Quick Guide
Let's be real. The first few days after getting your wisdom teeth out are a blur of ice packs, pudding, and maybe a bit of self-pity. You're following the instructions, taking it easy, and just waiting for it to be over. But then you hit day 7. This is where things get interesting, and honestly, a bit confusing for a lot of people. It's not the acute pain of day 1 or 2, but you're definitely not back to normal. So, what's supposed to be happening on wisdom teeth removal day 7? Is that lingering soreness normal? Should you still be eating mashed potatoes?
I remember my own day 7 wisdom teeth removal recovery vividly. I woke up expecting to feel almost human again, but my jaw still felt stiff, one side was more puffy than the other, and I was terrified of getting food stuck in the sockets. I spent way too much time on Google, searching for answers and mostly finding vague reassurances. That's why I wanted to write this—to give you the clear, detailed, and practical lowdown that I wish I'd had.
Day 7 is a critical milestone. It's often when your surgeon's post-op instructions become less specific, and you're left to navigate the rest of recovery on your own. Getting it right can mean the difference between a smooth sail to full health and a detour into complications like a dry socket or infection. This guide will walk you through exactly what to expect, what's normal, what's a red flag, and how to actively care for yourself at this specific stage.
Key Takeaway: Think of day 7 as a transition phase. The initial trauma healing is wrapping up, and the longer-term tissue repair and remodeling is kicking into gear. Your job is to support that process without disrupting it.
The Day 7 Check-In: What's Normal vs. What's Not
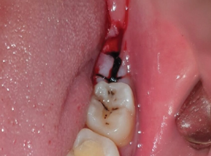
By day 7 after wisdom teeth removal, your body has done a lot of the heavy lifting. The blood clot that formed in the socket is now stable and organizing into granulation tissue—the foundation for new bone and gum. But that doesn't mean the site is invincible. Here’s a breakdown of the symptoms you're likely experiencing and what they mean.
You Can Expect These (They're Normal)
1. Dull, Achy Pain or Discomfort: Sharp, throbbing pain should be long gone. What remains is usually a manageable, dull ache or soreness, especially when you chew, yawn wide, or press on the area. Over-the-counter pain relievers like ibuprofen should be sufficient, if you need them at all. The pain is often more noticeable in the evening after a day of talking and eating.
2. Reduced but Visible Swelling: The major “chipmunk cheek” swelling peaks around days 2-3 and should be significantly down by day 7. However, don't be surprised if you still have some mild puffiness, particularly on the side where the extraction was more complex. It might look more like a slight fullness than obvious swelling.
3. Jaw Stiffness (Trismus): This is a big one and totally normal. Your jaw muscles have been through a trauma, held open for a while, and are likely still guarding the area. You probably can't open your mouth as wide as usual. Gentle, gradual stretching (like slowly opening and closing your mouth) can help, but don't force it.
4. Visible Socket and Tissue Granulation: If you look at the extraction site (gently!), you'll see a hole. That's the socket. It shouldn't be a deep, dark pit. Instead, it's often filled with a soft, whitish-yellowish material. Don't panic. This isn't pus; it's most likely granulation tissue or fibrin—a normal part of healing. It protects the underlying bone and nerves. A healthy socket might also have slight, light red edges.
Red Flags: When to Pick Up the Phone
Now, the not-so-fun part. While discomfort is standard, certain symptoms on day 7 wisdom teeth removal recovery warrant an immediate call to your oral surgeon or dentist. Ignoring these can set your recovery back weeks.
Warning Signs:
- Severe, Radiating Pain: Pain that suddenly intensifies after initially improving, especially pain that shoots to your ear, temple, or neck on the same side. This is the classic sign of a dry socket (alveolar osteitis). The pain from a dry socket often starts around day 3-5 but can definitely still manifest or persist into day 7.
- Foul Taste or Odor: A bad taste in your mouth that doesn't go away with rinsing, or a persistent foul odor from the socket, can indicate a food trap or the early stages of infection.
- Pus Discharge: Any thick, yellow, or green discharge from the socket is a sign of infection.
- Excessive Bleeding: Oozing of pink saliva is normal. Active, steady bleeding that fills your mouth with blood is not, even on day 7. Re-apply gauze with firm pressure for 30-45 minutes and call your surgeon.
- Fever: A temperature over 101°F (38.3°C) suggests your body is fighting a systemic infection.
- Numbness That Persists: Some lingering numbness in the lip, chin, or tongue can happen, but if it hasn't improved at all since the surgery, mention it to your surgeon.
Here’s a quick-reference table to sum up the day 7 wisdom teeth removal symptom landscape:
| Symptom | Normal (Green Light) | Warning Sign (Red Light) |
|---|---|---|
| Pain | Dull, achy, manageable with OTC meds. | Severe, throbbing, radiates to ear/temple, worsened after initial improvement. |
| Swelling | Mild, localized puffiness, improving daily. | Swelling that increases after day 3-4, is hard/warm to touch, or is accompanied by fever. |
| Socket Appearance | Hole visible, may have soft white/yellow tissue (granulation), light pink edges. | Empty-looking, dry socket with visible bone; dark/necrorotic tissue; pus discharge. |
| Bleeding | Minimal pink tinge in saliva. | Active, steady flow of red blood. |
| Mouth Opening | Some stiffness and limited opening (trismus). | Inability to open mouth more than a few millimeters, or sudden locking. |
My personal red flag? On my day 7, I noticed a distinct, unpleasant smell when I rinsed. I almost talked myself out of calling, thinking I was being paranoid. Turns out, a tiny piece of food was lodged deep in the socket. A quick visit for a gentle irrigation solved it, and my surgeon thanked me for coming in early. Trust your gut. If something feels “off,” it probably is.
