Quick Guide
- Understanding the Beast: What Exactly Is a Periapical Abscess?
- The ICD-10 Code Decoded: It's More Than Just K04.7
- How Do Dentists Diagnose a Periapical Abscess? (It's Not Just a Guess)
- Treatment Options: From Root Canal to Extraction
- Navigating Insurance and Billing with the ICD-10 Code
- Frequently Asked Questions (FAQs) About Periapical Abscess and ICD-10
Let's be honest, dental pain is its own special kind of torture. It's throbbing, relentless, and seems to echo through your entire skull. And when you finally drag yourself to the dentist or end up in an emergency room, you're hit with a bunch of medical jargon and codes. One of the most common codes you or your dentist will encounter for a severe tooth infection is the periapical abscess ICD 10 code. If you're searching for it, you're probably dealing with one of three things: blinding pain, a confusing medical bill, or the tedious task of medical coding yourself. I've been on both sides of this – as a patient wincing in the chair and as someone who's had to navigate the labyrinth of dental billing. It's a mess.
So, what's the big deal with this code? It's not just a random number. Getting the periapical abscess icd 10 code correct is the difference between your insurance covering a crucial root canal and you getting a shocking bill for a 'non-covered procedure.' It's the key that unlocks proper treatment and, hopefully, pain relief. This guide is going to break it all down for you – not in dry, textbook language, but in plain English. We'll talk about what a periapical abscess actually is, why the ICD-10 code matters more than you think, and what happens during diagnosis and treatment. I'll even share some of the frustrating hiccups I've seen with insurance, so you can hopefully avoid them.
Quick Answer: The primary ICD-10-CM code for a periapical abscess is K04.7. But – and this is a huge but – it's rarely that simple. You often need additional codes to specify which tooth is involved and if there are complications, like a sinus tract or swelling. We'll get into the nitty-gritty of that later.
Understanding the Beast: What Exactly Is a Periapical Abscess?
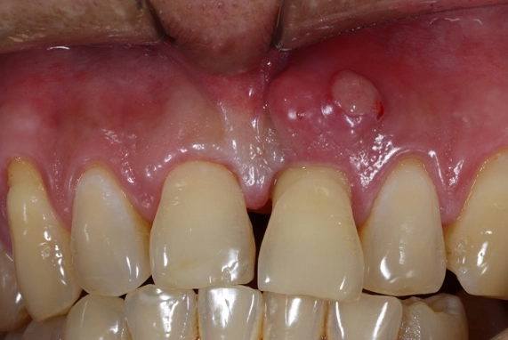
You know that feeling when you bite down and a sharp, electric shock of pain shoots up from a single tooth? Or maybe a tooth just aches constantly, feels 'tall,' and is tender to touch. That's often your first clue. A periapical abscess is a pocket of pus that forms at the very tip of a tooth's root (the 'apex'), in the jawbone. It's the end-stage of a pulp infection.
Here’s how it usually goes down. A cavity gets deep enough to breach the tooth's hard enamel and dentin, invading the soft, living pulp inside (that's the part with nerves and blood vessels). Bacteria throw a party in there. The pulp gets inflamed (pulpitis), which is painful. If left alone, the pulp dies. The infection doesn't stop; it marches right out through the tiny opening at the root's tip and into the bone. Your body tries to wall it off, creating a sac of pus – the abscess. The pressure inside the bone is what causes that intense, pounding pain. It's a serious infection that won't go away on its own. Ignoring it is like ignoring a ticking time bomb in your jaw.
I remember a friend who thought his intense toothache was just a sinus infection. He took antibiotics for a week, felt a little better, and then the pain came back with a vengeance, accompanied by a swollen cheek. That's classic. The antibiotic temporarily reduced the swelling but didn't touch the source of the infection inside the dead tooth. He needed a root canal. The dentist's diagnosis? Acute periapical abscess. The code on his paperwork? You guessed it, periapical abscess icd 10 K04.7, along with a tooth number code.
Warning Sign: If you have a toothache combined with fever, facial swelling, difficulty swallowing or breathing, you need to seek emergency dental or medical care immediately. The infection can spread to other areas of your head and neck, which can become life-threatening. This is called a dental emergency, not a 'wait-and-see' situation.
