Quick Navigation
- What Actually Happens During a Cleaning (And Why It Hurts)
- Your Pre-Appointment Game Plan: Don't Just Show Up
- The Big Day: Your Chairside Checklist
- Post-Cleaning Care: Locking in the Comfort
- Your Sensitive Teeth Cleaning FAQ
- Breaking Down Desensitizing Ingredients: What Actually Works?
- When Sensitivity Signals Something More Serious
- Finding the Right Dental Team for You
Let's be real, the thought of that metal hook scraping against a sensitive spot is enough to make anyone want to cancel their appointment. You know you need a dental cleaning, but the potential for that sharp, zinging pain makes you put it off, year after year. I get it. I've been there myself, gripping the chair arms and wishing for it to be over.
But here's the thing I learned the hard way: skipping cleanings because of sensitive teeth is like refusing to change the oil in your car because you're afraid of getting your hands dirty. The long-term damage (hello, gum disease and cavities under tartar) is far worse than a few moments of discomfort. The good news? It doesn't have to be a painful ordeal anymore. A dental cleaning for sensitive teeth is not only possible, it's something any modern dental practice should be equipped to handle.
This isn't about just gritting your teeth and bearing it. It's about a completely different approach—from how you prepare at home to the conversation you have with your hygienist, and the specific tools they use. We're going to break down every single step.
What Actually Happens During a Cleaning (And Why It Hurts)
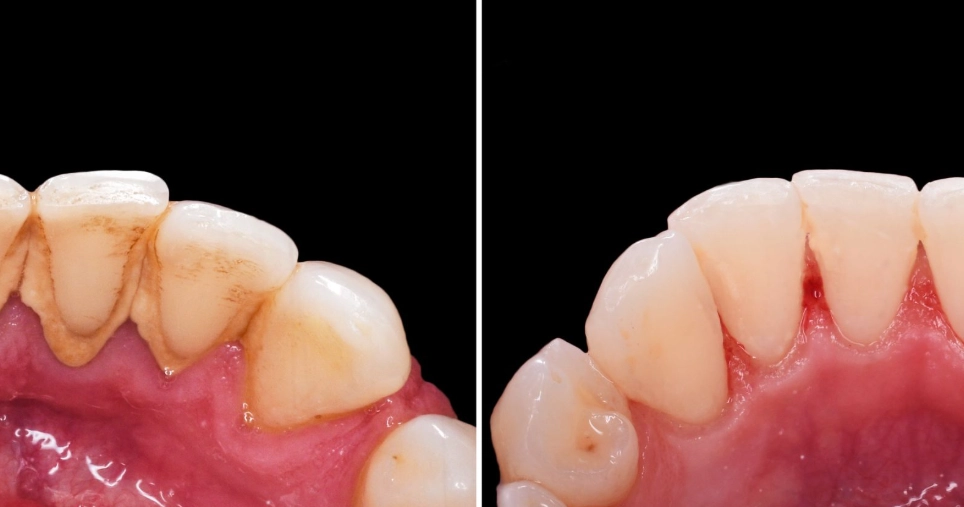
Before we fix the problem, let's understand it. Sensitivity during a cleaning usually comes from two main areas: your gums and your tooth roots. When plaque hardens into tartar (or calculus), it sits at and under your gumline. To remove it, the hygienist has to gently work under that gum tissue. If your gums are already inflamed (gingivitis), they're tender. If the tartar has gone deeper, exposing the root surface, that's even more sensitive because the root doesn't have a protective enamel layer like the crown of your tooth. The dentin underneath is full of tiny tubes leading straight to the nerve. Cold water, air, and even light touch can trigger pain.
Your Pre-Appointment Game Plan: Don't Just Show Up
Most people walk into the dental office hoping for the best. You need a strategy. The work for a pain-free cleaning with sensitive teeth starts days or even weeks before you sit in the chair.
