Key Takeaways
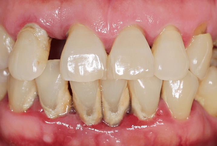
You know the feeling. You're brushing your teeth, and your tongue glides over a spot on the back of your lower front teeth that feels... rough. Almost like a tiny piece of hardened shell. No matter how hard you brush, it doesn't budge. That, my friend, is the infamous tartar plaque (or just tartar, as dentists usually call it). It's not just a cosmetic nuisance; it's a full-fledged threat to your gum line and the foundation of your teeth.
I remember the first time my hygienist pointed out my tartar buildup. I was mortified. I brushed twice a day! How did this happen? Turns out, I was missing the spots where saliva pools. It's a common story. Tartar plaque is the hardened, calcified version of the sticky, soft film we call dental plaque. Once it sets up shop, you can't just wish it away with a toothbrush.
This guide is the deep dive I wish I had back then. We're going to strip away the confusion, look at what tartar plaque really is, why it's public enemy number one for your gums, and most importantly, how to deal with it and stop it from coming back. Let's get into it.
Plaque vs. Tartar: What's the Real Difference?
People use these terms interchangeably, but they're different stages of the same problem. Getting this straight is the first step to beating it.
Dental Plaque: This is the soft, sticky, colorless or pale yellow film of bacteria that constantly forms on your teeth, gums, and even your tongue. It's a living biofilm. You start forming plaque about 20 minutes after you finish eating or drinking anything with sugars or starches. The bacteria in your mouth feast on these particles and produce acids. Those acids are what attack your tooth enamel, leading to cavities. Plaque is the root cause of almost all dental issues. The good news? It's soft. You can and should remove it daily by brushing and flossing thoroughly.
Tartar (Calculus): This is what happens when you don't remove plaque effectively. If plaque sits on your teeth for too long (generally 24 to 72 hours), it absorbs minerals from your saliva and hardens into a concrete-like substance. This is tartar plaque. The transformation from soft plaque to hard tartar is called calcification.
Once it's tartar, it's a game-changer. You cannot remove it by brushing or flossing at home. It bonds firmly to the tooth enamel. It creates a rough, porous surface that attracts even more plaque, accelerating the problem. It's like a bacterial fortress on your teeth.
Here’s a quick comparison to lock it in:
| Feature | Dental Plaque (The Starter) | Tartar Plaque (The Hardened Foe) |
|---|---|---|
| Texture & State | Soft, sticky, biofilm | Hard, crusty, calcified |
| Removability | Yes, with daily brushing and flossing | No. Requires professional dental cleaning |
| Color | Colorless/Pale yellow | Yellow, brown, or even gray; stains easily |
| Formation Time | Starts minutes after eating | Plaque hardens into tartar in 24-72 hours |
| Primary Threat | Causes cavities (tooth decay) | Causes gum disease (gingivitis, periodontitis) |
| Visibility | Often invisible to the eye | Visible as crusty deposits, especially if stained |
See the progression? Miss the plaque, get the tartar. It's that simple and that relentless.
Why is Tartar Plaque So Bad for You?
It's not just about looks. That hardened deposit is actively working against your oral health every single day.
First and foremost, tartar is the main physical irritant that causes gum disease. Its rough surface constantly scratches and inflames your delicate gum tissue. This inflammation is your body's immune response going into overdrive. The result? Red, swollen, tender gums that bleed easily when you brush or floss. This early stage is gingivitis, and it's completely reversible with a professional cleaning and improved home care.
But here's the scary part. If you leave that tartar plaque in place, the inflammation doesn't stop. It starts to destroy the fibers and bone that hold your teeth in place. Your gums pull away from the teeth, forming pockets. More bacteria and tartar move into these pockets, below the gum line, where you can't see or reach them. This advanced stage is periodontitis. It leads to bone loss, loose teeth, and eventually, tooth loss. The Mayo Clinic outlines the serious, progressive nature of periodontitis, and tartar is a prime driver.