The ICD-10 Code Decoded: It's More Than Just K04.7
Alright, let's get into the code itself. ICD-10 stands for the International Classification of Diseases, 10th Revision. It's a global system for coding diagnoses. In the US, healthcare providers must use it for billing insurance (Medicare, Medicaid, private insurers) and for tracking health statistics. The system is… notoriously detailed. Some say overly complicated. I lean towards the latter opinion, especially when a simple toothache requires a small novel of codes.
The core code for our topic is found in Chapter 11 of ICD-10-CM: 'Diseases of the digestive system,' under the block for 'Diseases of oral cavity and salivary glands' (K00-K14).
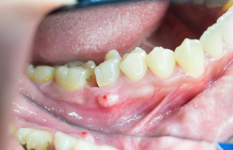
The specific code is K04.7 - Periapical abscess with sinus. Now, the 'with sinus' part confuses everyone at first. In dental terms, a 'sinus' here doesn't refer to your nasal sinuses. It means a sinus tract – a small, channel-like opening that the abscess creates to drain pus, often appearing on the gum as a pimple-like bump called a 'parulis' or 'gum boil.' This is the body's attempt to relieve pressure.
But what if there's no visible sinus tract? Good question. The coding guidelines direct you to use K04.7 for all periapical abscesses, whether a sinus tract is present or not. It's the default, catch-all code. However, you must always use an additional code to identify the specific tooth. This is where many billing errors happen.
Essential Accompanying Codes: The Tooth Number
You cannot just bill with K04.7 alone. It's considered an incomplete code. You must pair it with a code from category Z98.8 - Other specified postprocedural states... just kidding! That's a common trap. The actual codes you need are from a different system used alongside ICD-10, often the Code on Dental Procedures and Nomenclature (CDT) or, for medical billing, sometimes using the ICD-10's own 'W' codes for laterality, but the universal standard in dentistry is to specify the tooth.
Dentists use the Universal/National Numbering System. Each tooth has a number (1-32 for adults, A-T for children). The coding for this in claims is usually straightforward: the tooth number is listed in a separate field on the claim form. However, in pure ICD-10 terminology for medical billing (like if an ER doctor diagnoses it), they might use a note, but the dental claim is king for dental procedures.
Here’s a practical table to show how the periapical abscess icd 10 code works in tandem with other information:
| Diagnosis Description | Primary ICD-10 Code | Mandatory Additional Specifier | Commonly Associated Procedure (CPT/CDT Code) |
|---|---|---|---|
| Periapical abscess on upper right first molar (Tooth #3) | K04.7 | Tooth #3 | D3330 - Root Canal Therapy (Molar) |
| Periapical abscess with facial swelling on lower left canine (Tooth #22) | K04.7 | Tooth #22 | D3220 - Therapeutic Pulpotomy (often first step) or D3330 |
| Chronic periapical abscess (no acute symptoms) on Tooth #14 | K04.7 | Tooth #14 | D3330 - Root Canal Therapy (Bicuspid) |
| Periapical abscess leading to cellulitis (diffuse swelling) | K04.7 AND L03.2x (Cellulitis of face) | Tooth Number + laterality code for cellulitis | D3330 + Incision & Drainage (D7510) + possible antibiotics |
See? The periapical abscess icd 10 code K04.7 is almost always the starting point, but it's rarely traveling alone. Missing the tooth number is the #1 reason for claim delays or denials for root canal therapy. I've seen offices have to re-submit claims three times because they kept missing this simple pairing.
How Do Dentists Diagnose a Periapical Abscess? (It's Not Just a Guess)
So you're in the chair, in pain. How does the dentist go from 'ouch' to officially diagnosing you with a condition worthy of the periapical abscess ICD-10 code? It's a detective process with specific tools.
First, they'll listen to your story – the history. When did the pain start? Is it constant or triggered by hot/cold/biting? Does the tooth feel different? This history is crucial.
Then comes the clinical exam. They'll visually check the tooth and gums, looking for cavities, large fillings, cracks, or that tell-tale gum boil (sinus tract). They'll gently tap (percuss) on several teeth. The infected one will often feel exquisitely tender to this tapping. They might use a cold test (a quick shot of cold air or a cotton pellet with a freezing agent) on the tooth. A dead tooth won't feel the cold at all, while a dying one might have a prolonged, painful response.
