Your Quick Guide to Natural Cavity Treatment
- First Things First: What Is a Cavity, Really?
- The Philosophy Behind Natural Approaches: Working *With* Your Body
- A Realistic Look at Popular Natural Remedies
- The Critical Caveat: When "Natural" Becomes Risky
- Finding Common Ground: An Integrated Approach
- Answering Your Burning Questions (FAQ)
- Wrapping It Up: A Balanced, Honest Path Forward
So you've got a twinge in your tooth, maybe a little dark spot, and the idea of the dentist's drill sends shivers down your spine. You start searching online, and a world of "natural cures" and "reverse cavities at home" promises opens up. It's tempting, right? The thought of healing your teeth with simple, natural methods feels empowering and less scary.
I get it. Completely. The dental chair isn't anyone's favorite place. But before you dive headfirst into a regimen of oil pulling and clay brushing, we need to have a real, grounded conversation. What does science actually say about natural tooth cavity treatment? What can these approaches genuinely help with, and where do they fall dangerously short? My aim here isn't to dismiss natural health—far from it. It's to cut through the hype and give you a clear, honest map so you can make the best decision for your health without making things worse.
Key Takeaway Up Front: Natural methods can be powerful tools for prevention and potentially for addressing the very earliest stages of demineralization (the pre-cavity stage). However, once a physical hole (a cavity) has formed in the enamel, no natural remedy can regrow that lost structure. At that point, professional treatment is the only way to stop the infection and save the tooth.
First Things First: What Is a Cavity, Really?
We throw the word "cavity" around, but understanding what's actually happening is crucial. A cavity, or dental caries, isn't just a random hole. It's a bacterial infection. It's a process.
Here’s the simplified version: Your mouth is full of bacteria (a normal microbiome). Some of these bacteria feed on sugars and starches from the food you eat. When they do, they produce acids. These acids start to dissolve, or demineralize, the hard, mineral-rich outer layer of your tooth—the enamel. This is the first stage.
Saliva is your body's natural defense. It helps wash away food, neutralize acids, and even contains minerals (like calcium and phosphate) that can repair early damage—a process called remineralization. It's a constant tug-of-war: acid attack vs. mineral repair.
A cavity forms when the acid attacks win the war over time. The demineralization progresses, creating a weak spot, then a microscopic hole, and eventually a visible cavity that breaches the enamel surface. Once the enamel is breached, the softer, more vulnerable layer underneath (dentin) is exposed, and the decay can spread much faster.
Why does this matter for natural treatment for tooth cavities? Because it defines the battlefield. Natural strategies aim to shift the balance of this war. They try to support remineralization and stop demineralization. But if the enemy (the bacteria) has already broken through the castle wall (the enamel), reinforcing the outer village (remineralizing the surface) won't fix the breach inside.
The Philosophy Behind Natural Approaches: Working *With* Your Body
The core idea of holistic or natural dental care isn't magic. It's based on the principle that your body has an innate ability to heal when given the right conditions. For teeth, this means creating an oral environment that is hostile to decay-causing bacteria and supportive of the natural remineralization process.
Instead of just targeting the symptom (the hole) with a drill and fill, the natural approach asks: Why did this cavity form here, now, for this person? It looks at diet, oral microbiome balance, mineral status, saliva quality, and even overall health.
I find this perspective really valuable. It's proactive and systemic. But—and this is a big but—it requires a level of honesty about the stage of decay you're dealing with.
A Realistic Look at Popular Natural Remedies
Let's walk through the most talked-about methods. I'll give you what the proponents say, what the current evidence suggests, and my own practical take on where it fits.
Dietary Changes: The Foundation
This is, hands down, the most impactful area for anyone interested in healing cavities naturally. You can't out-supplement a bad diet.
- Cutting Out Refined Sugars and Processed Carbs: This is non-negotiable. These are the primary fuel for Streptococcus mutans and other acid-producing bacteria. No sugar, no acid party. It's that simple.