Secondly, tartar is porous and stains incredibly easily. Coffee, tea, red wine, tobacco—they all latch onto tartar much faster than onto smooth enamel. So, if you're wondering why your teeth look discolored no matter what you do, subgingival tartar (below the gum line) or supragingival tartar (above the gum line) could be the culprits.
Finally, it just makes everything harder. Tartar creates a physical barrier that makes proper brushing and flossing ineffective. Plaque flourishes in the nooks and crannies of the tartar deposits, creating a vicious cycle of more plaque, more acid, more inflammation, and potentially more tartar formation.
How to Remove Tartar Plaque: What Actually Works?
This is the million-dollar question. Let's clear up a huge misconception right now.
Can you remove tartar at home? The short, definitive answer from every credible dental authority is NO. Once plaque has mineralized into tartar calculus, the bond to your tooth is too strong. The American Dental Association (ADA) is clear on this: professional removal is necessary. Their resources on cleaning your teeth and gums emphasize the role of professional care.
Those “tartar removal” kits or scalers sold online? I'm skeptical. I tried one years ago, and it was a disaster. I scratched my enamel and made my gums sore. You risk seriously damaging your teeth, gums, or even causing an infection by pushing bacteria under the gum line. It's just not worth the risk. Leave the scaling to the professionals.
So, what does work? A professional dental cleaning (prophylaxis). Here’s what happens:
- Ultrasonic Scaler: The hygienist uses a device that vibrates at a very high frequency and sprays a cooling mist of water. The tip gently chips away the large chunks of tartar plaque. That satisfying “tick tick” sound? That's tartar breaking up.
- Hand Scalers (Curettes): These are fine, hand-held metal instruments of various shapes. The hygienist uses them to meticulously scrape away smaller deposits and smooth the tooth surfaces, especially below the gum line. This step is crucial for getting the roots clean.
- Polishing: After all the tartar is gone, they polish your teeth with a slightly abrasive paste and a rotating rubber cup or brush. This removes any residual surface stains and leaves your enamel smooth, making it harder for new plaque to stick.
- Fluoride Treatment (often): A fluoride gel or varnish may be applied to help strengthen the enamel that was under attack.
For more advanced tartar buildup below the gum line (in cases of periodontitis), a deeper cleaning called scaling and root planing is needed. This is often done in sections with local anesthesia.
Here’s a breakdown of your options:
| Method | Best For | Performed By | Key Point |
|---|---|---|---|
| Daily Brushing/Flossing | Preventing plaque from turning into tartar | You | Your first and most important line of defense. |
| Professional Dental Cleaning | Removing existing supragingival & mild subgingival tartar | Dental Hygienist/Dentist | The only safe & effective way to remove hardened tartar plaque. |
| Scaling & Root Planing | Moderate to severe tartar below the gum line (periodontitis) | Dental Hygienist/Dentist | A therapeutic, non-surgical deep cleaning. |
How to Prevent Tartar Plaque Buildup: Your Daily Battle Plan
Since you can't remove tartar at home, prevention is absolutely everything. The goal is to disrupt the plaque biofilm before it gets a chance to harden. Here’s your actionable plan.
Master the Brushing Basics (You're Probably Doing It Wrong)
It's not about force; it's about technique and consistency.
- Use a SOFT-bristled brush. Medium or hard brushes can damage gums and enamel. I made this switch and my gum sensitivity improved dramatically.
- Angle matters. Tilt the brush at a 45-degree angle to your gums. This gets the bristles under the gum line where plaque loves to hide.
- Short, gentle strokes. Don't scrub side-to-side like you're sanding a floor. Use gentle, circular or vertical motions. Think “massage,” not “scrub.”
- Time it. Two minutes, twice a day. Most electric toothbrushes have timers. If you use a manual one, set a phone timer. It's longer than you think.
- Don't forget the hidden spots. The backs of your lower front teeth and the cheek-sides of your upper back molars are tartar plaque hotspots. Pay extra attention.
Floss. Every. Single. Day.
