Let's cut to the chase: tooth filing, or getting a dental filling, is one of those things most people dread but often need. I've been in dentistry for over a decade, and I've seen how a simple filling can save a tooth from extraction. This guide will walk you through everything—types, costs, the procedure, and recovery—so you can make informed decisions without the anxiety.
What's Covered in This Guide
What Is Tooth Filing and When Is It Needed?
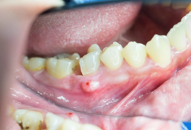
Tooth filing is the process of removing decayed tooth material and filling the cavity with a restorative material. It's not just about fixing holes; it's about preventing further damage. You might need a filling if you have symptoms like tooth sensitivity to hot or cold, visible pits or dark spots, or pain when chewing. But here's something many patients miss: early cavities can be asymptomatic. That's why regular check-ups are crucial—I've caught countless cavities during routine cleanings before they caused pain.
Diagnosis usually involves a visual exam, probing with dental tools, and sometimes X-rays. The American Dental Association recommends X-rays every 1-2 years for adults, depending on risk factors. If your dentist spots decay, they'll discuss filling options. Ignoring it can lead to root canals or extractions, which are costlier and more invasive.
Signs You Might Need a Filling
Look out for these: persistent toothache, sensitivity that lingers, floss that shreds between teeth (indicating a rough edge), or a noticeable chip. A friend of mine ignored a tiny chip, and within months, it turned into a cavity requiring a large filling. Don't wait for pain—it's often a late sign.
Types of Dental Fillings: A Detailed Comparison
Choosing a filling material isn't one-size-fits-all. It depends on location, budget, aesthetics, and durability. Here's a breakdown based on my clinical experience.
td>Tooth-colored, bonds well, less drilling| Type | Material | Pros | Cons | Average Cost (per tooth) | Best For |
|---|---|---|---|---|---|
| Composite Resin | Plastic and glass mixture | Less durable, may stain over time | $150 - $300 | Front teeth, small cavities | |
| Amalgam | Silver, mercury, other metals | Very durable, cost-effective | Visible, contains mercury (debated safety) | $100 - $200 | Back teeth, budget option |
| Ceramic | Porcelain | Natural look, stain-resistant | Expensive, may require multiple visits | $300 - $600 | Aesthetic concerns, larger restorations |
| Gold | Gold alloy | Extremely durable, biocompatible | Very expensive, noticeable | $500 - $1000+ | Long-term investment, back teeth |
Composite resins are popular for their aesthetics, but I've seen them fail prematurely in molars due to wear—a nuance some dentists overlook. Amalgam gets a bad rap, but for non-visible areas, it's a workhorse. Ceramic fillings, like inlays, offer a great balance but require precise fitting. Gold? It's niche but lasts decades if you don't mind the look.
How to Choose the Right Filling
Consider these factors: cavity size (large ones need stronger materials), tooth location (back teeth endure more force), allergy history (some people react to metals), and your budget. Insurance often covers amalgam and composite partially, but check your plan. I always advise patients to think long-term: a cheaper filling might need replacement sooner, costing more over time.
The Tooth Filing Procedure: Step-by-Step
Worried about the drill? Let's demystify the process. A typical filling takes 30-60 minutes, depending on complexity.
Step 1: Numbing the area. Your dentist applies a topical gel, then injects local anesthesia. You'll feel a pinch, but it fades quickly. If you're anxious, ask about nitrous oxide (laughing gas)—it helps many of my patients relax.
Step 2: Removing decay. Using a drill or laser, the dentist removes the decayed part. Lasers are quieter and less invasive, but not all clinics have them. The goal is to preserve healthy tooth structure.
Step 3: Cleaning and prepping. The cavity is cleaned with an antiseptic to kill bacteria. For composite fillings, an etching gel is applied to help bonding.
Step 4: Placing the filling. The material is layered in and shaped. For composite, a curing light hardens each layer. Amalgam is packed in and sets over hours.
Step 5: Polishing and bite check. The dentist trims excess, polishes for smoothness, and checks your bite with articulating paper. A high spot can cause discomfort—speak up if it feels odd.
I recall a patient who didn't mention a slight unevenness post-filling; it led to jaw pain later. Always give feedback during the appointment.
Cost of Tooth Filing: Insurance and Payment Tips
Costs vary widely by location and material. In the U.S., without insurance, a single filling can range from $100 to over $600. Insurance typically covers 50-80% of preventive care, but check your deductible. Many plans have annual maximums, so multiple fillings might hit that limit.
Pro tip: Ask for a pre-treatment estimate from your dentist's office. They can submit it to your insurance to clarify coverage. Some clinics offer payment plans or discounts for cash payments.
For example, a composite filling on a molar might cost $250 out-of-pocket after insurance. If you're uninsured, look into dental schools—they provide supervised care at reduced rates. I've referred patients to local schools for savings of 30-50%.
Factors Affecting Cost
- Material: As shown in the table, gold and ceramic are pricier.
- Cavity size: Larger cavities require more material and time.
- Dentist's experience: Specialists may charge more.
- Geographic location: Urban areas tend to have higher fees.
Don't skip treatment to save money—early intervention is cheaper than a root canal later.
Recovery and Aftercare: How to Ensure Longevity
After the anesthesia wears off, you might feel sensitivity or mild pain. This usually subsides in a few days. Here's what I tell my patients for a smooth recovery.
Immediate aftercare: Avoid eating until numbness fades to prevent biting your cheek. Stick to soft foods like yogurt or soup for the first day. For pain, ibuprofen or acetaminophen works—follow dosage instructions.
Long-term care: Maintain good oral hygiene: brush twice daily with fluoride toothpaste, floss gently around the filling, and use an antiseptic mouthwash. Avoid hard or sticky foods (like candy or ice) that could dislodge the filling. If you grind your teeth at night, consider a mouthguard—it's saved many fillings from premature failure.
When to call your dentist: Persistent pain, sensitivity lasting over a week, a cracked filling, or a rough edge that irritates your tongue. I had a case where a patient ignored a loose filling, and it led to decay underneath, requiring a redo.
Common Myths About Tooth Filing Debunked
Let's clear up some misconceptions I hear often.
Myth 1: Fillings last forever. Nope. They wear out over time and may need replacement. Composite fillings, while aesthetic, often need redoing in 5-7 years, especially in high-stress areas.
Myth 2: Tooth filing is always painful. With modern anesthesia, it shouldn't hurt. Discomfort is manageable, and sedation options exist for anxious patients.
Myth 3: Amalgam fillings are dangerous. The FDA states that amalgam is safe for most people, though it recommends caution for pregnant women and children. The mercury release is minimal, but if you're concerned, discuss alternatives.
Myth 4: You can't get cavities under fillings. Actually, decay can recur at the edges if hygiene is poor. Regular cleanings are essential.
These myths cause unnecessary fear. Focus on facts and personalized advice from your dentist.
FAQs About Tooth Filing
Tooth filing is a common but critical part of dental care. By understanding the types, costs, and process, you can approach it with confidence. Remember, prevention is best—brush, floss, and see your dentist regularly. If you need a filling, don't delay; it's a small step to protect your smile for years to come.