You're brushing your tongue, and your finger brushes against something hard and lumpy under your jawline. Or maybe you've always had a strange, bony ridge on the roof of your mouth that you thought was just… normal. You've just discovered tori dental (or singular, a torus). It sounds dramatic, but for up to 27% of the population, it's a harmless quirk of anatomy. The problem is, almost no one talks about it until it starts causing trouble.
I've been in dentistry for over a decade, and I've lost count of the number of patients who come in worried they have a tumor. The relief on their faces when I explain it's just a tori is palpable. But here's the thing most general articles miss: while tori are benign, they're not always benign for your oral health. They can be the hidden reason your dentures never fit right, why you keep getting ulcers, or why food gets trapped in the most annoying spots.
What You'll Find in This Guide
What Exactly Are Tori Dental?
Let's cut through the medical jargon. A tori (or torus) is simply an extra bit of bone that grows slowly on your jaw. It's dense, hard, and covered by a thin layer of gum tissue. Think of it like a callus, but on your bone instead of your skin. It's your body laying down more bone in specific spots, often in response to stress, but sometimes just because your genes decided to.
They almost always appear in two specific locations:
| Type | Location | Appearance | Prevalence |
|---|---|---|---|
| Torus Palatinus | Midline of the hard palate (roof of the mouth) | Can be a single lump, a ridge, or a nodular, multi-lobed mass. Feels like a smooth, hard stone. | More common in women. Affects about 20-30% of the population. |
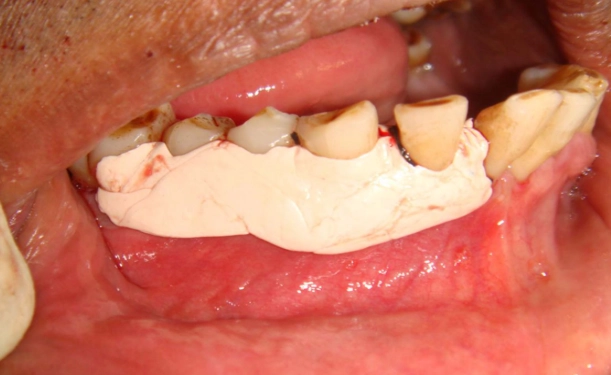
| Torus Mandibularis | On the inner surface of the lower jaw (mandible), near the premolars. | Usually bilateral (on both sides). Often round or spindle-shaped bumps. | More common in men. Affects about 6-12% of people. |
The first time a patient feels one, they often panic. I remember a young man, let's call him David, who was convinced he had oral cancer because he found bilateral lumps under his tongue. A quick examination confirmed they were classic, symmetrical mandibular tori. He'd had them for years but only just noticed. That's the other thing—they grow so slowly you often don't realize they're there.
What Causes Tori Dental? (It's Not Just Grinding)
If you search online, you'll see "teeth grinding" (bruxism) listed as the primary cause. That's only part of the story, and focusing solely on it can be misleading.
The current understanding, supported by research from institutions like the American Association of Oral and Maxillofacial Surgeons (AAOMS), points to a multi-factorial model:
- Genetic Predisposition: This is the big one. Tori often run in families. If your parents or siblings have them, your odds are significantly higher. It's like being predisposed to having a certain jaw shape.
- Biomechanical Stress: Yes, bruxism and clenching play a role. The theory is that excessive force on the teeth and jawbone stimulates bone growth at specific stress points. But here's the nuance: not everyone who grinds gets tori, and many people with tori aren't grinders. Stress is a trigger, not the sole creator.
- Environmental & Dietary Factors: Some studies suggest a link to diets rich in fish and calcium, or living in colder climates, but the evidence is weaker. It might be more about overall nutrition and vitamin D levels affecting bone metabolism.
The Subtle Error Most People Make
They assume the size of the tori correlates directly with the severity of their grinding. I've seen patients with massive, lifelong tori who have minimal wear on their teeth, and vice-versa. The bone's response to stress is highly individual. Diagnosing your stress levels based on your tori is like guessing the wind speed by looking at a tree's shape—there's a relationship, but it's not a precise gauge.
When Do Tori Become a Problem?