I know, I know. Everyone says it, and most of us skip it. But brushing only cleans about 60% of your tooth surfaces. The other 40% are between your teeth, where plaque builds up undisturbed and hardens into interproximal tartar.
Flossing isn't optional if you're serious about preventing tartar. Use traditional floss, floss picks, or a water flosser. The MouthHealthy site from the ADA has great visual guides on proper flossing technique. The key is to curve the floss around each tooth in a "C" shape and slide it up and down, going slightly under the gumline.
Choose Your Products Wisely
- Tartar Control Toothpaste: These contain pyrophosphates or zinc citrate, which can help prevent plaque from mineralizing. They don't remove existing tartar, but they can be a helpful preventive aid. Look for the ADA Seal of Acceptance.
- Antimicrobial Mouthwash: A therapeutic mouthwash with ingredients like cetylpyridinium chloride (CPC) or essential oils can help reduce the overall bacterial load in your mouth, making it harder for plaque to thrive. Use it as an adjunct, not a replacement for brushing and flossing.
Watch Your Diet and Habits
Sugary and starchy foods are fuel for plaque bacteria. You don't need to eliminate them, but be mindful. Sipping on soda or coffee with sugar all day is like giving bacteria a constant buffet.
Drink plenty of water. It helps rinse away food particles and acids. And if you smoke or use tobacco, stopping is one of the best things you can do for your gums and to reduce tartar formation.
Keep Your Professional Cleanings Regular
This is non-negotiable. Even with perfect home care, some tartar will form in hard-to-reach areas. Most people need a cleaning every six months. Some, with faster buildup or a history of gum disease, may need to go every three or four months. Your dentist will recommend a schedule based on your individual needs. Stick to it. It's the reset button that removes what you missed and lets you start fresh.
Common Questions About Tartar Plaque (Answered)
Let's hit some of the specific things people wonder but might not ask.
Can tartar plaque make your teeth fall out?
Indirectly, yes. Tartar itself doesn't directly cause teeth to fall out. But the severe, chronic gum disease (periodontitis) that tartar plaque causes does. It destroys the bone and connective tissue that anchor your teeth. When that support is gone, teeth become loose and can eventually fall out or need to be extracted. So, tartar is the primary catalyst for the process that leads to tooth loss from gum disease.
How often should I get a dental cleaning to control tartar?
The standard is every six months. But this isn't one-size-fits-all. If you have excellent home care and minimal buildup, once a year might be okay for you (your dentist will decide). If you are prone to heavy tartar plaque buildup, have dry mouth, or are managing gingivitis, you might need cleanings every 3-4 months. The interval is a clinical decision based on your personal rate of buildup and gum health.
Is tartar black?
It can be. Tartar is usually yellow or brown. However, it can stain to a dark brown or black color from substances like tobacco, certain foods, or even internal bleeding from inflamed gums. Black tartar is often a sign of long-standing, neglected buildup and should be addressed by a dentist immediately.
Does a water flosser prevent tartar?
It's an excellent tool for prevention. Water flossers are fantastic at blasting away loose plaque and food debris from between teeth and below the gum line, areas that are difficult to reach. By effectively removing the soft plaque, you prevent it from hardening into tartar. However, a water flosser cannot remove tartar that has already formed. Think of it as a high-powered plaque disruptor, not a tartar remover.
What happens if you leave tartar untreated?
The path is pretty predictable and grim: Gingivitis (reversible) -> Periodontitis (bone loss, irreversible damage) -> Advanced Periodontitis (severe bone loss, loose teeth) -> Tooth Loss. Along the way, you'll likely deal with persistent bad breath (halitosis), gum recession, tooth sensitivity, and increased risk for the systemic health issues linked to chronic inflammation.
It boils down to a simple partnership: your consistent, careful daily routine at home, and your commitment to regular professional cleanings. There's no magic pill or secret trick. It's the disciplined, boring stuff that works. Pay attention to those rough spots on your teeth. Listen to your hygienist. And remember, fighting tartar isn't just about a pretty smile—it's about keeping the foundation of your teeth strong and healthy for a lifetime.