- Phytic Acid Reduction: Found in grains, beans, nuts, and seeds, phytic acid can bind to minerals (like calcium and zinc) in your gut, potentially reducing their absorption. Some traditional diets soaked, sprouted, or fermented these foods to reduce phytic acid. The science on its direct impact on cavities is mixed, but improving mineral bioavailability is generally a good health practice.
- Eating Mineral-Rich Foods: Your teeth need building blocks. Dairy (especially cheese, which also raises pH), leafy greens, bone broth, and small, oily fish with bones (like sardines) are fantastic sources of calcium, phosphorus, and vitamin D.
- Fat-Soluble Vitamins (A, D, K2): This trio is crucial. Vitamin D helps you absorb calcium. Vitamin K2 (found in fermented foods, egg yolks, grass-fed butter) acts like a traffic director, making sure calcium goes to your bones and teeth, not your arteries. A deficiency here might undermine all your other efforts.
My take? Dietary change is powerful prevention and a great support for overall health. It can absolutely change the future of your teeth. But if a cavity is already there, diet alone won't make it disappear.
Oil Pulling (Usually with Coconut Oil)
Swishing a tablespoon of oil (coconut, sesame) in your mouth for 15-20 minutes. The claim is that it "pulls" toxins and bacteria.
The evidence shows it can reduce plaque and the specific bacteria that cause gingivitis, similar to a chlorhexidine mouthwash in some studies. It's likely because the oil mechanically disrupts the bacterial biofilm (plaque). It might also have a mild antimicrobial effect.
What it won't do: It won't "draw out" an infection from inside a tooth or a deep gum pocket. It's a surface-level hygiene aid. I think it's a decent addition to a routine for gum health, but calling it a tooth cavity natural treatment that can heal decay is a massive stretch.
Herbal and Mineral Remedies
| Remedy | Proposed Mechanism | Evidence & Practical Note | Best For... |
|---|---|---|---|
| Xylitol | A sugar alcohol that decay bacteria can't metabolize. They "eat" it but starve and die. Reduces acid production and sticky plaque. | Strong evidence for cavity prevention. Shown in numerous studies. Found in gums, mints, granules. | Prevention, reducing bacterial load. A powerful tool. |
| Fluoride (Yes, it's natural) | Integrates into enamel structure, forming fluorapatite, which is more resistant to acid. Enhances remineralization. | Overwhelming evidence as the most effective agent for preventing and arresting early cavities. Endorsed by the American Dental Association (ADA) and World Health Organization (WHO). | The gold standard for strengthening enamel and fighting early decay. |
| Green Tea Extract | Contains polyphenols (like EGCG) that may inhibit bacterial growth and enzyme activity. | Promising in lab studies for anti-caries effects. Easy to incorporate by drinking unsweetened green tea. | Supporting overall oral health as part of a holistic regimen. |
| Licorice Root | Certain compounds (licoricidin) may target cavity-causing bacteria specifically. | Early-stage research is interesting but not yet conclusive for direct cavity reversal. | An area of emerging research, not a proven standalone treatment. |
| Calcium & Phosphate Pastes (e.g., CPP-ACP) | Delivers bioavailable calcium and phosphate directly to the tooth surface to boost remineralization. | Good evidence for remineralizing white spot lesions (early demineralization). Sold as "tooth mousse" or similar products. | Specifically for the pre-cavity stage (white spots). |
Looking at that table, you see a pattern. Many natural agents are excellent at changing the environment—killing bad bacteria, delivering minerals, making enamel stronger. They are fantastic for prevention and for arresting decay that hasn't yet cavitated. This is where the real power of a natural tooth cavity treatment approach lies.
The Critical Caveat: When "Natural" Becomes Risky
This is the part I feel compelled to stress, because I've seen people cause themselves serious pain and expense by delaying care.
