist might see a complex, curved canal system and recommend extraction. An endodontist (a root canal specialist) with a surgical microscope might see a savable tooth. Always get a second opinion from an endodontist before agreeing to an extraction for a rear tooth.
Inside the Procedure: What Really Happens
Let's demystify the root canal process for an abscessed tooth. It's usually 1-2 appointments.
Step 1: Access. A small opening is made in the top of the tooth to reach the pulp chamber.
Step 2: Cleaning. This is the core of the procedure. Tiny files are used to remove the dead, infected pulp tissue and bacteria from the pulp chamber and root canals. The canals are then disinfected. This step relieves the pressure causing your pain.
Step 3: Shaping and Filling. The cleaned canals are shaped and filled with a biocompatible material called gutta-percha to seal them.
Step 4: Temporary Seal. A temporary filling closes the opening. You might get a prescription for antibiotics if the infection was severe and spreading.
Step 5: The Crown. A few weeks later, you return to your general dentist. They prepare the tooth and take an impression for your permanent crown, which is cemented on at a final appointment.
Why the Crown is Non-Negotiable
After a root canal, the tooth is essentially dead and dry. It becomes brittle, like dead wood. A back tooth withstands enormous chewing forces. Without a crown acting as a protective helmet, it's very likely to crack, often vertically. A vertical crack usually means the tooth is lost. The crown isn't cosmetic; it's structural protection for your investment.
Managing Pain and Navigating Recovery
The pain before the procedure is from infection and pressure. The pain after is from inflammation caused by the cleaning process—it's a healing pain.
Post-procedure, it's normal to have some tenderness for a few days, especially when biting. Your dentist will recommend over-the-counter pain relievers like ibuprofen. Stick to softer foods. Avoid chewing on that side until the crown is placed.
If you have severe pain, swelling, or a reaction to the medication 3-4 days later, call your dentist. That's not normal healing.
Cost, Insurance, and Making It Affordable
Costs vary wildly by location, tooth complexity, and who performs it. As a rough guide:
- Root Canal (by a general dentist): $700 - $1,200 for a front tooth, $900 - $1,500 for a molar.
- Root Canal (by an endodontist): Can be 30-50% more, but they handle complex cases.
- Dental Crown: $1,000 - $1,500+ per crown.
Most dental insurance plans cover 50-80% of root canal therapy and 50% of crowns, often after a deductible. Always get a pre-treatment estimate. Many dental offices offer payment plans or work with third-party healthcare financiers like CareCredit. Don't let cost alone force you into an extraction you might regret later.