Most tori live a quiet, harmless life. You might not even know they're there. The decision to intervene is not about the tori itself, but about the problems it creates for you. Here are the real-world scenarios where removal starts to make sense:
- The Denture Dilemma: This is the #1 reason for surgery. A palatal torus prevents a full upper denture from getting proper suction. A mandibular torus creates painful pressure points and instability for a lower denture. Trying to fit a prosthesis over a tori is like trying to lay carpet over a speed bump—it never sits flat. The American College of Prosthodontists notes that tori are a common complicating factor in denture fabrication.
- Chronic Ulceration and Irritation: If the tori is prominent and the overlying tissue is thin, it can get scraped easily by hard foods (think: tortilla chips), leading to recurrent, painful ulcers.
- Interference with Oral Hygiene: Large tori can make brushing and flossing nearby teeth a real challenge, creating a plaque trap that increases the risk of cavities and gum disease on otherwise healthy teeth.
- Speech or Swallowing Issues: In rare cases, a very large palatal torus can affect tongue placement and slightly alter speech sounds like "s" or "t."
- Psychological Distress: Sometimes, the constant awareness or feeling of a "foreign" object in the mouth causes significant anxiety. This is a valid reason for discussion.

The Real Deal on Tori Removal Surgery
If you and your dentist or oral surgeon decide removal is necessary, here's what you're actually signing up for. It's not as scary as it sounds, but it's also not a walk in the park.
The Procedure Step-by-Step
The surgery (toriectomy or tori reduction) is usually performed by an oral surgeon. Under local anesthesia (often with sedation if you're anxious or if it's a large area), the surgeon makes a careful incision over the tori, peels back the gum tissue to expose the bone, and then uses a combination of specialized burs and chisels to remove the excess bone. The goal is to create a smooth contour. The gum is then stitched back into place with dissolvable sutures.
The surgery itself takes about 30-60 minutes per site. You don't feel pain during it, just pressure and vibration.
Recovery: The First 72 Hours Are Key
Recovery is where managing expectations is crucial. It's not terribly painful (thanks to good painkillers), but it's profoundly uncomfortable.
- Swelling: Expect significant swelling, especially with lower jaw tori removal. Your face may look round and puffy for 3-5 days. Ice packs are your best friend for the first 48 hours.
- Diet: You'll be on a strict liquid/very soft food diet (think: yogurt, smoothies, mashed potatoes, broth) for at least a week. No straws—the suction can dislodge the blood clot.
- Oral Hygiene: You'll be given a special antimicrobial rinse. Gentle brushing elsewhere in the mouth is okay, but you must avoid the surgical site.
- Activity: Plan for 2-3 days of rest. Avoid bending over, heavy lifting, or strenuous exercise.
- The Weird Stuff: You might see grayish tissue or sutures. Your palate or floor of your mouth will feel numb and strange for weeks as it heals. Small bone fragments can even work their way out through the gums months later—this is normal but startling if you're not warned.
Most people feel mostly normal within 10-14 days, but complete tissue remodeling and feeling "settled" can take a few months.
Cost and Insurance
This is a major practical concern. Costs vary wildly by region, surgeon, and case complexity. A ballpark figure is $600 - $1,500 per tori under local anesthesia. If you need IV sedation or have multiple tori removed, it can climb to $2,000-$4,000+.
Insurance coverage is the critical factor. If removal is deemed medically necessary (e.g., for a planned denture, or due to chronic ulceration), medical or dental insurance will often cover a significant portion. If it's considered elective or cosmetic (you just don't like the feel of it), you'll likely pay out-of-pocket. Get a pre-treatment estimate from your surgeon's office and have them code it correctly for your insurance.
Your Tori Questions, Answered
Finding a tori in your mouth can be unsettling, but knowledge is the best remedy. For the vast majority, it's simply a unique feature of your anatomy, a testament to your bone's response to a lifetime of function. Monitor it, keep it clean, and only consider action when it actively interferes with your comfort or health. If surgery is needed, you're now armed with a realistic picture of what to expect—not the scary unknowns, but the manageable, step-by-step process of reclaiming a smooth, functional mouth.