Let's cut to the chase. Wisdom teeth complications aren't just about a few days of soreness. They can range from a nagging ache that ruins your week to serious infections that land you in the ER. I've seen patients who ignored a "little discomfort" end up with abscesses that required emergency surgery. The goal here isn't to scare you, but to give you the clear, actionable information most dental websites gloss over. By the end of this, you'll know exactly what to watch for, how to handle pain effectively, and what a realistic recovery looks like.
What’s Inside: Your Quick Guide
What Are the Most Common Wisdom Teeth Complications?
Most people think complications only happen after extraction. That's a mistake. Problems often start while the teeth are still in your jaw, trying to erupt. The American Association of Oral and Maxillofacial Surgeons (AAOMS) notes that impacted wisdom teeth are a primary source of dental issues in young adults.
The big ones fall into a few categories.
Pre-Extraction Problems
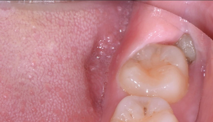
This is when the tooth itself causes trouble. Impaction is the headline act. A tooth gets stuck because there's no room. It can tilt forward, lie on its side, or even try to grow in upside down. This isn't a passive problem. An impacted tooth pushes against its neighbor, the molar in front of it. Over months or years, this pressure can resorb the roots of that healthy molar or create a cavity in a spot you can't clean.
Pericoronitis is the infection everyone should know about. It's when the gum flap over a partially erupted tooth gets inflamed and infected. Food and bacteria get trapped. It starts as soreness, then swelling, then a throbbing pain that can radiate to your ear and jaw. I've had patients come in thinking they have an ear infection. Left alone, this can turn into a facial space infection, a serious medical condition.
Crowding is the silent, slow-motion complication. Your wisdom teeth exert backward pressure on your entire dental arch. Many orthodontists will tell you this can undo years of braces, causing subtle but noticeable re-crowding of your front teeth.
Post-Extraction Complications
After surgery, the body's healing process can hit snags. Dry socket is the classic post-op headache. It happens when the blood clot that forms in the socket dissolves or gets dislodged too early, exposing bone and nerve. The pain is sharp, localized, and often starts a few days after surgery. It smells bad, too. Contrary to popular belief, it's not always caused by sucking on a straw. Sometimes it just happens, especially in lower teeth or with smokers.
Infection is a risk with any surgery. Signs include increasing pain after day 3, swelling that gets worse, pus, and fever. Nerve injury is a rarer but significant concern, particularly with lower wisdom teeth close to the inferior alveolar nerve. This can cause temporary or, very rarely, permanent numbness in the lip, chin, or tongue.
Key Takeaway: Complications aren't a binary "have it or don't." They exist on a spectrum. A little swelling is normal. Swelling that makes it hard to open your mouth after day 4 is not. Knowing the difference is crucial.
How to Identify an Impacted Wisdom Tooth
You can't always feel an impacted tooth. That's the tricky part. Sometimes the only sign is on an X-ray during a routine checkup. But often, your body sends signals.
Here’s a breakdown of what to look and feel for:
| Symptom | What It Feels Like | Common Risk Factor |
|---|---|---|
| Persistent Dull Ache | A background throbbing or pressure at the very back of your jaw. Often worse at night or when lying down. | Teeth with limited space to erupt. |
| Pain When Chewing | Sharp pain when you bite down, especially if food touches the area. You might start chewing only on one side. | Partially erupted tooth or decay in the adjacent molar. |
| Swollen, Tender Gums | The gums at the very back are red, puffy, and bleed easily when brushing. You might see a flap of gum over a tooth. | Poor hygiene in the hard-to-reach area. |
| Jaw Stiffness | Difficulty opening your mouth wide. It feels tight, like the muscles are sore. | Inflammation from pericoronitis or deep impaction. |
| Bad Taste or Breath | A persistent metallic or foul taste you can't rinse away. Bad breath that doesn't improve with brushing. | Trapped food and bacteria under the gum flap, leading to infection. |
If you're ticking more than one of these boxes, it's not just "normal" wisdom tooth growth. It's your mouth telling you something's wrong. The next step isn't just popping ibuprofen. You need a panoramic X-ray to see what's happening under the surface.
