You feel a dull ache in the back of your jaw. Maybe your wisdom teeth never fully came in, or they've been causing trouble for years. You think it's just an infection or typical impaction pain. But what if it's something more serious, growing silently in your bone? That's the reality of a wisdom tooth cyst.
I've seen patients come in for a routine check-up, only for an X-ray to reveal a cyst the size of a grape where their wisdom tooth should be. They had no major symptoms. That's the tricky part. This isn't just about a painful tooth; it's about a fluid-filled sac that can hollow out your jawbone from the inside, weakening it to the point of fracture.
Let's cut through the dental jargon. This guide is for anyone who's been told they have an impacted wisdom tooth, feels unexplained jaw pressure, or is simply trying to understand what a dentigerous cyst (the most common type linked to wisdom teeth) actually means for their health.
What’s Inside This Guide
What Exactly Is a Wisdom Tooth Cyst?
Think of a cyst as a biological balloon. It's a closed sac lined with cells and filled with fluid—sometimes thin and watery, sometimes thick and mucus-like. When it forms around the crown of an unerupted tooth (like a wisdom tooth stuck in the jaw), it's specifically called a dentigerous cyst.
Here’s the basic mechanics: as a wisdom tooth tries to erupt, the follicle (the tissue sac surrounding it) can sometimes get stimulated and start producing fluid abnormally. This fluid builds up, creating pressure that slowly expands the sac and, critically, erodes the surrounding jawbone to make space for itself. It doesn't invade the bone aggressively like cancer; it politely—but destructively—remodels it.
Not all impacted wisdom teeth develop cysts. The risk is higher with teeth that have been partially or fully buried for a long time. I tell my patients it's a bit of a lottery, but one where the losing ticket can cause significant structural damage.
Symptoms and Signs: What Does It Feel Like?
Early on? Often nothing. That's why they're frequently found by chance on routine dental X-rays. When symptoms do appear, they're easy to mistake for a simple wisdom tooth infection or impaction.
The Common Warning Signals
Pain and Discomfort: A dull, persistent ache in the back of the jaw or near the angle of the mandible. It's usually not the sharp, throbbing pain of an abscess unless the cyst gets infected.
Swelling: You might notice a firm, non-tender bulge on the outside of your jaw, or inside your mouth. The swelling expands slowly over months or years.
Tooth Movement: A large cyst can push on adjacent teeth, causing them to shift position or become loose. You might suddenly notice a gap where there wasn't one before.
Numbness or Tingling: This is a red flag. If the cyst grows large enough to press on the inferior alveolar nerve (the nerve that gives feeling to your lower lip and chin), you might experience numbness or a pins-and-needles sensation. This signals significant size and potential nerve involvement.
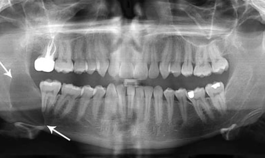
I had a patient, let's call him Mark, who came in because his lower second molar felt "off" and slightly loose. He thought he had gum disease. The panoramic X-ray showed a cyst about 2cm in diameter originating from his impacted lower wisdom tooth, which had already resorbed the roots of the molar in front of it. He never had severe pain. That tooth couldn't be saved.
How is a Wisdom Tooth Cyst Diagnosed?
You can't diagnose this by looking in a mirror. It requires imaging. The process usually starts when you or your dentist notices one of the symptoms above, or it's spotted during a regular check-up.
The Diagnostic Pathway
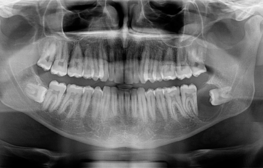
1. Panoramic X-ray (OPG): This is the first and most common step. It gives a broad view of both jaws, all teeth, and the sinuses. A cyst appears as a well-defined, dark (radiolucent) area around the crown of the impacted wisdom tooth, often with a thin white border. It looks like a dark halo.
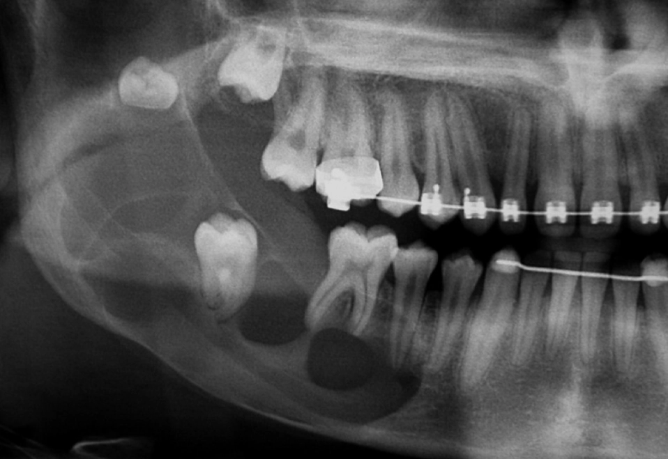
2. Cone Beam Computed Tomography (CBCT): If the cyst looks large or complex on the OPG, a 3D CBCT scan is the gold standard next step. This shows the exact size, shape, and relationship of the cyst to critical structures like nerves, sinuses, and adjacent tooth roots in three dimensions. It's essential for surgical planning.