But the real star of the show is the dental X-ray, specifically a periapical radiograph. This small, targeted X-ray shows the entire tooth from crown to root tip and the surrounding bone. A healthy tooth root is surrounded by a thin, uniform black line (the periodontal ligament space). With a periapical abscess, the dentist looks for a dark area (radiolucency) right at the tip of the root. This represents the bone loss caused by the infection. Sometimes it's a small, pinpoint dark spot; other times it's a large, ragged area. This radiographic evidence, combined with the symptoms and clinical tests, confirms the diagnosis.
For more complex cases, or if the X-ray isn't clear, a dentist might use a cone-beam computed tomography (CBCT) scan. This 3D image shows the abscess's size and its relationship to critical structures like nerves and sinuses in stunning detail. It's like going from a paper map to Google Earth.
This rigorous diagnostic process is what gives the use of the periapical abscess icd 10 code its legitimacy. It's not a guess; it's a conclusion based on objective findings. For authoritative information on dental diagnostic methods, organizations like the American Dental Association (ADA) and the American Association of Endodontists (AAE) set the clinical guidelines that dentists follow.
Treatment Options: From Root Canal to Extraction
Okay, you've got the diagnosis and the official periapical abscess icd 10 code. Now what? The goal of treatment is simple: eliminate the infection, relieve the pain, and preserve the tooth if possible. The body cannot heal this on its own because the source of the infection is trapped inside the tooth and bone.
Here are the main treatment paths, from most to least desirable for saving the tooth:
- Root Canal Treatment (Endodontic Therapy): This is the gold standard for saving a tooth with a periapical abscess. The dentist or endodontist (root canal specialist) numbs the area, creates a small opening in the tooth, and removes the entire infected or dead pulp tissue from the pulp chamber and root canals. They then meticulously clean, shape, and disinfect the intricate canal system inside the root. Finally, they fill and seal the space with a biocompatible material. The procedure removes the infection source, allowing the bone around the root tip to heal over months. A crown is almost always needed afterwards to protect the now-brittle tooth. This treatment is directly justified by the diagnosis code K04.7.
- Incision and Drainage (I&D): If there is significant swelling and a collection of pus (a fluctuant abscess), the dentist may need to make a small cut in the gum to allow the pus to drain. This provides immediate pain relief and reduces the infection's burden. This is often done in conjunction with starting a root canal or before it, but I&D alone does not cure the problem. The infected tooth still needs definitive treatment (root canal or extraction).
- Tooth Extraction: Sometimes, the tooth isn't salvageable. Maybe it's too broken down, has a vertical crack extending into the root, or the patient's overall health or financial situation makes saving it impractical. Removing the tooth also removes the source of infection. It's a definitive solution, but it comes with the long-term consequences of losing a tooth, which can affect chewing, shifting of other teeth, and bone loss in the jaw. The extraction will still be coded with the same underlying diagnosis: periapical abscess icd 10 K04.7.
What about antibiotics? This is a major point of misunderstanding. Antibiotics (like amoxicillin or clindamycin) are adjunctive therapy. They help control the spread of a severe infection, especially if there's fever, swelling, or signs of systemic involvement. However, antibiotics alone cannot cure a periapical abscess. They can't penetrate the necrotic pulp inside the tooth or effectively reach the abscess in the bone to eliminate it. The definitive treatment is mechanical: removing the source via root canal or extraction. Overprescribing antibiotics for dental infections is a real problem contributing to bacterial resistance. The Centers for Disease Control and Prevention (CDC) provides guidelines on antibiotic stewardship that responsible dentists follow.
Treatment Takeaway: The diagnosis of a periapical abscess (code K04.7) leads directly to a mechanical solution. Drugs can help manage the symptoms and systemic spread, but only a procedure can fix the root cause (pun intended).
Navigating Insurance and Billing with the ICD-10 Code
This is where the rubber meets the road, and where most people's frustration peaks. That little periapical abscess icd 10 code is the gatekeeper to your insurance benefits.
Here’s how it works: Your dentist's office submits a claim to your insurance company. The claim includes:
- Procedure Code (CPT or CDT): e.g., D3330 for a molar root canal.
- Diagnosis Code (ICD-10): e.g., K04.7 for periapical abscess.
- Tooth Number: e.g., #30.
- Fees, patient info, etc.