One subtle sign most people miss? Recurring headaches or earaches with no clear ENT cause. The trigeminal nerve, which services your jaw, is a complex network. Inflammation from a troubled wisdom tooth can refer pain up and out.
How to Manage Wisdom Teeth Pain at Home
Before you see a dentist, or while waiting for surgery, pain management is key. But a lot of the advice out there is generic and ineffective for deep jaw pain.
First, let's talk about what not to do. Don't place aspirin directly on your gums. It's an acid and can cause a chemical burn. Don't rely solely on topical numbing gels like Orajel for more than a day or two. They mask the pain but do nothing for the underlying inflammation, letting the problem get worse.
Here's a layered approach that actually works:
Medication Strategy: Don't just take pills randomly. Use a schedule. Take ibuprofen (Advil) or naproxen (Aleve) on a consistent schedule for the first 48 hours of significant pain—say, every 6-8 hours as directed on the label. These are anti-inflammatories (NSAIDs) and they reduce the swelling causing the pain. Acetaminophen (Tylenol) can be alternated with an NSAID for breakthrough pain, as they work differently. Always check with a pharmacist for interactions.
Salt Water is Your Best Friend: I know it sounds basic, but warm salt water rinses are criminally underrated. Use about half a teaspoon of table salt in a cup of warm water. Swish gently after every meal and before bed. It's not just about cleaning; the osmotic pull of the salt water draws fluid out of the swollen tissues, reducing pressure and pain. It's more effective than most fancy mouthwashes for this specific issue.
The Cold-Then-Warm Compress Method: For the first 48 hours of acute pain or swelling, apply a cold pack to the outside of your cheek for 15 minutes on, 15 minutes off. This constricts blood vessels and reduces inflammation. After 48 hours, if there's still stiffness but the sharp pain is gone, switch to a warm, moist compress. This increases blood flow and helps relax tight jaw muscles.
When Home Care Isn't Enough: If you have difficulty swallowing or breathing, swelling that spreads to your neck or eye, or a fever over 101°F, stop the home remedies and seek emergency care. These are signs of a spreading infection.
A Realistic Wisdom Teeth Recovery Timeline
Forget the "back to work in two days" myth. Recovery is a process, not an event. Here’s what you can actually expect, day by day.
Day 0-1 (Surgery Day & The Next): You'll be numb for a few hours. Bleeding is normal—use the gauze with firm pressure. The key is rest. Ice your face aggressively. Stick to liquids and very soft foods (broth, yogurt, smoothies—no straws). Pain peaks around hour 6-8 as the anesthesia wears off. Take your prescribed pain meds or NSAIDs before the pain becomes severe.
Day 2-3: Swelling peaks. You might look like a chipmunk. Bruising can appear. This is normal. Continue icing. Start gentle salt water rinses 24 hours after surgery. Your diet can move to mashed potatoes, applesauce, scrambled eggs. The pain should be manageable with medication.
Day 4-7: Swelling and bruising start to fade. Stiffness might be your main complaint. You can transition to slightly more solid foods (pasta, soft fish), but avoid anything crunchy or chewy. This is the dry socket danger zone. If you get a sudden, severe, radiating pain around day 3-5, call your surgeon.
Week 2: Most surface healing is done. Stitches may dissolve or fall out. You can often resume normal eating, but be cautious with the surgical sites. You might feel small, sharp bone fragments work their way out—this is normal. You can usually resume light exercise.
Month 1 and Beyond: The sockets will gradually fill in with gum tissue over the next few months. Deep bone healing takes up to 6 months. The area might feel different or slightly tender for a while.
The biggest mistake I see? People try to do too much too soon. Your body is healing a wound in a bacteria-rich environment. Respect the timeline.
Your Top Wisdom Teeth Questions Answered
My wisdom teeth don't hurt. Why would I remove them?Wisdom teeth complications are a mix of predictable biology and individual variability. The worst thing you can do is ignore subtle signs hoping they'll go away. Arm yourself with this information, have a frank conversation with your dentist or oral surgeon, and you'll navigate the process with a lot less anxiety and a much smoother outcome.