That sudden zing when you sip ice water. The dull ache after a bite of candy. Is it just sensitive teeth, or is a cavity setting up shop? Most people lump tooth sensitivity and cavities together, assuming one always leads to the other. But here’s the thing I’ve learned after years of talking to patients and dentists: confusing them can lead you down the wrong path for care, wasting time and money on solutions that don’t address the root cause. Let’s cut through the confusion.
Sensitivity is often a symptom, a warning signal. A cavity is a physical hole, a disease process. You can have sensitivity without a cavity, and you can have a cavity (especially early on) with zero sensitivity. Understanding this distinction is your first, most powerful step towards taking control of your oral health.
What You'll Find Inside
Quick Reality Check: If your pain is severe, constant, throbbing, or wakes you up at night, stop reading and call a dentist. That’s likely an infection (abscess) needing immediate care. This guide is for the more common, nagging sensitivity and early decay issues.
How to Tell Tooth Sensitivity from a Cavity: A Symptom Cheat Sheet
Think of your tooth like a house. Sensitivity is like a draft coming under the door—it’s reactive to outside conditions (cold air, hot coffee). A cavity is like termites eating the wooden frame—it’s active damage happening inside, often silently.
The pain profiles are your biggest clue. Here’s a breakdown that goes beyond the basic “sharp vs. dull” description you see everywhere.
| Characteristic | Tooth Sensitivity (Dentin Hypersensitivity) | Cavity (Dental Caries) |
|---|---|---|
| Primary Pain Trigger | External stimuli: Cold, hot, sweet, sour, cold air, or even brushing. The pain starts and stops with the trigger. | Internal damage: Can be triggered by stimuli, but pain may also start spontaneously or linger after the trigger is gone. |
| Type of Sensation | Sharp, fleeting, electric shock-like. It’s a “zing!” that makes you jump. | Dull, persistent ache. More of a “throb” or “background soreness.” As it worsens, it can become sharp and constant. |
| Location & Specificity | Often generalized. You might feel it across several teeth, especially near the gumline. | Highly localized. You can usually point to one specific tooth or even a specific spot on a tooth with your finger. |
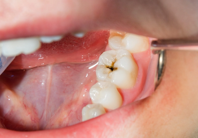
| Visual Clues | You might see gum recession, worn enamel (teeth looking smaller or yellow), or V-shaped notches at the gumline. | Look for white chalky spots (early stage), brown/black staining, or visible pits/holes. Often found between teeth or in grooves. |
| The "Sugar Test" | Sugar might cause a brief, sharp pain as it touches the exposed dentin. | Sugar typically causes a more pronounced, lingering ache as it feeds bacteria inside the cavity. |
One subtle mistake I see? People assume a cavity always hurts. In its earliest stage (demineralization), it’s just a weak, white spot on the enamel. No pain at all. By the time you feel consistent sensitivity from a cavity, the hole is already well-established. That’s why waiting for pain is a terrible strategy.
What Causes Tooth Sensitivity and Cavities?
The root causes overlap in some areas but diverge significantly. Understanding this helps you target prevention.
The Mechanics of Tooth Sensitivity
Sensitivity happens when the protective layers over your tooth’s inner nerve (the pulp) get compromised. Under the hard enamel is a softer layer called dentin, which is full of microscopic tubules leading straight to the nerve. When enamel wears down or gums recede, these tubules get exposed. Triggers like cold travel down them like a highway, hitting the nerve.
Common culprits:
- Over-brushing or hard-bristle brushes: This is a huge one. You think you’re cleaning thoroughly, but you’re literally scrubbing your enamel and gums away. I did this myself in my 20s.
- Acidic foods/drinks (soda, citrus, wine) that etch enamel.
- Gum disease causing recession.
- Teeth grinding (bruxism), which flattens and cracks teeth.
- Recent dental work (usually temporary).
The Cavity Creation Process
Cavities are a bacterial infection. It’s a simple, slow-motion equation: Bacteria + Sugar = Acid. Acid + Time = Cavity.
