Quick Guide
You're brushing your teeth, or maybe just running your tongue along the inside of your cheek out of habit, and there it is. A small, distinct bump. You probe it again. Yep, definitely there. About the size of a pea. Your mind starts racing immediately. What is this thing? Is it serious? Should I panic?
Let's just take a breath. I remember the first time I found a little lump in my own mouth—on the roof, near the back. I spent a good hour in front of the mirror, convinced it was the worst. Turns out, it was a completely harmless palatal torus (more on that later). The point is, discovering a pea sized lump in mouth is incredibly common and, more often than not, not a cause for major alarm. But knowing what you're dealing with is everything.
This guide is here to walk you through exactly that. We'll ditch the medical jargon and talk about what these lumps usually are, the red flags you absolutely shouldn't ignore, and what you should actually do about it. Consider this your go-to resource, written from one concerned person to another.
Bottom Line Up Front: Most oral lumps are benign (non-cancerous). But any new, persistent lump deserves a professional look. Don't rely on the internet for a diagnosis—use it to become an informed patient.
First, Don't Panic: The Most Common Culprits for a Mouth Bump
Before we jump to conclusions, let's cover the usual suspects. These account for the vast majority of those little surprises you find.
The Irritation Bunch (They Usually Go Away)
These are like your mouth's version of a blister or a pimple. They're reactions to local trauma.
- Canker Sores (Aphthous Ulcers): These guys are the worst. They often start as a small, round, raised bump that quickly opens into a painful ulcer with a white or yellow center and red border. They’re not contagious. Stress, minor injury (like from a sharp chip), or certain foods can trigger them. Annoying? Absolutely. Dangerous? No.
- Mucoceles: This is a classic one. It's a fluid-filled sac that forms when a tiny salivary gland duct gets blocked or injured (think: biting your cheek or lip). It often looks bluish, clear, or like a soft, movable bubble. They're squishy, not hard. They can hang around for weeks but often rupture and heal on their own.
- Irritation Fibroma: This is the body's overzealous healing response. If you chronically bite or rub an area (maybe from a rough tooth or dental appliance), your body might lay down extra collagen fibers, forming a firm, smooth, pink lump. It's basically a scar. It won't go away on its own, but it's harmless.
The "I Was Born With This (Sort Of)" Group
Some lumps are just anatomical variations that become more noticeable over time.
- Palatal Torus / Mandibular Torus: This was my personal mystery lump. A torus is a slow-growing, bony protrusion. A palatal torus is a hard, bony lump in the middle of the roof of the mouth. A mandibular torus is on the inside of the lower jaw, near the premolars. They feel like solid rock—because they are bone. They're genetic, harmless, and only need removal if they interfere with dentures.
- Lymphoid Aggregate: This sounds scarier than it is. The back of your throat and the floor of your mouth have lymphatic tissue (like your tonsils). Sometimes, a small cluster of this tissue can become prominent, feeling like a soft, bumpy patch. It's often normal, especially after an infection.
The Infectious Causes
Sometimes, the lump is a sign your body is fighting something off.
- Abscess: This is an infection. A dental abscess from a dead tooth can cause a tender, often painful, pus-filled bump on the gums near the root tip. It's a big sign you need a dentist, pronto.
- Papilloma: Caused by the HPV virus, these are small, cauliflower-like, white or pink growths. They are usually benign but should be evaluated and often removed.
Here's my personal take: The internet will have you convinced every bump is cancer. It's exhausting and unhelpful. Statistically, you're far more likely to be dealing with something from the lists above. But—and this is a big but—vigilance is key. Which brings us to the next part.
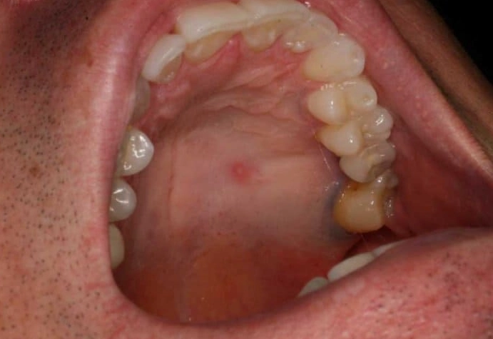
When That Pea Sized Lump in Mouth is a Red Flag
This is the section you need to read carefully. While most causes are benign, oral cancer is a real thing. Early detection is a game-changer. So, when should you be more concerned?
I think of it in terms of characteristics. Benign lumps tend to follow certain rules. Suspicious ones break them.
| Feature | Typical Benign Lump | Potential Red Flag |
|---|---|---|
| Growth Pattern | Grows slowly or stays the same size. | Grows steadily or rapidly over weeks. |
| Surface & Border | Smooth, regular border. May be ulcerated (like a canker sore) but heals. | Rough, crusted, or scaly surface. Irregular, ragged, or rolled borders. |
| Color | Pink, flesh-colored, white (ulcer), or bluish (mucocele). | Red (erythroplakia), white (leukoplakia), or mixed red/white patches that cannot be wiped off. |
| Consistency | Soft, fluid-filled, or rubbery. Bony if a torus. | Hard, fixed, and feels attached to deeper tissues. You can't move it with your finger. |
| Pain | Often painful (canker sore, abscess). | Often painless in early stages. Pain comes later. |
| Associated Symptoms | Localized to the bump itself. | Numbness, loose teeth for no reason, a sore that won't heal, persistent hoarseness, difficulty swallowing, or a lump in the neck (swollen lymph node). |
See the difference? The painless, hard, growing lump is the one that needs urgent attention. If your pea sized lump on roof of mouth or cheek is also accompanied by a neck lump, that's your body's immune system reacting to something, and you need to see a doctor without delay.