3. Biopsy: This is the only way to get a definitive diagnosis. During the surgical removal, the cyst lining is sent to a pathology lab. Why? Because on an X-ray, a benign dentigerous cyst can look identical to more aggressive lesions like an odontogenic keratocyst or, very rarely, a tumor. The biopsy confirms what we're dealing with.
A common mistake I see is dentists planning surgery based solely on a 2D X-ray. Without a 3D scan, you're essentially navigating in the dark. You might not know the cyst is wrapped around the nerve until you're in the middle of the procedure, which increases the risk of nerve injury.
Wisdom Tooth Cyst Treatment: The Surgical Process
There's no medication or home remedy that will make a cyst disappear. The only effective treatment is complete surgical removal. The goal is to take out the entire cyst sac and the associated wisdom tooth to prevent recurrence.
Step-by-Step: What Happens During Surgery
The procedure is typically done by an oral and maxillofacial surgeon under local anesthesia with sedation or general anesthesia, depending on the cyst's complexity.
Step 1: Access. An incision is made in the gum to expose the underlying jawbone.
Step 2: Bone Removal. A small window of bone over the cyst is carefully removed.
Step 3: Enucleation. This is the core step. The surgeon meticulously peels the entire cyst lining away from the bone cavity and removes it along with the wisdom tooth. Every bit of the lining must be removed. If any cells are left behind, the cyst can grow back.
Step 4: Management of the Cavity. After removal, you're left with a hole in the jawbone. For small cysts, the cavity is simply irrigated and stitched closed. For large cysts, the surgeon might pack the cavity with a special material or leave it open to heal from the bottom up (a technique called marsupialization), which is less common nowadays.
Step 5: Closure. The gum is stitched back into place. Sometimes, a small drain is placed for a day or two.
Recovery Timeline and Aftercare
Recovery depends on the cyst's size and the extent of surgery. It's generally more involved than a simple wisdom tooth extraction.
| Time Period | What to Expect | Care Instructions |
|---|---|---|
| First 24-48 Hours | Significant swelling, discomfort, possible bruising. Some oozing of blood is normal. | Use ice packs on the outside of your jaw (20 minutes on, 20 minutes off). Take prescribed pain medication. Eat only soft, cool foods (yogurt, pudding, smoothies). |
| Days 3-7 | Swelling peaks and then starts to subside. Pain should become manageable. Stitches may be dissolvable or need removal around day 7. | Transition to warm salt water rinses (after 24 hours) to keep the area clean. Gradually add soft foods like mashed potatoes, scrambled eggs. Avoid strenuous activity. |
| Weeks 2-4 | Most external swelling is gone. The surgical site inside will feel soft and may have a "hole." Jaw stiffness may persist. | The bone cavity starts filling in with soft tissue. You can usually resume a normal diet, avoiding very hard or crunchy foods on that side. Gentle jaw exercises can help with stiffness. |
| Months 3-12 | Complete bony healing. The body slowly fills the cavity in the jaw with new bone. | Follow-up X-rays at 6 and 12 months are crucial to confirm no recurrence. The gum tissue will smooth out. |
The most important part of aftercare is the follow-up. You must get that follow-up X-ray, usually a panoramic view, at 6 months and again at 1-2 years. This is the only way to be sure the bone is healing properly and the cyst hasn't returned.
Understanding the Costs and Insurance
This isn't a cheap procedure. Costs vary wildly based on geography, surgeon's expertise, cyst complexity, and anesthesia type.
In the United States, without insurance, you could be looking at:
- Simple cyst removal with tooth extraction: $1,500 - $3,500.
- Complex cyst removal with 3D imaging and possible bone graft: $3,000 - $7,000+.
These figures usually include the surgeon's fee, facility/anesthesia fees, and the pathology lab fee for the biopsy.
Insurance Coverage: Most medical and dental insurance plans will cover a portion of the surgery if it's deemed medically necessary—which a cyst causing bone destruction absolutely is. The coding and coverage split between medical and dental insurance can be a headache. Your surgeon's office should help you navigate this. Typically, the removal of the pathological lesion (the cyst) may fall under medical insurance, while the tooth extraction might fall under dental. Pre-authorization is key.
Don't skip treatment because of cost. An untreated cyst will likely continue to grow, leading to more extensive—and expensive—surgery down the line, possibly including jaw reconstruction and tooth loss.
Your Questions, Answered
How do I know if my jaw pain is just from an impacted wisdom tooth or a cyst?