Communication is Your Superpower
When you book the appointment, say it. "I have extremely sensitive teeth and I'm anxious about the cleaning. Can you note that on my chart?" This isn't a sign of weakness; it's giving the team a heads-up so they can schedule extra time or pair you with a hygienist known for a gentle touch. I once switched practices because my old one brushed off my concerns. The new one listened, and the difference was night and day.
The Desensitizing Toothpaste Protocol
This is non-negotiable. Using a good desensitizing toothpaste (with ingredients like potassium nitrate or stannous fluoride) isn't an overnight fix. You need to use it consistently for at least two weeks before your cleaning. Don't just brush and rinse. Apply a small dab to your most sensitive areas with your finger after brushing and leave it on. Let it sit. This helps block those tiny tubules in the dentin. Brands like Sensodyne or Colgate Sensitive are a great start, but ask your dentist if they have a professional-grade recommendation.
Pre-Medicate if Needed
Talk to your dentist about this one. For some people, taking an over-the-counter anti-inflammatory (like ibuprofen) 30-60 minutes before the appointment can take the edge off gum inflammation. Don't do this without checking with your doctor first, but it's a common and effective tactic for managing sensitivity and soreness.
The Big Day: Your Chairside Checklist
Okay, it's appointment day. You're prepared. Now, how do you navigate the actual dental cleaning for sensitive teeth?
The "Tell-Signal" System
Before the hygienist even picks up a tool, establish a hand signal. Raising your left hand is universal for "Stop, that hurts." Promise yourself you'll use it. A good hygienist wants you to signal. They'd rather stop and apply more numbing gel or adjust their technique than have you white-knuckling through pain. Pain is your body saying something's wrong—listening to it is key for a gentle teeth cleaning experience.
Topical Numbing Gels are a Gift
Many people don't even know this is an option. Ask for a topical anesthetic gel. They rub it on your gums, let it sit for a few minutes, and it numbs the surface tissue. It won't make you completely numb like an injection, but it drastically reduces the sensation of scaling along the gumline. If they don't offer it, ask. A simple, "Would it be possible to use some numbing gel? My front teeth are particularly sensitive," works wonders.
The Tool Talk: Ultrasonic vs. Hand Scalers
This is where technology shines. Many modern practices use ultrasonic scalers. These tools use high-frequency vibrations and a cooling water spray to blast tartar off. For a lot of sensitive patients, the vibration feels weird but is less sharp and precise than the poke of a hand scaler. The water spray can be cold, though—ask them to use room-temperature water! Some newer ultrasonic scalers even have dedicated sensitive teeth cleaning tips that are finer and gentler.
That said, a skilled hygienist with a sharp hand scaler can be incredibly precise and gentle, using feather-light strokes. It's more about the technician than the tool. Don't be afraid to ask, "Are you using an ultrasonic or hand tools today?" It shows you're informed.
Ask for Frequent Rinses and Suction
The cold water and accumulated debris can increase sensitivity. Politely ask if they can let you rinse and suction more often. A quick break to swish with some warm water can reset your nerves and make a huge difference in your comfort level.
Post-Cleaning Care: Locking in the Comfort
You survived! And hopefully, it was much better than expected. But your job isn't over. What you do in the 24-48 hours after a cleaning for sensitive teeth is crucial for minimizing soreness and keeping sensitivity at bay.
Expect Some Tenderness (It's Normal)
Even the gentlest cleaning might leave your gums feeling a bit tender, like they've had a good workout. This is normal inflammation. It should subside within a day or two. Stick to softer foods and avoid anything extremely hot or cold for the rest of the day.
Keep Up with the Desensitizing Paste
Don't stop! Your teeth might be a bit more sensitive right after the cleaning because the protective tartar layer (which was ironically blocking sensations) is gone, and your gums are healing. Continuing your desensitizing toothpaste routine is essential to build up long-term protection.
Consider a Fluoride Treatment
If you didn't get one at the appointment, ask about a professional fluoride varnish or gel for your next visit. Fluoride helps strengthen enamel and can reduce sensitivity. The American Dental Association provides extensive resources on the benefits of fluoride for strengthening teeth and preventing decay, which is a key part of managing sensitivity long-term. You can read about its mechanisms on the ADA's Oral Health Topic page for Fluoride.