Major risk factors for oral cancer include tobacco use (smoking and chewing), heavy alcohol consumption, and HPV infection. But it's crucial to know that it can occur in people without these risk factors too.
Your Action Plan: What to Do When You Find the Lump
Okay, you've found it. You've done the initial panic. Now, let's be systematic.
Step 1: The Self-Check (Be a Detective, Not a Doctor)
Grab a small flashlight and look in the mirror. Use a clean finger to gently feel it.
- Location: Is it on the cheek, gum, roof of mouth, under the tongue, or on the lip?
- Feel: Soft, squishy, rubbery, or hard as a rock?
- Movement: Can you nudge it around, or is it stuck fast?
- Pain: Does it hurt when you touch it?
- History: Did you bite yourself there recently? Burn the roof of your mouth on pizza? Has it been there for days, weeks, or months?
Jot down some notes. This will be incredibly helpful for the professional you see.
Step 2: Decide Who to See (Dentist vs. Doctor)
This is a common point of confusion. Here's my rule of thumb:
- See a Dentist First: In most cases, this is your best first stop. Dentists are experts in oral anatomy. They perform oral cancer screenings as part of routine checkups. They can identify mucoceles, fibromas, tori, and abscesses instantly. They can also take an X-ray to check for dental origins. The American Dental Association (ADA) emphasizes the critical role dentists play in early detection of oral abnormalities.
- See a Doctor (Primary Care or ENT/Specialist): If you don't have a dentist, if the lump is clearly not dental (e.g., on the tonsil, back of throat), or if your dentist is concerned and refers you out. An Ear, Nose, and Throat (ENT) doctor is the specialist for this area.
“I always tell patients, ‘When in doubt, get it checked out.’ A two-minute exam can provide immense peace of mind or catch something early when it’s most treatable.” – Common sentiment among dental professionals.
Step 3: The Professional Visit – What to Expect
Walking in can be nerve-wracking. Knowing what will happen helps.
- Medical/Dental History: They'll ask about your habits (smoking, alcohol), overall health, and how long the lump has been there.
- Visual and Tactile Exam: They will look and feel the lump, and likely feel your neck and jaw for lymph nodes.
- Possible Next Steps:
- Watchful Waiting: If it looks like a classic canker sore or mucocele, they may suggest waiting 10-14 days to see if it resolves.
- Biopsy: This is the only way to definitively rule out cancer. It's a minor procedure where a small piece of tissue is removed and sent to a lab. It sounds scarier than it is. Types include brush biopsy (less invasive) or excisional/incisional biopsy. The National Cancer Institute provides reliable information on biopsy procedures and diagnosis.
- Imaging: An X-ray (like a panoramic X-ray) or CT scan may be used to see if a bony lump (torus) is involved or to look at deeper structures.
Treatment Options: From "Leave It" to "Remove It"
Treatment is 100% dependent on the diagnosis.
- No Treatment (Observation): For tori, small fibromas that aren't irritated, or lymphoid aggregates. If it's not causing problems, sometimes the best medicine is to leave it alone and just know what it is.
- Medication: Topical corticosteroids for canker sores. Antibiotics for a bacterial abscess (along with dental treatment).
- Minor Surgical Removal: This is common for mucoceles, fibromas, and papillomas. It's usually a quick, in-office procedure with local anesthesia. The lump is cut out and may be sent for biopsy to confirm it's benign.
- Dental Treatment: Root canal or extraction to treat a dental abscess at its source.
- Specialist Cancer Care: If a biopsy confirms cancer, treatment is coordinated by a team of specialists (surgeons, oncologists) and may involve surgery, radiation, and/or chemotherapy. Survival rates are significantly higher when caught early, which is why screening is so vital.
Your Questions, Answered (The FAQ We All Need)
Let's tackle some of the specific, anxious questions that pop up.
It can be, simply because it's a hallmark of early-stage oral cancer. A painful lump is often inflammatory (like an abscess or ulcer). The lack of pain can lead people to ignore it. So, counterintuitively, a painless pea sized lump in mouth needs more prompt evaluation than a painful one.
If it's a single, hard, bony-feeling lump right in the midline, it is overwhelmingly likely to be a palatal torus, which is benign bone growth. Cancer on the hard palate is relatively rare and usually has other features (ulceration, redness, growth). Still, a dentist needs to confirm it.
My personal guideline: If the lump is still there after two weeks with no sign of healing or change, make an appointment. If it has any red flag features (hard, fixed, growing, or you have a neck lump), don't wait. Call now.
Indirectly, yes. Stress is a huge trigger for canker sores (aphthous ulcers). It can also lead to teeth grinding or clenching (bruxism), which might cause you to bite your cheek, leading to a fibroma or traumatic ulcer.
Gum lumps are more often tied to dental issues—abscesses, gingival hyperplasia (overgrowth from certain medications), or even just a piece of food stuck deep. Cheek lumps are more commonly from biting (fibroma, mucocele) or salivary gland issues. The location gives the clinician a big clue.
A Final, Personal Thought: The human body is weird. It grows all sorts of lumps and bumps. The goal isn't to live in fear of every single one. The goal is to be a good steward of your own health. Pay attention. Learn the normal landscape of your own mouth (something called "oral self-examination"). And build a relationship with a dentist you trust. That way, when you do feel that small, pea-sized lump inside your mouth, you can move from panic to a plan. You've got this.
Remember, this information is for educational purposes and is not a substitute for professional medical advice. If you are concerned about any pea sized lump in your mouth or any other oral change, please schedule an appointment with your dentist or physician for a proper evaluation.