The insurance company's computer system checks if the procedure (root canal) is a covered benefit under your plan. Then, it checks if the diagnosis justifies the procedure. This is called medical necessity. A root canal (D3330) is considered medically necessary when there is a diagnosis like a periapical abscess (K04.7) or irreversible pulpitis. If the diagnosis code is missing, incorrect, or doesn't justify the procedure, the claim will be denied.
Common problems I've witnessed:
- Using a generic code: Submitting K04.6 (Periapical periodontitis, a related but less acute condition) instead of K04.7 might lead to a lower reimbursement or a request for more information.
- Missing the tooth number: This is an instant red flag. 'Periapical abscess on what tooth?' Cue the delay.
- Plan exclusions: Some basic dental plans don't cover root canals at all, or only cover them on front teeth, not molars. No matter how perfect your periapical abscess icd 10 code is, if the procedure isn't covered, you're paying out-of-pocket. Always check your plan's Evidence of Coverage document.
If your claim is denied, don't panic. Ask your dentist's billing office for a copy of the denial notice (it will have a reason code). Often, it can be resolved with a phone call, a more detailed clinical note from your dentist, or a corrected claim. Be polite but persistent. You have the right to an appeal.
Frequently Asked Questions (FAQs) About Periapical Abscess and ICD-10
What is the difference between K04.6 and K04.7?
This is a subtle but important distinction for coding. K04.6 - Periapical periodontitis, unspecified (sometimes called chronic apical periodontitis) is an inflammation around the root tip, often with no acute symptoms. It might show up as a small, chronic dark area on an X-ray. There's no active pus formation or severe pain. K04.7 - Periapical abscess is an acute or chronic active infection with pus formation, causing symptoms like pain, swelling, and tenderness. If in doubt, clinicians typically code for the more specific, acute condition (K04.7) when symptoms are present.
Can a periapical abscess heal on its own?
No. The source of the infection is inside the tooth's root canal system, which is a closed space. The body's immune system cannot reach it to clear the bacteria. While symptoms (like pain) may temporarily subside if the abscess drains through a sinus tract, the infection remains and will inevitably flare up again. Definitive dental treatment is always required.
How long can I wait to treat a periapical abscess?
You shouldn't wait. This is an active infection that can spread. At best, waiting means prolonged pain and risk of a more severe, spreading infection (cellulitis, Ludwig's angina). At worst, it can lead to hospitalization. If you have symptoms, consider it urgent. Call your dentist immediately.
Why did my medical insurance deny my ER visit for a tooth abscess?
This is a huge pain point. Most medical insurance plans have specific exclusions for dental care, even if it's provided in a hospital ER. The ER can bill your medical insurance for the evaluation (ER visit code) and any medications or imaging they provide. However, the definitive treatment for the dental condition (extraction, root canal) is almost always considered a dental responsibility. The ER will likely give you antibiotics and pain meds and tell you to see a dentist ASAP. They might use the periapical abscess icd 10 code K04.7 on their medical claim, but your medical insurer may deny the claim based on the 'dental exclusion' clause in your policy. It's infuriating, but it's standard. Always file with your dental insurance for the actual dental procedure.
Are there any reliable sources for patient information on this?
Absolutely. For trustworthy, patient-friendly information, I always recommend starting with major professional and governmental organizations. The National Institute of Dental and Craniofacial Research (NIDCR), part of the U.S. National Institutes of Health, has excellent resources on tooth decay and pain. The ADA's MouthHealthy website is also a fantastic, easy-to-understand source for all things dental health, including abscesses and root canals. These sites don't have an agenda to sell you anything; they just provide facts.
Look, dealing with a tooth infection is stressful enough without having to decipher medical codes and fight with insurance. My hope is that this guide has demystified the whole process for you. You now know that a periapical abscess icd 10 code is more than just a billing number – it's a precise clinical description of a serious problem that needs prompt, professional care. You understand why the code K04.7 is used, what it means for your treatment options (primarily root canal vs. extraction), and how it functions as the critical link to getting your insurance to pay up.
The take-home message is this: if you suspect you have this issue, don't delay. See a dentist. Get the proper diagnosis (which will likely involve that K04.7 code). And go into the financial side with your eyes open, asking the right questions about coding and coverage. Your smile – and your peace of mind – are worth it.