Avoid Whitening Products
For at least a week after your cleaning, stay away from whitening toothpastes, strips, or rinses. These are major sensitivity triggers. Let your teeth settle down first.
Your Sensitive Teeth Cleaning FAQ


Breaking Down Desensitizing Ingredients: What Actually Works?
Not all sensitive toothpastes are created equal. It's helpful to know what you're looking at in the drugstore aisle. Here’s a quick, no-nonsense breakdown.
| Key Ingredient | How It's Supposed to Work | My Personal Take & Notes |
|---|---|---|
| Potassium Nitrate | Calms the nerve inside the tooth by dampening its signal. It's a nerve-soother. | This is the classic (think original Sensodyne). It works for many people, but it can take 2-4 weeks of consistent use to feel the full effect. It's more of a long-term manager. |
| Stannous Fluoride | Forms a protective layer over exposed dentin tubules and has anti-bacterial properties for gums. | This is my personal favorite. I feel it works faster to block sensations. It can also help with gum health, which is often linked to sensitivity. Can sometimes cause slight staining, but a good cleaning takes care of that. |
| Arginine + Calcium Carbonate | Claims to plug the open dentin tubules physically, like a sealant. | Some studies show it works very quickly. I've found it effective, but it seems to be in fewer brands. It's a different mechanism worth trying if the others don't help. |
| Fluoride (Sodium Fluoride) | Strengthens enamel to prevent wear and reduces sensitivity over time. | Essential for everyone, but usually needs to be combined with one of the above for acute sensitivity control. Don't skip fluoride! |
Look, you might need to try a couple to see which one your teeth respond to. I switched from potassium nitrate to a stannous fluoride paste and noticed less sensitivity to cold water within a week.
When Sensitivity Signals Something More Serious
It's important to remember that while tooth sensitivity is common, a dental cleaning for sensitive teeth is just maintenance. Sometimes, the pain is a red flag for something that needs more than just a gentle cleaning.
A sharp, persistent pain in one tooth could be a crack, a large cavity, or a failing filling. Sensitivity that comes with throbbing or pain when you bite down needs a dentist's diagnosis, not just a hygienist's scaling. Receding gums that expose roots might be a sign of aggressive brushing or, more seriously, periodontal disease. The Centers for Disease Control and Prevention (CDC) outlines the stages and risks of periodontal disease, which is a major cause of tooth loss and is often preceded by symptoms like sensitive, bleeding gums. Understanding this connection is vital; you can review their fact sheet on Periodontal Disease.
Finding the Right Dental Team for You
This is the most important step. A great dental team transforms the experience. Look for practices that advertise "gentle dentistry," "sedation dentistry," or "catering to anxious patients." Read reviews specifically mentioning "gentle hygienist" or "painless cleaning."
During a consultation, ask direct questions: "What is your protocol for patients with high sensitivity? Do you offer topical anesthetics as standard? What type of scalers do you prefer?" Their answers will tell you everything. A practice that sighs or gives vague answers isn't the one. A practice that lights up and starts explaining their desensitizing gels, warm water, and communication style is gold.
In my opinion, a good hygienist is worth their weight in gold. The one I see now chats with me, checks in constantly, and explains what she's doing. She uses an ultrasonic scaler with a sensitive tip and warm water. The difference is staggering. What used to be a biannual terror is now a slightly boring, but totally manageable, maintenance task.
The Bottom Line
You don't have to dread your dental cleaning. A pain free dental cleaning with sensitive teeth is an achievable goal. It requires you to be an active participant: prepare with desensitizing toothpaste, communicate your fears clearly, and know the tools and techniques that can help. It requires finding a dental team that listens. When you put those pieces together, you take back control. You stop avoiding care and start maintaining the health you deserve, comfortably. Now, go book that appointment—and this time, you've got a plan.
It's a game-changer. Really.