Your Day 7 Action Plan: Diet, Hygiene, and Activity
Recovery isn't passive. What you do (and don't do) on wisdom teeth removal day 7 directly impacts how quickly and comfortably you heal. Let's break down your to-do list.
The Day 7 Wisdom Teeth Diet: Beyond Applesauce
You're probably sick of smoothies. Good news: you can start expanding your menu, but caution is still key. The goal is soft foods that require minimal chewing and won't leave sharp crumbs in the sockets.
Great Choices for Day 7:
- Scrambled eggs or omelets: Excellent soft protein.
- Well-cooked pasta: Think mac and cheese, or small pasta like orzo in soup.
- Flaky fish: Salmon or cod that falls apart with a fork.
- Mashed potatoes/sweet potatoes: A classic for a reason.
- Avocado: Soft, nutritious, and easy to eat.
- Soft-cooked vegetables: Like steamed carrots or zucchini.
- Yogurt, pudding, applesauce: The old reliables.
Foods to Still Avoid:
- Anything crunchy, hard, or chewy: Chips, nuts, seeds, popcorn, tough meats, bagels. These can get lodged or irritate the socket.
- Spicy or acidic foods: Can sting healing tissues.
- Very hot foods: Heat can increase swelling and dissolve clots. Warm is better.
- Straws: The suction force is a major risk for dislodging clots, even on day 7. Just drink from a cup.
Oral Hygiene: The Most Important Part of Your Day
This is non-negotiable. A clean mouth heals faster and prevents infection. By day 7, you should be brushing your teeth gently but thoroughly, avoiding the extraction sites directly.
Your Hygiene Routine:
- Salt Water Rinses: Gently swish with warm salt water (1/2 teaspoon salt in 8 oz warm water) after every meal and before bed. This is the single best thing you can do to keep food debris out and promote healing. Don't swish vigorously—just let it flow over the area and tilt your head.
- Brushing: Use a soft-bristled toothbrush. Brush all other teeth normally. For the teeth adjacent to the extraction sites, brush very gently, angling the bristles away from the socket.
- Irrigation Syringe (if prescribed): Your surgeon may have given you a curved-tip syringe. Around day 5-7, they often instruct you to start using it to gently flush out the sockets after eating. Fill it with warm water or salt water, place the tip near (not inside) the socket, and flush gently. This is fantastic for preventing food traps. Follow your surgeon's specific instructions on this.
Pro Tip: Set a timer on your phone for your salt water rinses. After lunch is easy to forget. Consistency is what prevents problems during your day 7 wisdom teeth removal recovery.
Activity and Lifestyle: Can I Get Back to My Life?
Maybe, but slowly. Your body is still using significant energy to heal.
You Can Probably:
- Return to light desk work or school.
- Go for a gentle walk.
- Do light household chores.
You Should Still Avoid:
- Strenuous exercise: No running, weightlifting, high-intensity workouts. Increased blood pressure can cause throbbing pain or even bleeding.
- Bending over heavily (like gardening).
- Smoking or vaping: Nicotine constricts blood vessels, severely impairing healing and dramatically increasing the risk of dry socket and infection. This is a huge one.
- Drinking alcohol: It can interfere with medications and slow healing.
Answering Your Day 7 Questions (The Stuff You're Actually Googling)
Common Questions About Day 7 Wisdom Teeth Removal

The Bigger Picture: From Day 7 to Full Recovery
Day 7 isn't the finish line; it's a major checkpoint. Healing is a marathon, not a sprint. The bone in the socket will take months to fully remodel. But the acute, “sick” phase of recovery is wrapping up.
For authoritative information on the surgical process and general aftercare, resources from the American Association of Oral and Maxillofacial Surgeons (AAOMS) are invaluable. They provide patient-friendly guides that explain the science behind the healing stages. Similarly, the American Dental Association (ADA) offers trusted advice on post-operative oral hygiene to prevent complications.
Looking ahead:
- Days 7-14: Stiffness and soreness should gradually fade. You'll expand your diet. The socket will look less deep as tissue fills in from the bottom up.
- Weeks 2-4: Most people feel largely normal. You can usually resume all normal activities, including exercise. The extraction sites may still be slight indentations in your gums.
- Months 1-6: The bone continues to fill in the socket completely under the gum.
My final piece of advice? Be patient with yourself. Comparing your day 7 wisdom teeth removal experience to a friend's is pointless. Their anatomy and surgery were different. Focus on the trend: are things slowly improving overall? If the answer is yes, you're on the right track. If you hit a plateau or slide backward, that's your cue to seek professional advice. You've gotten through the hardest part. Now it's just about careful stewardship as your body finishes the job.
Remember, this guide is for informational purposes. Your oral surgeon's specific instructions always take precedence. They know the details of your particular case. When in doubt, pick up the phone—that's what they're there for. Here's to a smooth recovery from here on out.