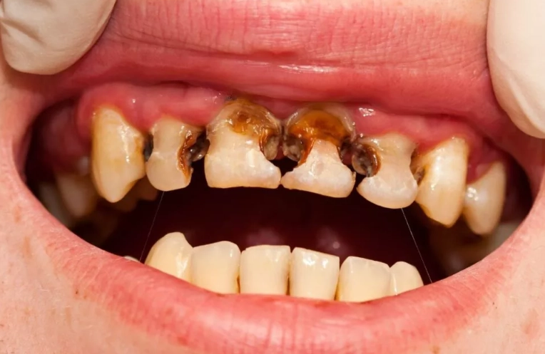
If you have a symptomatic cavity—one that causes pain to hot, cold, or sweets, or a visible hole or dark pit—the decay has almost certainly progressed beyond the enamel. The infection is in the dentin, which is much softer and has tiny tubes leading to the nerve.
At this stage, no amount of diet change, oil pulling, or herbal rinse will reach the bacteria thriving deep inside the tooth structure. The decay will continue. It will get closer to the nerve (pulp). What starts as sensitivity can turn into a throbbing, spontaneous toothache—that's an abscess forming. The infection can spread to your jawbone or, in rare but serious cases, elsewhere in your body.
Treating a deep cavity naturally is like trying to cure a deep splinter infection with a topical antiseptic. You might clean the surface, but the core problem remains and worsens.
Red Flags – Stop Natural Treatment & See a Dentist NOW:
- Sharp, lingering pain with temperature changes (especially cold).
- Spontaneous, throbbing toothache that wakes you up.
- Visible hole, crack, or large dark area on the tooth.
- Pain when you bite down.
- Swelling in your gums, cheek, or face near the tooth.
- A pimple-like bump on the gums near a tooth.
These are signs of advanced decay or infection that requires professional intervention, often a root canal or extraction to preserve your health.
Finding Common Ground: An Integrated Approach
The smartest path isn't "dentist vs. natural." It's "dentist and natural." This is how you get the best of both worlds.
- Get a Professional Diagnosis First. If you suspect a cavity, see a dentist. A visual exam and X-rays will tell you the exact stage: Is it just a white spot (remineralizable)? Is it a small enamel cavity that might be arrested? Or is it into the dentin and needs a filling? You can't make an informed choice without this information.
- Use Natural Methods for Prevention and Early Support. If the decay is very early, your dentist might suggest a "watch and wait" approach with high-fluoride toothpaste or a calcium phosphate paste. This is your green light to go all-in on the dietary and hygiene strategies discussed.
- Partner with a Holistic or Biological Dentist. These are licensed dentists who incorporate a whole-body philosophy. They might use ozone therapy to disinfect small areas, offer mercury-free fillings, and are more likely to discuss diet and microbiome. They still use drills and fillings when necessary, but their approach is more aligned with the natural health mindset. You can find them through organizations like the International Academy of Oral Medicine and Toxicology (IAOMT).
- After Professional Treatment, Go Natural for Prevention. Once a cavity is properly filled, use all these natural tools to ensure you never get another one. That's the ultimate win.
Answering Your Burning Questions (FAQ)

Wrapping It Up: A Balanced, Honest Path Forward
The world of natural tooth cavity treatment isn't all nonsense, and it's not all miracle cures either. It's a spectrum.
On one end, you have proven, science-supported strategies that empower you to take control of your oral environment—diet, fluoride, xylitol, good hygiene. These are fantastic and should be part of everyone's life.
On the other end, you have the well-intentioned but misguided belief that you can wish away a physical hole with a swish of oil or a change in diet. This belief can lead to severe pain, complex infections, and tooth loss.
The most intelligent approach is integrative. Use the powerful preventive and early-intervention tools from the natural health toolbox with enthusiasm. But respect the limits of biology and the expertise of dentistry. Get a diagnosis. Know your enemy. Then deploy the right strategy for the right stage of the battle.
Your goal shouldn't be to find a magic natural treatment for tooth cavities that lets you ignore dentistry. Your goal should be to create a mouth so healthy, through smart natural practices, that you rarely need anything more than a check-up from your dentist. And if you do need a filling, you get it done promptly, then double down on prevention so it's your last one.
That's a realistic, healthy, and truly holistic way to care for your smile.