Plaque, that sticky film on your teeth, is a bacterial city. When you eat sugar or carbs, the bacteria throw a party and produce acid as waste. This acid dissolves the mineral crystals in your enamel. A quick swish of water or a brush can neutralize it early. But if the acid bath is frequent and long (sipping soda all day, constant snacking), the enamel loses the battle. A hole forms, and bacteria march inward to the dentin, which dissolves even faster.
The location tells a story: cavities between teeth often come from flossing neglect. Cavities in grooves come from brushing that misses deep pits. Root cavities (near the gumline) happen when recession exposes softer root surface to plaque.
How to Treat Both Conditions Effectively
Treatment isn’t one-size-fits-all. It depends entirely on the diagnosis, which is why self-diagnosis is risky. Here’s what a professional approach looks like.
Professional Treatments for Sensitivity
If your dentist rules out cavities and diagnoses dentin hypersensitivity, they have tools to desensitize those tubules.
- In-office fluoride varnish or gel: A high-concentration fluoride treatment that seals tubules. It’s painted on and sets quickly.
- Desensitizing agents like GLUMA or sealants: These products physically plug the dentin tubules. The effect can last months.
- For severe cases: A gum graft to cover exposed roots, or a small filling (bonding) to cover a sensitive notch.
Professional Treatments for Cavities
Once a cavity forms past the earliest demineralization stage, it needs mechanical removal.
- Fillings: The standard. The decay is drilled out, and the space is filled with composite resin (tooth-colored), amalgam (silver), or other materials.
- Crowns: If the cavity is large and has weakened the tooth structure, a crown (cap) is placed over the entire tooth.
- Root Canal: If decay reaches the nerve (pulp), the infected tissue is removed, and the inside of the tooth is cleaned and sealed. This is followed by a crown.
- The non-drilling option (for early decay only): If caught as a white spot, your dentist might apply a high-dose fluoride varnish or a product like silver diamine fluoride (SDF) to arrest the decay. This is a game-changer for early intervention.
The American Dental Association’s MouthHealthy website is a solid resource for understanding these procedures in more detail.
Building a Daily Routine That Protects You from Both
Prevention is where you have the most power. A good routine fights cavities AND prevents the enamel wear/gum recession that causes sensitivity.
1. The Right Brushing Technique (This is critical)
Use a soft-bristled brush. Angle it 45 degrees toward the gumline. Use gentle, circular motions, not harsh back-and-forth scrubbing. Think of it as massaging, not scouring. Brush for two minutes, twice a day. An electric toothbrush with a pressure sensor is a fantastic investment.
2. Floss. Every. Day.
This isn’t optional if you want to prevent interproximal cavities (the sneaky ones between teeth). It also cleans plaque from the sensitive root areas where gums meet teeth.
3. Choose Your Weapons Wisely
Toothpaste: Use a fluoride toothpaste. For sensitivity, look for potassium nitrate or stannous fluoride (e.g., Sensodyne, Colgate Sensitive). They work by calming the nerve or blocking tubules. For cavity prevention, fluoride is the key ingredient that remineralizes weak spots.
4. Rethink Your Eating & Drinking Habits
Limit sugary/acidic drinks to mealtimes. Use a straw to bypass teeth. Don’t sip on them for hours. After acidic foods/drinks, rinse with water and wait 30 minutes before brushing to avoid brushing softened enamel.
5. The Non-Negotiables: Water and Check-ups
Drink plenty of water, especially fluoridated water. It washes away food particles and neutralizes acid. See your dentist for cleanings and check-ups every six months, or as recommended. They spot problems you can’t see.
Your Top Questions, Answered
The bottom line is this: tooth sensitivity is your mouth’s check engine light. It could be a minor issue (low tire pressure) or a sign of a serious problem (engine failure). A cavity is confirmed engine damage. Don’t just ignore the light or try to cover it up with a temporary fix. Get a professional diagnosis. It saves you from worse pain, more complex procedures, and higher bills down the road. Start with the gentle brushing and flossing today, and make that dental appointment you’ve been putting off.